Suppr超能文献

中性粒细胞膜衍生的纳米颗粒通过抑制钙超载和清除 ROS 来保护创伤性脑损伤。

Neutrophil membrane-derived nanoparticles protect traumatic brain injury via inhibiting calcium overload and scavenging ROS.

机构信息

Department of Nuclear Medicine, Daping Hospital, Army Medical University, Chongqing, 400042, China.

College of Basic Medicine, Chongqing Medical University, Chongqing, 400016, China.

出版信息

J Nanobiotechnology. 2024 Aug 12;22(1):477. doi: 10.1186/s12951-024-02753-5.

Abstract

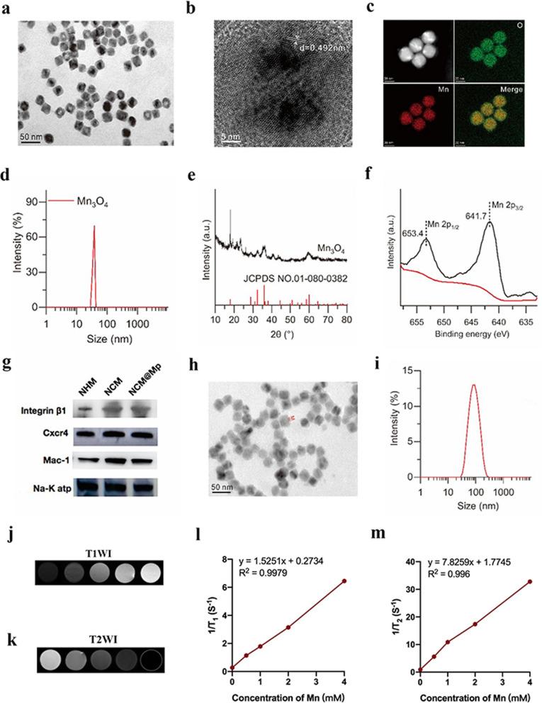
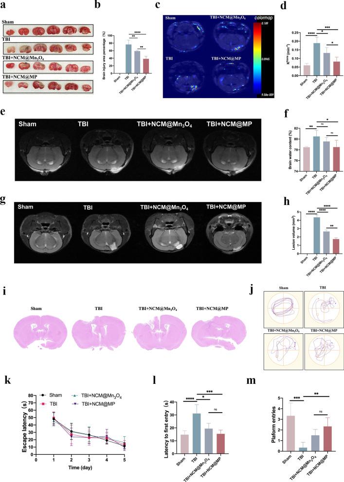
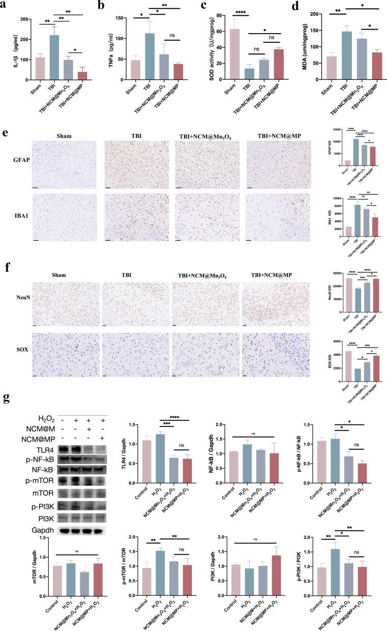
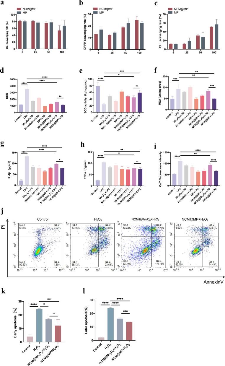
The secondary injury is more serious after traumatic brain injury (TBI) compared with primary injury. Release of excessive reactive oxygen species (ROS) and Ca influx at the damaged site trigger the secondary injury. Herein, a neutrophil-like cell membrane-functionalized nanoparticle was developed to prevent ROS-associated secondary injury. NCM@MP was composed of three parts: (1) Differentiated neutrophil-like cell membrane (NCM) was synthesized, with inflammation-responsive ability to achieve effective targeting and to increase the retention time of MnO and nimodipine (MP) in deep injury brain tissue via C-X-C chemokine receptor type 4, integrin beta 1 and macrophage antigen-1. (2) Nimodipine was used to inhibit Ca influx, eliminating the ROS at source. (3) MnO further eradicated the existing ROS. In addition, NCM@MP also exhibited desirable properties for T enhanced imaging and low toxicity which may serve as promising multifunctional nanoplatforms for precise therapies. In our study, NCM@MP obviously alleviated oxidative stress response, reduced neuroinflammation, protected blood-brain barrier integrity, relieved brain edema, promoted the regeneration of neurons, and improved the cognition of TBI mice. This study provides a promising TBI management to relieve the secondary spread of damage.

摘要

创伤性脑损伤 (TBI) 后的二次损伤比原发性损伤更为严重。损伤部位过量活性氧 (ROS) 和 Ca 内流的释放会引发二次损伤。在此,开发了一种具有中性粒细胞样细胞膜功能化的纳米颗粒,以防止与 ROS 相关的二次损伤。NCM@MP 由三部分组成:(1) 合成分化的中性粒细胞样细胞膜 (NCM),具有炎症反应能力,通过 C-X-C 趋化因子受体 4、整合素 β1 和巨噬细胞抗原-1 实现有效靶向,并增加 MnO 和尼莫地平 (MP) 在深部损伤脑组织中的保留时间。(2) 尼莫地平用于抑制 Ca 内流,从源头上消除 ROS。(3) MnO 进一步消除现有的 ROS。此外,NCM@MP 还表现出用于 T 增强成像的理想特性和低毒性,这使其可能成为用于精确治疗的有前途的多功能纳米平台。在我们的研究中,NCM@MP 明显减轻了氧化应激反应,减轻了神经炎症,保护了血脑屏障的完整性,缓解了脑水肿,促进了神经元的再生,并改善了 TBI 小鼠的认知能力。本研究为 TBI 管理提供了一种有前途的方法,以减轻继发性损伤的扩散。

https://cdn.ncbi.nlm.nih.gov/pmc/blobs/f573/11320991/fe32eec09acf/12951_2024_2753_Fig1_HTML.jpg

文献AI研究员

20分钟写一篇综述,助力文献阅读效率提升50倍。

立即体验

用中文搜PubMed

大模型驱动的PubMed中文搜索引擎

马上搜索

文档翻译

学术文献翻译模型,支持多种主流文档格式。

立即体验