Suppr超能文献

非 HIV 免疫功能健全的 COVID-19 患者合并严重肺孢子菌肺炎感染。

Non-HIV Immunocompetent Patient with COVID-19 and Severe Pneumocystis jirovecii Pneumonia Co-Infection.

出版信息

Emerg Infect Dis. 2024 Sep;30(9):1948-1952. doi: 10.3201/eid3009.240615.

Abstract

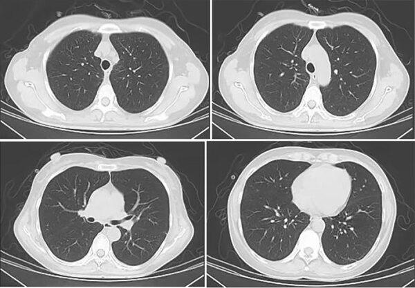
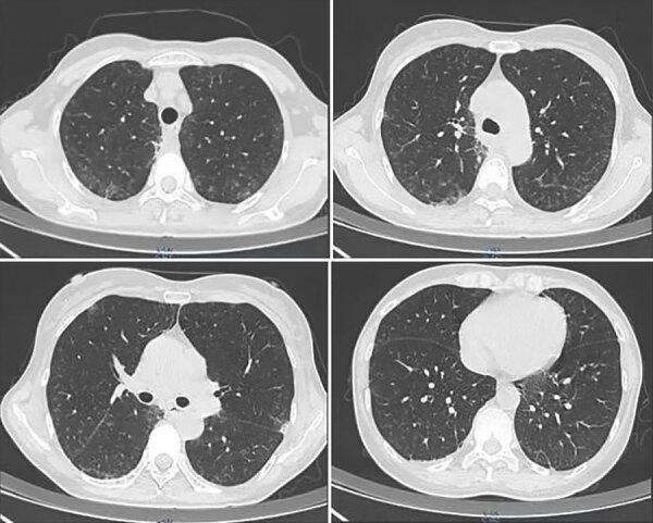
Pneumocystis jirovecii pneumonia is an opportunistic infection that affects HIV-infected and immunocompromised persons and rarely affects immunocompetent patients. However, after the advent of the COVID-19 pandemic, some COVID-19 patients without immunocompromise or HIV were infected with P. jirovecii. Clinical manifestations were atypical, easily misdiagnosed, and rapidly progressive, and the prognosis was poor.

摘要

肺孢子菌肺炎是一种机会性感染,影响 HIV 感染者和免疫功能低下者,很少影响免疫功能正常的患者。然而,在 COVID-19 大流行出现后,一些没有免疫抑制或 HIV 的 COVID-19 患者感染了肺孢子菌。临床表现不典型,容易误诊,病情进展迅速,预后不良。

https://cdn.ncbi.nlm.nih.gov/pmc/blobs/d2cb/11346996/2f475397ba89/24-0615-F1.jpg

文献AI研究员

20分钟写一篇综述,助力文献阅读效率提升50倍。

立即体验

用中文搜PubMed

大模型驱动的PubMed中文搜索引擎

马上搜索

文档翻译

学术文献翻译模型,支持多种主流文档格式。

立即体验