Suppr超能文献

鸡胚传代过程中 IBV S 基因的适应性截断在其衰减中起着关键作用。

Adaptive truncation of the S gene in IBV during chicken embryo passaging plays a crucial role in its attenuation.

机构信息

National Key Laboratory of Veterinary Public Health Security, College of Veterinary Medicine, China Agricultural University, Beijing, China.

Key Laboratory of Animal Epidemiology of the Ministry of Agriculture, College of Veterinary Medicine, China Agricultural University, Beijing, China.

出版信息

PLoS Pathog. 2024 Jul 30;20(7):e1012415. doi: 10.1371/journal.ppat.1012415. eCollection 2024 Jul.

Abstract

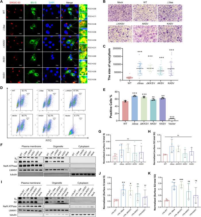
Like all coronaviruses, infectious bronchitis virus, the causative agent of infectious bronchitis in chickens, exhibits a high mutation rate. Adaptive mutations that arise during the production of live attenuated vaccines against IBV often decrease virulence. The specific impact of these mutations on viral pathogenicity, however, has not been fully elucidated. In this study, we identified a mutation at the 3' end of the S gene in an IBV strain that was serially passaged in chicken embryos, and showed that this mutation resulted in a 9-aa truncation of the cytoplasmic tail (CT) of the S protein. This phenomenon of CT truncation has previously been observed in the production of attenuated vaccines against other coronaviruses such as the porcine epidemic diarrhea virus. We next discovered that the 9-aa truncation in the S protein CT resulted in the loss of the endoplasmic-reticulum-retention signal (KKSV). Rescue experiments with recombinant viruses confirmed that the deletion of the KKSV motif impaired the localization of the S protein to the endoplasmic-reticulum-Golgi intermediate compartment (ERGIC) and increased its expression on the cell surface. This significantly reduced the incorporation of the S protein into viral particles, impaired early subgenomic RNA and protein synthesis, and ultimately reduced viral invasion efficiency in CEK cells. In vivo experiments in chickens confirmed the reduced pathogenicity of the mutant IBV strains. Additionally, we showed that the adaptive mutation altered the TRS-B of ORF3 and impacted the transcriptional regulation of this gene. Our findings underscore the significance of this adaptive mutation in the attenuation of IBV infection and provide a novel strategy for the development of live attenuated IBV vaccines.

摘要

与所有冠状病毒一样,传染性支气管炎病毒(IBV)是引起鸡传染性支气管炎的病原体,具有很高的突变率。在生产针对 IBV 的活减毒疫苗时产生的适应性突变通常会降低病毒的毒力。然而,这些突变对病毒致病性的具体影响尚未完全阐明。在本研究中,我们在鸡胚中连续传代的 IBV 株中鉴定出 S 基因 3'端的一个突变,该突变导致 S 蛋白胞质尾(CT)的 9 个氨基酸截断。这种 CT 截断现象以前在生产针对其他冠状病毒(如猪流行性腹泻病毒)的减毒疫苗时也观察到过。我们接下来发现,S 蛋白 CT 中的 9 个氨基酸截断导致内质网保留信号(KKSV)丢失。用重组病毒进行的挽救实验证实,KKSV 基序的缺失会损害 S 蛋白向内质网-高尔基体中间区(ERGIC)的定位,并增加其在细胞表面的表达。这显著降低了 S 蛋白在病毒颗粒中的掺入,损害了早期亚基因组 RNA 和蛋白质的合成,最终降低了 CEK 细胞中病毒的入侵效率。在鸡体内的实验证实了突变型 IBV 株的致病性降低。此外,我们还表明,适应性突变改变了 ORF3 的 TRS-B,并影响了该基因的转录调控。我们的研究结果强调了这种适应性突变在 IBV 感染减毒中的重要性,并为开发活减毒 IBV 疫苗提供了一种新策略。

https://cdn.ncbi.nlm.nih.gov/pmc/blobs/623e/11315334/b03489ffb6c4/ppat.1012415.g001.jpg

文献AI研究员

20分钟写一篇综述,助力文献阅读效率提升50倍。

立即体验

用中文搜PubMed

大模型驱动的PubMed中文搜索引擎

马上搜索

文档翻译

学术文献翻译模型,支持多种主流文档格式。

立即体验