Suppr超能文献

压电外科、铒钇铝石榴石激光手术和钕钇铝石榴石激光光生物调节:治疗颌骨药物相关性骨坏死(MRONJ)的联合方法。

Piezoelectric Surgery, Er:YAG Laser Surgery and Nd:YAG Laser Photobiomodulation: A Combined Approach to Treat Medication-Related Osteonecrosis of the Jaws (MRONJ).

作者信息

Vescovi Paolo, De Francesco Pierpaolo, Giovannacci Ilaria, Leão Jair Carneiro, Barone Antonio

机构信息

Oral Medicine and Oral Surgery Laser Unit, University Centre of Dentistry, Department of Medicine and Surgery, University of Parma, 43125 Parma, Italy.

Unit of Dentistry and Oral Surgery, Department of Surgical, Medical and Molecular Pathology and Critical Care Medicine, University of Pisa, Via Roma 67, 56126 Pisa, Italy.

出版信息

Dent J (Basel). 2024 Aug 19;12(8):261. doi: 10.3390/dj12080261.

Abstract

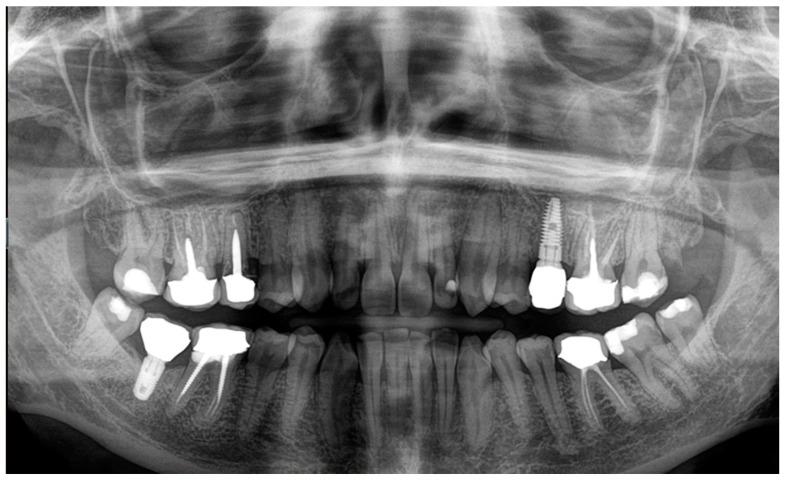
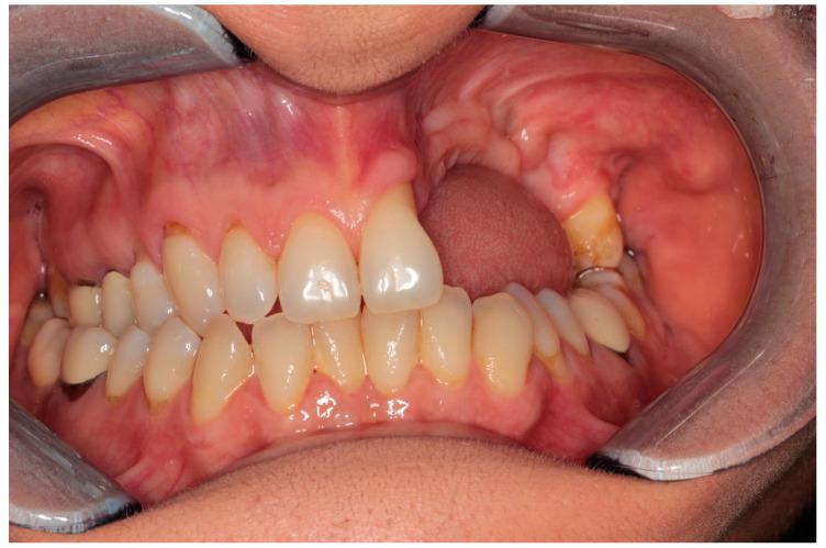
Medication-related osteonecrosis of the jaw (MRONJ) is a drug complication that can occur in patients taking antiresorptive or antiangiogenic drugs. Although it is a well-documented disease, there is no widely accepted treatment. However, several therapeutic approaches have been proposed. The surgical approach in many advanced cases appears inevitable; however, the results are not yet defined and predictable. This study aimed to propose a combined surgical approach with a piezoelectric device and laser (Er:YAG for bone ablation and Nd:YAG laser for photobiomodulation) in a young patient with breast cancer and bone metastasis under denosumab treatment, affected by spontaneous stage 3 MRONJ with maxillary sinus involvement. The patient under study reported no post-operative discomfort, with painkiller intake limited to the day after surgery. Total mucosal healing was observed without recurrences for more than 4 years after surgery. According to the results of our preliminary study, a combined surgical approach using a piezoelectric device and laser therapy is effective in managing patients affected by MRONJ, leveraging the clinical and biological advantages of these different techniques.

摘要

药物相关性颌骨坏死(MRONJ)是一种可发生于服用抗吸收或抗血管生成药物患者的药物并发症。尽管它是一种有充分文献记载的疾病,但尚无广泛接受的治疗方法。然而,已经提出了几种治疗方法。在许多晚期病例中,手术方法似乎不可避免;然而,其结果尚未明确且可预测。本研究旨在为一名接受地诺单抗治疗、患有乳腺癌和骨转移、受自发性3期MRONJ累及上颌窦影响的年轻患者,提出一种结合压电装置和激光(用于骨消融的铒:钇铝石榴石激光和用于光生物调节的钕:钇铝石榴石激光)的联合手术方法。研究中的患者术后无不适,止痛药服用仅限于术后当天。术后观察到黏膜完全愈合,4年多无复发。根据我们初步研究的结果,使用压电装置和激光治疗的联合手术方法在治疗受MRONJ影响的患者方面是有效的,利用了这些不同技术的临床和生物学优势。

https://cdn.ncbi.nlm.nih.gov/pmc/blobs/bd63/11353968/8afee5e96d45/dentistry-12-00261-g001.jpg

文献AI研究员

20分钟写一篇综述,助力文献阅读效率提升50倍。

立即体验

用中文搜PubMed

大模型驱动的PubMed中文搜索引擎

马上搜索

文档翻译

学术文献翻译模型,支持多种主流文档格式。

立即体验