Suppr超能文献

刚地弓形虫细胞胞质分离由蛋白磷酸酶 2A 和子细胞支架复合物调控。

Cytokinetic abscission in Toxoplasma gondii is governed by protein phosphatase 2A and the daughter cell scaffold complex.

机构信息

Department of Microbiology and Molecular Medicine, University of Geneva, Geneva, Switzerland.

Institute of Cell Biology, University of Bern, Bern, Switzerland.

出版信息

EMBO J. 2024 Sep;43(17):3752-3786. doi: 10.1038/s44318-024-00171-9. Epub 2024 Jul 15.

Abstract

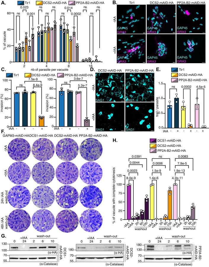
Cytokinetic abscission marks the final stage of cell division, during which the daughter cells physically separate through the generation of new barriers, such as the plasma membrane or cell wall. While the contractile ring plays a central role during cytokinesis in bacteria, fungi and animal cells, the process diverges in Apicomplexa. In Toxoplasma gondii, two daughter cells are formed within the mother cell by endodyogeny. The mechanism by which the progeny cells acquire their plasma membrane during the disassembly of the mother cell, allowing daughter cells to emerge, remains unknown. Here we identify and characterize five T. gondii proteins, including three protein phosphatase 2A subunits, which exhibit a distinct and dynamic localization pattern during parasite division. Individual downregulation of these proteins prevents the accumulation of plasma membrane at the division plane, preventing the completion of cellular abscission. Remarkably, the absence of cytokinetic abscission does not hinder the completion of subsequent division cycles. The resulting progeny are able to egress from the infected cells but fail to glide and invade, except in cases of conjoined twin parasites.

摘要

胞质分裂分离标志着细胞分裂的最后阶段,在此期间,子细胞通过产生新的屏障(如质膜或细胞壁)物理分离。虽然收缩环在细菌、真菌和动物细胞的胞质分裂中起着核心作用,但在顶复门生物中,这个过程是不同的。在刚地弓形虫中,两个子细胞通过内共生子母细胞形成。在母细胞解体过程中,子代细胞如何获得质膜,从而使子细胞能够出现,目前仍不清楚。在这里,我们鉴定并表征了五种刚地弓形虫蛋白,包括三种蛋白磷酸酶 2A 亚基,它们在寄生虫分裂过程中表现出独特而动态的定位模式。这些蛋白的单独下调会阻止质膜在分裂平面的积累,从而阻止细胞分离的完成。值得注意的是,胞质分裂分离的缺失并不妨碍随后分裂周期的完成。由此产生的后代能够从感染细胞中逸出,但不能滑行和入侵,除非是联体双胞胎寄生虫。

https://cdn.ncbi.nlm.nih.gov/pmc/blobs/edcb/11377541/0c4bd348a2c5/44318_2024_171_Fig1_HTML.jpg

文献AI研究员

20分钟写一篇综述,助力文献阅读效率提升50倍。

立即体验

用中文搜PubMed

大模型驱动的PubMed中文搜索引擎

马上搜索

文档翻译

学术文献翻译模型,支持多种主流文档格式。

立即体验