Suppr超能文献

MondoA 依赖性 TXNIP/GDF15 轴预测结直肠腺癌对奥沙利铂的反应。

The MondoA-dependent TXNIP/GDF15 axis predicts oxaliplatin response in colorectal adenocarcinomas.

机构信息

Richard Dimbleby Laboratory of Cancer Research, School of Cancer & Pharmaceutical Sciences, King's College London, London, UK.

Clinical Research Centre (CRC), Medical Pathology Centre (MPC), Cancer Early Detection and Treatment Centre (CEDTC), Translational Medicine Research Centre (TMRC), Chongqing University Three Gorges Hospital, Chongqing University, Wanzhou, Chongqing, China.

出版信息

EMBO Mol Med. 2024 Sep;16(9):2080-2108. doi: 10.1038/s44321-024-00105-2. Epub 2024 Aug 5.

Abstract

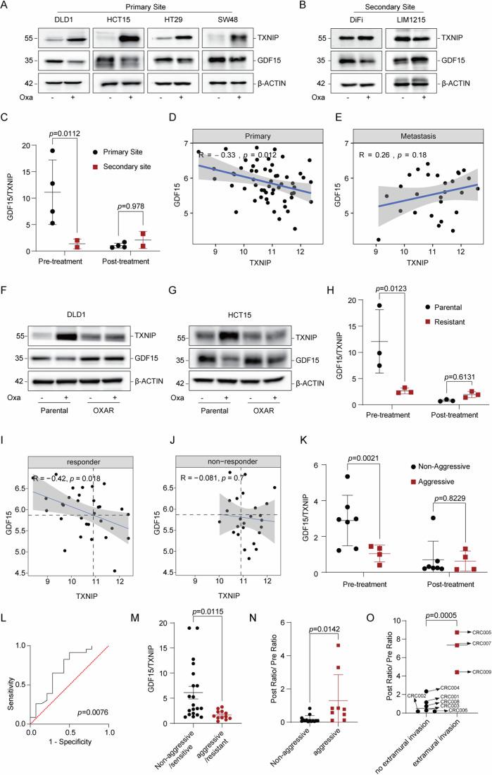
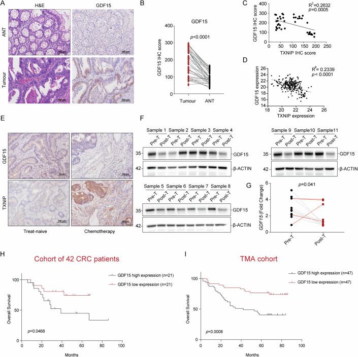
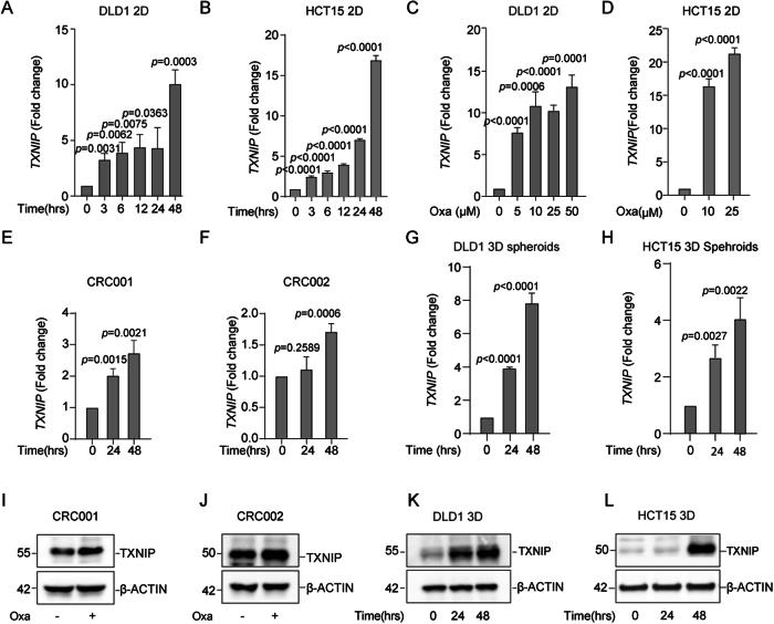
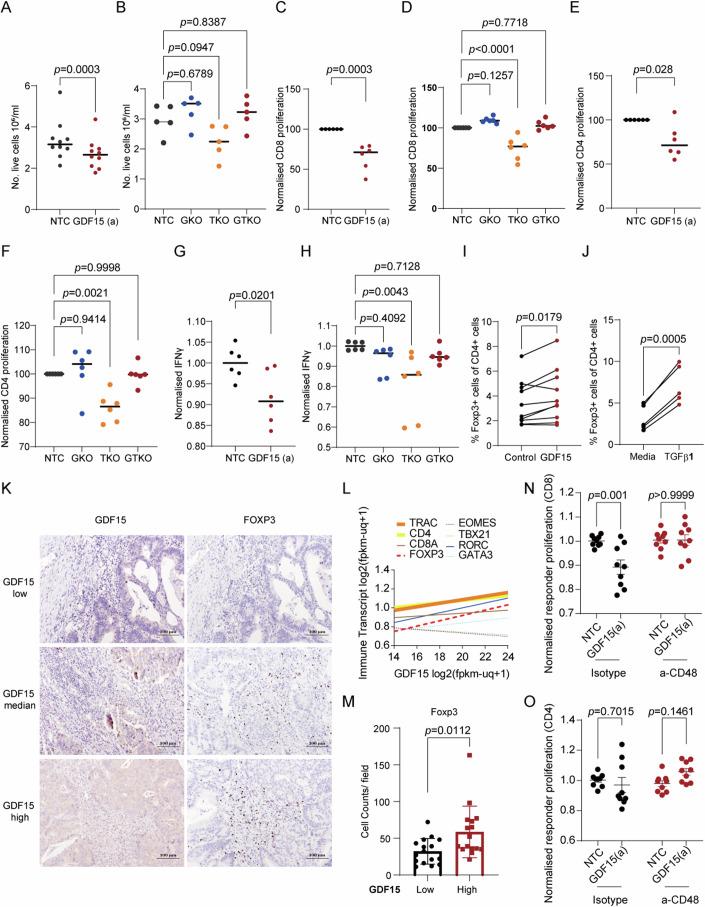
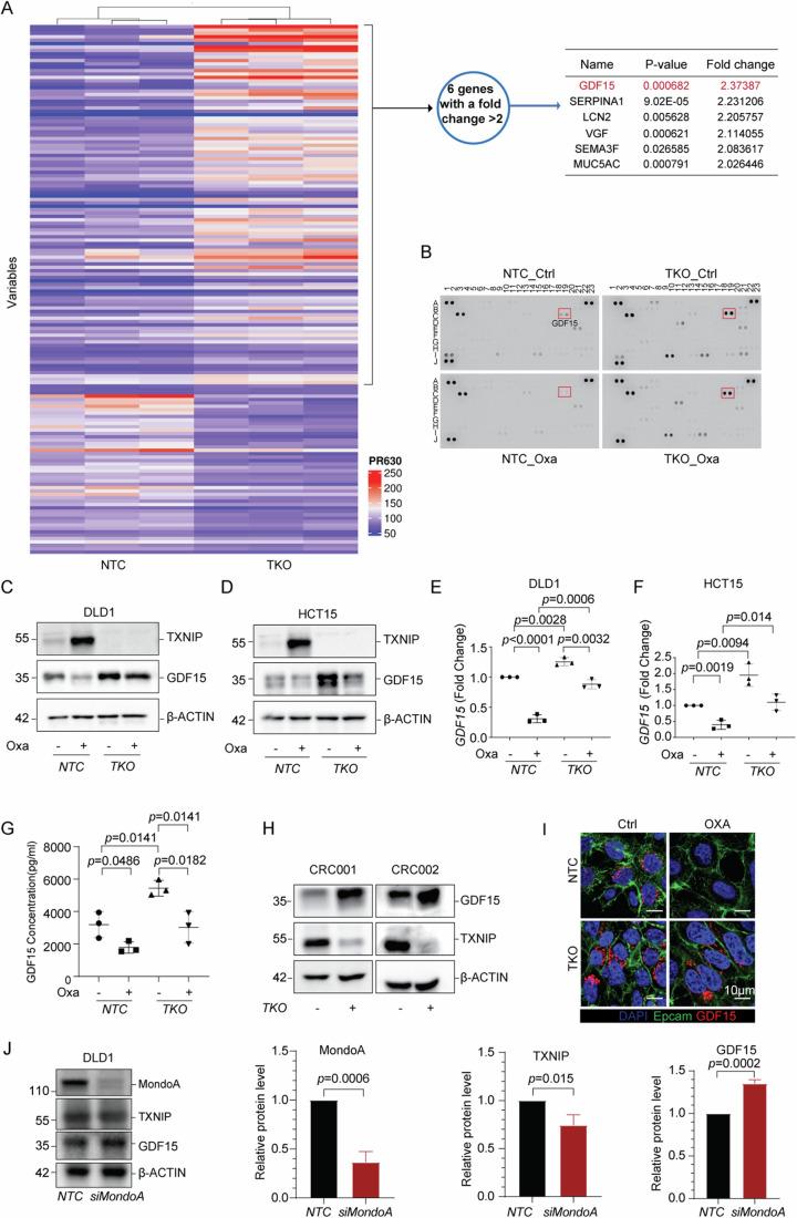
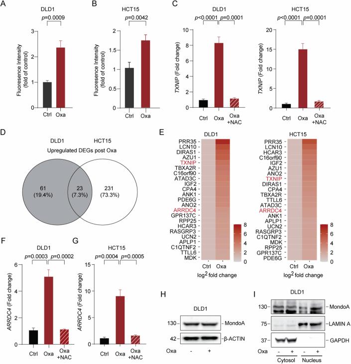
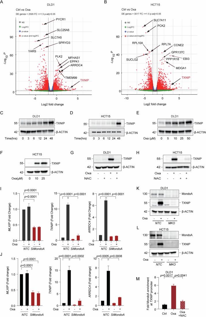
Chemotherapy, the standard of care treatment for cancer patients with advanced disease, has been increasingly recognized to activate host immune responses to produce durable outcomes. Here, in colorectal adenocarcinoma (CRC) we identify oxaliplatin-induced Thioredoxin-Interacting Protein (TXNIP), a MondoA-dependent tumor suppressor gene, as a negative regulator of Growth/Differentiation Factor 15 (GDF15). GDF15 is a negative prognostic factor in CRC and promotes the differentiation of regulatory T cells (Tregs), which inhibit CD8 T-cell activation. Intriguingly, multiple models including patient-derived tumor organoids demonstrate that the loss of TXNIP and GDF15 responsiveness to oxaliplatin is associated with advanced disease or chemotherapeutic resistance, with transcriptomic or proteomic GDF15/TXNIP ratios showing potential as a prognostic biomarker. These findings illustrate a potentially common pathway where chemotherapy-induced epithelial oxidative stress drives local immune remodeling for patient benefit, with disruption of this pathway seen in refractory or advanced cases.

