Suppr超能文献

解析 PYCR 家族对 ccRCC 及泛癌中细胞功能、预后价值、免疫浸润的影响。

Deciphering the Effects of the PYCR Family on Cell Function, Prognostic Value, Immune Infiltration in ccRCC and Pan-Cancer.

机构信息

School of Basic Medical Sciences, Fujian Medical University, Fuzhou 350122, China.

College of Computer and Cyber Security, Fujian Normal University, Fuzhou 350009, China.

出版信息

Int J Mol Sci. 2024 Jul 25;25(15):8096. doi: 10.3390/ijms25158096.

Abstract

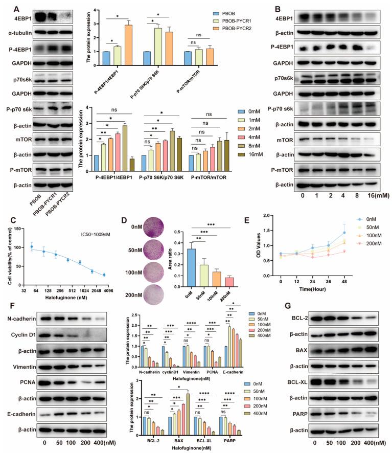
Pyrroline-5-carboxylate reductase (PYCR) is pivotal in converting pyrroline-5-carboxylate (P5C) to proline, the final step in proline synthesis. Three isoforms, PYCR1, PYCR2, and PYCR3, existed and played significant regulatory roles in tumor initiation and progression. In this study, we first assessed the molecular and immune characteristics of PYCRs by a pan-cancer analysis, especially focusing on their prognostic relevance. Then, a kidney renal clear cell carcinoma (KIRC)-specific prognostic model was established, incorporating pathomics features to enhance predictive capabilities. The biological functions and regulatory mechanisms of PYCR1 and PYCR2 were investigated by in vitro experiments in renal cancer cells. The PYCRs' expressions were elevated in diverse tumors, correlating with unfavorable clinical outcomes. PYCRs were enriched in cancer signaling pathways, significantly correlating with immune cell infiltration, tumor mutation burden (TMB), and microsatellite instability (MSI). In KIRC, a prognostic model based on PYCR1 and PYCR2 was independently validated statistically. Leveraging features from H&E-stained images, a pathomics feature model reliably predicted patient prognosis. In vitro experiments demonstrated that PYCR1 and PYCR2 enhanced the proliferation and migration of renal carcinoma cells by activating the mTOR pathway, at least in part. This study underscores PYCRs' pivotal role in various tumors, positioning them as potential prognostic biomarkers and therapeutic targets, particularly in malignancies like KIRC. The findings emphasize the need for a broader exploration of PYCRs' implications in pan-cancer contexts.

摘要

吡咯啉-5-羧酸还原酶 (PYCR) 在将吡咯啉-5-羧酸 (P5C) 转化为脯氨酸的过程中起着关键作用,脯氨酸是脯氨酸合成的最后一步。三种同工酶,PYCR1、PYCR2 和 PYCR3 存在,并在肿瘤起始和进展中发挥重要的调节作用。在这项研究中,我们首先通过泛癌症分析评估了 PYCRs 的分子和免疫特征,特别是关注它们的预后相关性。然后,建立了一个肾透明细胞癌 (KIRC) 特异性预后模型,纳入了病理特征以增强预测能力。通过体外实验在肾癌细胞中研究了 PYCR1 和 PYCR2 的生物学功能和调节机制。PYCRs 在多种肿瘤中表达升高,与不良的临床结局相关。PYCRs 在癌症信号通路中富集,与免疫细胞浸润、肿瘤突变负荷 (TMB) 和微卫星不稳定性 (MSI) 显著相关。在 KIRC 中,基于 PYCR1 和 PYCR2 的预后模型通过统计学方法独立验证。利用 H&E 染色图像的特征,病理特征模型可靠地预测了患者的预后。体外实验表明,PYCR1 和 PYCR2 通过激活 mTOR 通路至少部分促进了肾癌细胞的增殖和迁移。这项研究强调了 PYCRs 在各种肿瘤中的关键作用,将其定位为潜在的预后生物标志物和治疗靶点,特别是在 KIRC 等恶性肿瘤中。这些发现强调了需要更广泛地探索 PYCRs 在泛癌症背景下的意义。

https://cdn.ncbi.nlm.nih.gov/pmc/blobs/0bec/11311831/4c64ac0acb3a/ijms-25-08096-g001.jpg

文献AI研究员

20分钟写一篇综述,助力文献阅读效率提升50倍。

立即体验

用中文搜PubMed

大模型驱动的PubMed中文搜索引擎

马上搜索

文档翻译

学术文献翻译模型,支持多种主流文档格式。

立即体验