Suppr超能文献

非靶向代谢组学揭示了金刚烷胺毒性作用的机制。 (原英文文本似乎不完整,“on”后面缺少具体内容)

Untargeted metabolomics reveals the mechanism of amantadine toxicity on .

作者信息

Wang Xiaohan, Lu Yao, He Jinxia, Li Xiaojie, Xu Yingjiang, Ren Lihua, Li Huanjun

机构信息

Yantai Key Laboratory of Quality and Safety Control and Deep Processing of Marine Food, Shandong Key Laboratory of Marine Ecological Restoration, Shandong Marine Resource and Environment Research Institute, Yantai, China.

Shandong Oriental Ocean Technology Co. Ltd., Yantai, China.

出版信息

Front Physiol. 2024 Jul 24;15:1448259. doi: 10.3389/fphys.2024.1448259. eCollection 2024.

Abstract

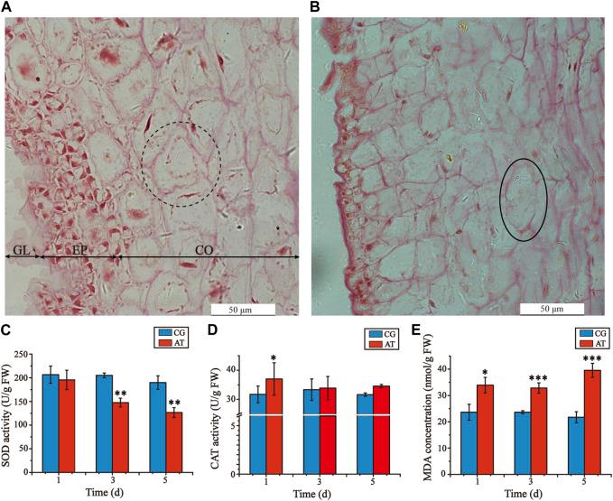
The antiviral agent amantadine is frequently detected in seawater and marine organisms. Because of increasing concentrations, amantadine has become a contaminant of emerging concern. This compound has toxic effects on the brown algae . The effects of amantadine on the biological processes of and the corresponding toxic mechanisms remain unclear. In this study, amantadine toxicity on was investigated using histopathological and physiological characteristics combined with metabolomics analysis. Changes in metabolites were determined by untargeted metabolomics after exposure to 10 ng/L amantadine for 72 h. The catalase activity in the exposure group slightly increased, whereas the superoxide dismutase activity greatly decreased. An increase in the malondialdehyde concentration was observed after amantadine exposure, which suggested that lipid peroxidation and cell damage occurred. Metabolomics analysis showed that there were 406 differentially expressed metabolites after amantadine exposure. These were mainly phospholipids, amino acids, purines, and their derivatives. Inhibition of the glycerophospholipid metabolism affected the lipid bilayer and cell structure, which was aligned with changes in histological observation. Changes in amino acids led to perturbation of protein synthesis and induced oxidative stress through interference with glutathione metabolism and tyrosine metabolism. Amantadine also interfered with energy metabolism in by disturbing the tricarboxylic acid cycle and purine metabolism. The results of this study provide new insights into the mechanism of amantadine toxicity on .

摘要

抗病毒药物金刚烷胺在海水和海洋生物中经常被检测到。由于其浓度不断增加,金刚烷胺已成为一个新出现的受关注污染物。这种化合物对褐藻有毒性作用。金刚烷胺对[此处原文缺失相关生物名称]生物过程的影响以及相应的毒性机制仍不清楚。在本研究中,结合代谢组学分析,利用组织病理学和生理学特征研究了金刚烷胺对[此处原文缺失相关生物名称]的毒性。在暴露于10纳克/升金刚烷胺72小时后,通过非靶向代谢组学确定代谢物的变化。暴露组中的过氧化氢酶活性略有增加,而超氧化物歧化酶活性大幅下降。金刚烷胺暴露后观察到丙二醛浓度增加,这表明发生了脂质过氧化和细胞损伤。代谢组学分析表明,金刚烷胺暴露后有406种差异表达的代谢物。这些主要是磷脂、氨基酸、嘌呤及其衍生物。甘油磷脂代谢的抑制影响了脂质双层和细胞结构,这与组织学观察结果一致。氨基酸的变化导致蛋白质合成紊乱,并通过干扰谷胱甘肽代谢和酪氨酸代谢诱导氧化应激。金刚烷胺还通过干扰三羧酸循环和嘌呤代谢干扰了[此处原文缺失相关生物名称]的能量代谢。本研究结果为金刚烷胺对[此处原文缺失相关生物名称]的毒性机制提供了新的见解。

https://cdn.ncbi.nlm.nih.gov/pmc/blobs/be7a/11303324/094c8b038f85/fphys-15-1448259-g001.jpg

文献AI研究员

20分钟写一篇综述,助力文献阅读效率提升50倍。

立即体验

用中文搜PubMed

大模型驱动的PubMed中文搜索引擎

马上搜索

文档翻译

学术文献翻译模型,支持多种主流文档格式。

立即体验