Suppr超能文献

单细胞测序联合空间转录组学揭示 M1 巨噬细胞中的 IRF7 基因通过调控脂质代谢相关机制抑制胰腺癌的发生。

Single-cell sequencing combined with spatial transcriptomics reveals that the IRF7 gene in M1 macrophages inhibits the occurrence of pancreatic cancer by regulating lipid metabolism-related mechanisms.

机构信息

Department of Gastroenterology, WuHan Third Hospital (Tongren Hospital of WuHan University), Wuhan, China.

Department of Gastroenterology, Zhongnan Hospital of Wuhan University, Wuhan, China.

出版信息

Clin Transl Med. 2024 Aug;14(8):e1799. doi: 10.1002/ctm2.1799.

Abstract

AIM

The main focus of this study is to explore the molecular mechanism of IRF7 regulation on RPS18 transcription in M1-type macrophages in pancreatic adenocarcinoma (PAAD) tissue, as well as the transfer of RPS18 by IRF7 via exosomes to PAAD cells and the regulation of ILF3 expression.

METHODS

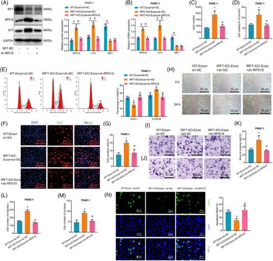
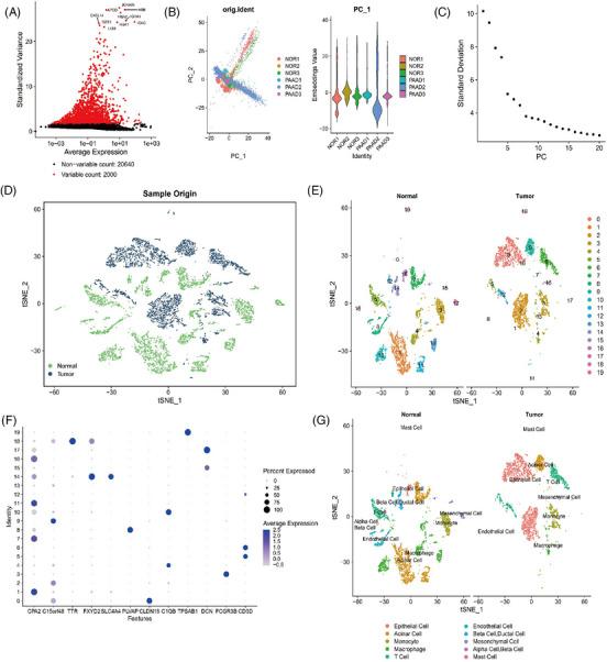
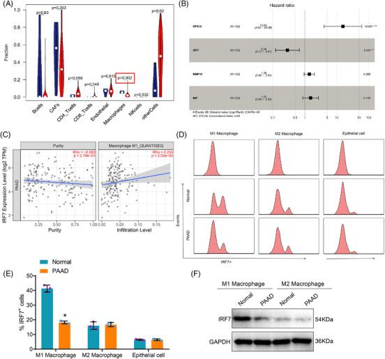
By utilising single-cell RNA sequencing (scRNA-seq) data and spatial transcriptomics (ST) data from the Gene Expression Omnibus database, we identified distinct cell types with significant expression differences in PAAD tissue. Among these cell types, we identified those closely associated with lipid metabolism. The differentially expressed genes within these cell types were analysed, and target genes relevant to prognosis were identified. Flow cytometry was employed to assess the expression levels of target genes in M1 and M2 macrophages. Cell lines with target gene knockout were constructed using CRISPR/Cas9 editing technology, and cell lines with target gene knockdown and overexpression were established using lentiviral vectors. Additionally, a co-culture model of exosomes derived from M1 macrophages with PAAD cells was developed. The impact of M1 macrophage-derived exosomes on the lipid metabolism of PAAD cells in the model was evaluated through metabolomics analysis. The effects of M1 macrophage-derived exosomes on the viability, proliferation, division, migration and apoptosis of PAAD cells were assessed using MTT assay, flow cytometry, EdU assay, wound healing assay, Transwell assay and TUNEL staining. Furthermore, a mouse PAAD orthotopic implantation model was established, and bioluminescence imaging was utilised to assess the influence of M1 macrophage-derived exosomes on the intratumoural formation capacity of PAAD cells, as well as measuring tumour weight and volume. The expression of proliferation-associated proteins in tumour tissues was examined using immunohistochemistry.

