Suppr超能文献

颅咽管瘤作为不明原因发热的一个病因

Craniopharyngioma as a Cause of Fever of Unknown Origin.

作者信息

Lagadinou Maria, Markantes Georgios, Amerali Marina, Mulita Francesk, Marangos Markos, Michalaki Marina

机构信息

Department of Internal medicine, University Hospital of Patras, Patras Greece.

Division of Endocrinology, University Hospital of Patras, Patras, Greece.

出版信息

Mater Sociomed. 2023;35(2):162-165. doi: 10.5455/msm.2023.35.162-165.

Abstract

BACKGROUND

Fever of unknown origin is quite common in everyday clinical practice, and the approach is challenging. Prolonged fever as the sole manifestation of craniopharyngioma has been rarely reported in literature.

OBJECTIVE

Herein, we report a case of adamantinomatous craniopharyngioma presented as fever of unknown origin in a 51-year-old woman, initially misdiagnosed as atypical subacute thyroiditis.

CASE PRESENTATION

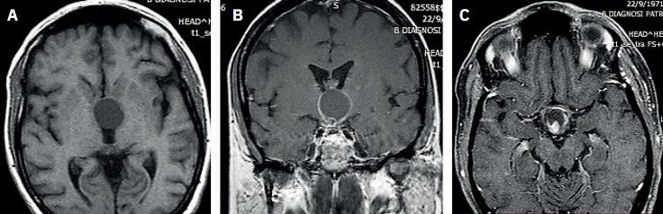
During the work up, the patient complained about bitemporal hemianopsia. Thus, she underwent a pituitary Magnetic Resonance Imaging, which revealed a mixed mass originating from the pituitary stalk and compressing the optic chiasm. The mass was surgically excised, and the histology confirmed the diagnosis of adamantinomatous craniopharyngioma. The patient remained afebrile post-surgery. We hypothesize that the craniopharyngioma caused an abnormality of thermoregulatory mechanisms due to infiltration of the hypothalamus.

摘要

背景

不明原因发热在日常临床实践中相当常见,且应对方法具有挑战性。文献中很少报道颅咽管瘤以长期发热为唯一表现。

目的

在此,我们报告一例51岁女性,以不明原因发热为表现的造釉细胞瘤型颅咽管瘤病例,最初被误诊为非典型亚急性甲状腺炎。

病例介绍

在检查过程中,患者主诉双侧颞侧偏盲。因此,她接受了垂体磁共振成像检查,结果显示有一个混合性肿块起源于垂体柄并压迫视交叉。该肿块通过手术切除,组织学检查确诊为造釉细胞瘤型颅咽管瘤。患者术后不再发热。我们推测颅咽管瘤由于下丘脑浸润导致体温调节机制异常。

https://cdn.ncbi.nlm.nih.gov/pmc/blobs/2c92/10495134/6041a6632da7/MSM-35-162-g001.jpg

文献AI研究员

20分钟写一篇综述,助力文献阅读效率提升50倍。

立即体验

用中文搜PubMed

大模型驱动的PubMed中文搜索引擎

马上搜索

文档翻译

学术文献翻译模型,支持多种主流文档格式。

立即体验