Suppr超能文献

两例胎粪吸入综合征导致的早产儿类白血病反应。

Two cases of Leukemoid reaction in premature infants caused by fetal inflammatory response syndrome.

机构信息

Department of Neonatology, Children's Medical Center, The First Hospital of Jilin University, NO.1 Xinmin Street, Changchun, 130012, China.

出版信息

BMC Pediatr. 2024 Aug 24;24(1):546. doi: 10.1186/s12887-024-05006-4.

Abstract

BACKGROUND

Fetal inflammatory response syndrome (FIRS) is a systemic inflammatory response caused by the activation of the fetal immune system. The serological diagnostic criterion for fetal inflammatory response syndrome is a cord blood interleukin-6 concentration that exceeds 11 pg/mL, while pathologic evidence indicates the presence of funisitis or chorionic vasculitis. It can affect all systems of the fetus. Alterations in patients' hematopoietic system are primarily reflected by changes in peripheral blood leukocyte and neutrophil counts.

CASE PRESENTATION

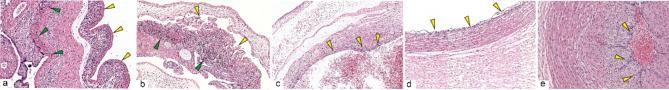
We performed placental pathology to identify FIRS and showed two cases of neonatal leukemoid reaction caused by FIRS. These two babies' alterations in hematopoietic system resolves spontaneously with the inflammation relief, without specific interventions. During the 16‑month and14- month follow‑up period, their motor and intellectual development was normal.

CONCLUSIONS

. Neonatal leukemoid reaction is a reactive disease characterized by abnormal blood parameters similar to those of leukemia, but not leukemia. It is an aberrant hematopoietic response that typically resolves spontaneously with cause relief without requiring specific interventions.

摘要

背景

胎儿炎症反应综合征(FIRS)是胎儿免疫系统激活引起的全身炎症反应。胎儿炎症反应综合征的血清学诊断标准为脐血白细胞介素-6 浓度超过 11pg/ml,而病理证据表明存在脐带炎或绒毛膜血管炎。它可影响胎儿的所有系统。患者造血系统的改变主要反映在外周血白细胞和中性粒细胞计数的变化上。

病例介绍

我们进行了胎盘病理学检查以确定 FIRS,并显示了两例由 FIRS 引起的新生儿类白血病反应。这两个婴儿的造血系统改变随着炎症的缓解而自发恢复,无需特定干预。在 16 个月和 14 个月的随访期间,他们的运动和智力发育正常。

结论

新生儿类白血病反应是一种以类似于白血病的血液参数异常为特征的反应性疾病,但不是白血病。这是一种异常的造血反应,通常随着病因的缓解而自发恢复,无需特定干预。

https://cdn.ncbi.nlm.nih.gov/pmc/blobs/9566/11344429/6df980d25d21/12887_2024_5006_Fig1_HTML.jpg

相似文献

1
Two cases of Leukemoid reaction in premature infants caused by fetal inflammatory response syndrome.
BMC Pediatr. 2024 Aug 24;24(1):546. doi: 10.1186/s12887-024-05006-4.
2
The fetal inflammatory response syndrome: the origins of a concept, pathophysiology, diagnosis, and obstetrical implications.
Semin Fetal Neonatal Med. 2020 Aug;25(4):101146. doi: 10.1016/j.siny.2020.101146. Epub 2020 Oct 23.
5
Fetal inflammatory response syndrome (FIRS) and outcome of preterm neonates - a prospective analytical study.
J Matern Fetal Neonatal Med. 2019 Feb;32(3):488-492. doi: 10.1080/14767058.2017.1384458. Epub 2017 Oct 11.
7
Soluble ST2 in the fetal inflammatory response syndrome: in vivo evidence of activation of the anti-inflammatory limb of the immune response.
J Matern Fetal Neonatal Med. 2013 Sep;26(14):1384-93. doi: 10.3109/14767058.2013.784258. Epub 2013 Jun 25.
8
Morbidity in preterm infants with fetal inflammatory response syndrome.
Pediatr Int. 2016 Sep;58(9):850-4. doi: 10.1111/ped.12895. Epub 2016 Apr 28.
9
The role of granulocyte colony-stimulating factor in the neutrophilia observed in the fetal inflammatory response syndrome.
J Perinat Med. 2011 Nov;39(6):653-66. doi: 10.1515/jpm.2011.072. Epub 2011 Jul 30.
10
Interleukin-19 in fetal systemic inflammation.
J Matern Fetal Neonatal Med. 2012 Jul;25(7):995-1005. doi: 10.3109/14767058.2011.605917. Epub 2012 Apr 3.

本文引用的文献

1
The fetal inflammatory response syndrome: the origins of a concept, pathophysiology, diagnosis, and obstetrical implications.
Semin Fetal Neonatal Med. 2020 Aug;25(4):101146. doi: 10.1016/j.siny.2020.101146. Epub 2020 Oct 23.
3
Acute funisitis is associated with distinct changes in fetal hematologic profile.
J Matern Fetal Neonatal Med. 2015 Mar;28(5):588-93. doi: 10.3109/14767058.2014.927426. Epub 2014 Jun 20.
4
Hematologic profile of the fetus with systemic inflammatory response syndrome.
J Perinat Med. 2011 Sep 30;40(1):19-32. doi: 10.1515/JPM.2011.100.
5
The role of granulocyte colony-stimulating factor in the neutrophilia observed in the fetal inflammatory response syndrome.
J Perinat Med. 2011 Nov;39(6):653-66. doi: 10.1515/jpm.2011.072. Epub 2011 Jul 30.
6
The relationship between leukemoid reaction and perinatal morbidity, mortality, and chorioamnionitis in low birth weight infants.
Int J Infect Dis. 2010 Nov;14(11):e998-1001. doi: 10.1016/j.ijid.2010.06.012. Epub 2010 Sep 17.
8
Leukocytosis in very low birth weight neonates: associated clinical factors and neonatal outcomes.
J Perinatol. 2008 Oct;28(10):680-4. doi: 10.1038/jp.2008.78. Epub 2008 Jun 19.
9
Histological chorioamnionitis and neonatal leukemoid reaction in low-birth-weight infants.
Hum Pathol. 2006 Jan;37(1):87-91. doi: 10.1016/j.humpath.2005.09.017. Epub 2005 Nov 17.
10
Funisitis and chorionic vasculitis: the histological counterpart of the fetal inflammatory response syndrome.
J Matern Fetal Neonatal Med. 2002 Jan;11(1):18-25. doi: 10.1080/jmf.11.1.18.25.

文献AI研究员

20分钟写一篇综述,助力文献阅读效率提升50倍。

立即体验

用中文搜PubMed

大模型驱动的PubMed中文搜索引擎

马上搜索

文档翻译

学术文献翻译模型,支持多种主流文档格式。

立即体验