Suppr超能文献

杂合子携带一个. 变异等位基因的鸟氨酸氨甲酰转移酶缺陷症的轻度表型。

Mild Phenotypes of Gyrate Atrophy in a Heterozygous Carrier with One Variant Allele of .

机构信息

Eye Institute and Department of Ophthalmology, Eye and ENT Hospital of Fudan University, Shanghai 200031, China.

NHC Key Laboratory of Myopia and Related Eye Diseases, Key Laboratory of Myopia and Related Eye Diseases, Chinese Academy of Medical Sciences, Shanghai 200031, China.

出版信息

Genes (Basel). 2024 Aug 2;15(8):1020. doi: 10.3390/genes15081020.

Abstract

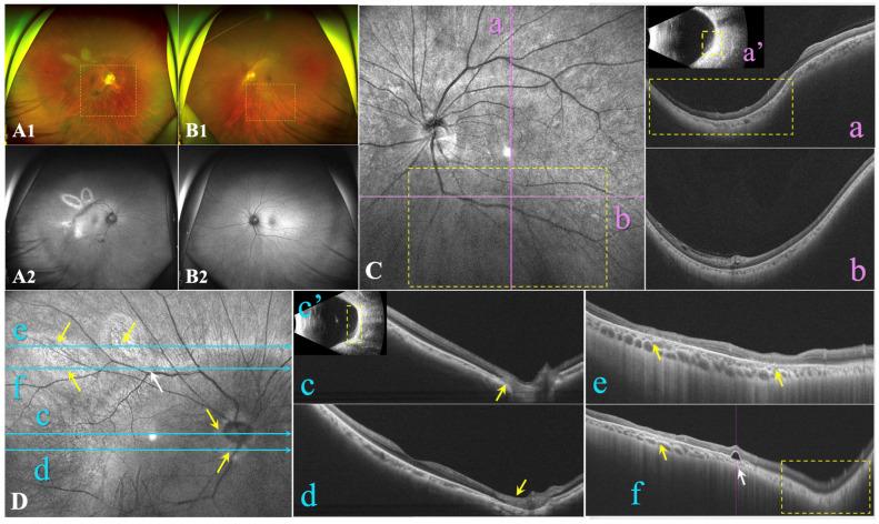
This study aimed to identify whether gyrate atrophy of the choroid and retina (GACR) heterozygous individuals have possible clinical manifestations and to explore the potential pathogenic mechanism. In this retrospective study, we surveyed a two-generation pedigree of an individual diagnosed with GACR. Two family members underwent ophthalmological, hematologic, and genetic tests. An arginine-restricted diet with vitamin B6 supplementation was implemented; clinical assessments were repeated every 3 months during follow-up. The relative mRNA expression was determined using a real-time quantitative polymerase chain reaction. The 19-year-old compound heterozygous daughter (: c.1186C>T; c.748C>T) had bilateral pathologic myopia, posterior staphyloma, chorioretinal atrophy, macular abnormalities, and elevated hematologic ornithine. The 54-year-old heterozygous mother (: c.1186C>T) presented with bilateral pathologic myopia, asymmetric posterior staphyloma, retina and choroidal capillary layer atrophy, retinal pigment epithelium abnormalities, and mildly elevated hematologic ornithine. Compared to normal individuals, the daughter and mother had 29% and 46% relative mRNA expression, respectively ( < 0.001). We believe that this is the first report of a carrier of one variant allele exhibiting a mild phenotype, suggesting that family members should be aware of the possibility of clinical involvement in carriers with some autosomal recessive conditions. Additional data suggest that nonsense-mediated, decay-initiated mRNA degradation may cause GACR.

摘要

本研究旨在确定是否存在 Gyrate 脉络膜视网膜萎缩症(GACR)杂合子个体具有可能的临床表现,并探索潜在的致病机制。在这项回顾性研究中,我们调查了一个被诊断为 GACR 的个体的两代表亲家族。两名家族成员接受了眼科、血液学和遗传学检查。实施了富含精氨酸的饮食加维生素 B6 补充剂,在随访期间每 3 个月进行一次临床评估。使用实时定量聚合酶链反应测定相对 mRNA 表达。19 岁的复合杂合子女儿(: c.1186C>T; c.748C>T)患有双侧病理性近视、后葡萄肿、脉络膜视网膜萎缩、黄斑异常和血液 ornithine 升高。54 岁的杂合子母亲(: c.1186C>T)表现为双侧病理性近视、不对称后葡萄肿、视网膜和脉络膜毛细血管层萎缩、视网膜色素上皮异常和血液 ornithine 轻度升高。与正常个体相比,女儿和母亲的相对 mRNA 表达分别为 29%和 46%(<0.001)。我们认为这是首例报道携带一个变异等位基因的个体表现出轻度表型的病例,提示家族成员应意识到某些常染色体隐性疾病携带者可能存在临床受累的可能性。此外的数据表明,无义介导的 mRNA 降解可能导致 GACR。

https://cdn.ncbi.nlm.nih.gov/pmc/blobs/ac2f/11353755/f3679208d078/genes-15-01020-g001.jpg

文献AI研究员

20分钟写一篇综述,助力文献阅读效率提升50倍。

立即体验

用中文搜PubMed

大模型驱动的PubMed中文搜索引擎

马上搜索

文档翻译

学术文献翻译模型,支持多种主流文档格式。

立即体验