摘要

化疗是晚期癌症患者的标准治疗方法,它越来越被认为可以激活宿主免疫反应,产生持久的效果。在这里,我们在结直肠腺癌 (CRC) 中发现,顺铂诱导的硫氧还蛋白相互作用蛋白 (TXNIP) 是 MondoA 依赖性肿瘤抑制基因,作为生长/分化因子 15 (GDF15) 的负调节剂。GDF15 是 CRC 的一个负预后因素,它促进调节性 T 细胞 (Tregs) 的分化,而 Tregs 抑制 CD8 T 细胞的激活。有趣的是,包括患者来源的肿瘤类器官在内的多个模型表明,TXNIP 的缺失和 GDF15 对顺铂的反应性与疾病的进展或化疗耐药性有关,转录组或蛋白质组 GDF15/TXNIP 比值具有作为预后生物标志物的潜力。这些发现说明了一个潜在的共同途径,即化疗诱导的上皮氧化应激驱动局部免疫重塑,有利于患者,而在难治性或进展性病例中则会破坏这种途径。

https://cdn.ncbi.nlm.nih.gov/pmc/blobs/07e4/11393413/47a3911b3fdd/44321_2024_105_Fig1_HTML.jpg

文献AI研究员

20分钟写一篇综述,助力文献阅读效率提升50倍。

立即体验

用中文搜PubMed

大模型驱动的PubMed中文搜索引擎

马上搜索

文档翻译

学术文献翻译模型,支持多种主流文档格式。

立即体验