RESULTS

Through combined analysis of scRNA-seq and ST technologies, we discovered a close association between M1 macrophages in PAAD samples and lipid metabolism signals, as well as a negative correlation between M1 macrophages and cancer cells. The construction of a prognostic risk score model identified RPS18 and IRF7 as two prognostically relevant genes in M1 macrophages, exhibiting negative and positive correlations, respectively. Mechanistically, it was found that IRF7 in M1 macrophages can inhibit the transcription of RPS18, reducing the transfer of RPS18 to PAAD cells via exosomes, consequently affecting the expression of ILF3 in PAAD cells. IRF7/RPS18 in M1 macrophages can also suppress lipid metabolism, cell viability, proliferation, migration, invasion and intratumoural formation capacity of PAAD cells, while promoting cell apoptosis.

CONCLUSION

Overexpression of IRF7 in M1 macrophages may inhibit RPS18 transcription, reduce the transfer of RPS18 from M1 macrophage-derived exosomes to PAAD cells, thereby suppressing ILF3 expression in PAAD cells, inhibiting the lipid metabolism pathway, and curtailing the viability, proliferation, migration, invasion of PAAD cells, as well as enhancing cell apoptosis, ultimately inhibiting tumour formation in PAAD cells in vivo. Targeting IRF7/RPS18 in M1 macrophages could represent a promising immunotherapeutic approach for PAAD in the future.

摘要

目的

本研究的主要重点是探索 IRF7 调节胰腺导管腺癌(PAAD)组织中 M1 型巨噬细胞中 RPS18 转录的分子机制,以及 IRF7 通过外泌体将 RPS18 转移到 PAAD 细胞的情况,以及 ILF3 表达的调节。

方法

利用来自基因表达综合数据库的单细胞 RNA 测序(scRNA-seq)数据和空间转录组学(ST)数据,我们鉴定了在 PAAD 组织中具有显著表达差异的不同细胞类型。在这些细胞类型中,我们确定了那些与脂质代谢密切相关的细胞类型。分析这些细胞类型中差异表达的基因,并鉴定与预后相关的靶基因。通过流式细胞术评估 M1 和 M2 巨噬细胞中靶基因的表达水平。使用 CRISPR/Cas9 编辑技术构建具有靶基因敲除的细胞系,使用慢病毒载体构建具有靶基因敲低和过表达的细胞系。此外,还建立了 M1 巨噬细胞来源的外泌体与 PAAD 细胞的共培养模型。通过代谢组学分析评估 M1 巨噬细胞来源的外泌体对模型中 PAAD 细胞脂质代谢的影响。通过 MTT 测定、流式细胞术、EdU 测定、划痕愈合测定、Transwell 测定和 TUNEL 染色评估 M1 巨噬细胞来源的外泌体对 PAAD 细胞活力、增殖、分裂、迁移和凋亡的影响。此外,建立了小鼠 PAAD 原位植入模型,并利用生物发光成像评估 M1 巨噬细胞来源的外泌体对 PAAD 细胞肿瘤内形成能力的影响,同时测量肿瘤重量和体积。通过免疫组织化学检测肿瘤组织中增殖相关蛋白的表达。

结果

通过 scRNA-seq 和 ST 技术的联合分析,我们发现 PAAD 样本中的 M1 巨噬细胞与脂质代谢信号之间存在密切关联,并且 M1 巨噬细胞与癌细胞之间呈负相关。构建预后风险评分模型发现 RPS18 和 IRF7 是 M1 巨噬细胞中两个与预后相关的基因,它们分别呈负相关和正相关。机制上,我们发现 M1 巨噬细胞中的 IRF7 可以抑制 RPS18 的转录,减少 RPS18 通过外泌体向 PAAD 细胞的转移,从而影响 PAAD 细胞中 ILF3 的表达。M1 巨噬细胞中的 IRF7/RPS18 还可以抑制 PAAD 细胞的脂质代谢、细胞活力、增殖、迁移、侵袭和肿瘤内形成能力,同时促进细胞凋亡。

结论

M1 巨噬细胞中 IRF7 的过表达可能抑制 RPS18 的转录,减少 M1 巨噬细胞来源的外泌体中 RPS18 的转移到 PAAD 细胞,从而抑制 PAAD 细胞中 ILF3 的表达,抑制脂质代谢途径,并抑制 PAAD 细胞的活力、增殖、迁移、侵袭,增强细胞凋亡,最终抑制体内 PAAD 细胞的肿瘤形成。针对 M1 巨噬细胞中的 IRF7/RPS18 可能是未来胰腺导管腺癌的一种有前途的免疫治疗方法。

https://cdn.ncbi.nlm.nih.gov/pmc/blobs/03f0/11310283/846d73672f6f/CTM2-14-e1799-g006.jpg

文献AI研究员

20分钟写一篇综述,助力文献阅读效率提升50倍。

立即体验

用中文搜PubMed

大模型驱动的PubMed中文搜索引擎

马上搜索

文档翻译

学术文献翻译模型,支持多种主流文档格式。

立即体验