Suppr超能文献

肩盂上唇前后损伤与肩关节囊厚度的关系:一项磁共振关节造影研究。

Relationship between SLAP Lesions and Shoulder Joint Capsule Thickness: An MR Arthrographic Study.

机构信息

Department of Radiology, Faculty of Medicine, Duzce University, Düzce 81620, Turkey.

Department of Physiotherapy and Rehabilitation, Faculty of Health Sciences, Duzce University, Düzce 81620, Turkey.

出版信息

Medicina (Kaunas). 2024 Aug 16;60(8):1332. doi: 10.3390/medicina60081332.

Abstract

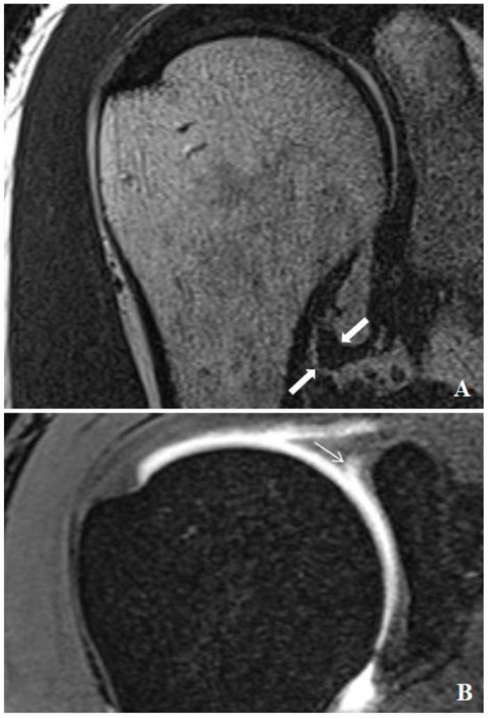
This study aimed to evaluate the relationship between SLAP lesions and the shoulder joint capsule thickness via MR arthrography. Understanding the relationship between SLAP lesions and the joint capsule thickness is important because an increased capsule thickness may indicate chronic inflammation and contribute to persistent pain and dysfunction. These findings have significant clinical implications for the diagnosis, management, and treatment strategies of shoulder joint pathologies. We retrospectively analyzed the MR arthrography results of 78 patients who underwent shoulder imaging at Düzce University Medical Faculty between October 2021 and November 2024. The study included patients diagnosed with SLAP lesions and compared them with a control group without such pathology. Data on joint capsule thickness at the level of the axillary recess, SLAP lesion type, cuff pathology, and demographic information were collected and analyzed. The study included 32 patients with SLAP lesions and 46 control subjects. The mean age of the patients was 44.75 ± 14.18 years, whereas the control group had a mean age of 38.76 ± 13 years. The patient group presented a significantly greater mean anterior capsule thickness (3.13 ± 1.28 mm vs. 1.72 ± 0.7 mm, = 0.0001), posterior capsule thickness (3.35 ± 1.32 mm vs. 1.95 ± 1.06 mm, = 0.0001), and maximum capsule thickness (3.6 ± 1.32 mm vs. 2.06 ± 1.01 mm, = 0.0001) in the axillary recess. SLAP type 2 lesions were the most common type (43.76%) in the patient group. This study revealed a significant association between SLAP lesions and an increased shoulder joint capsule thickness. These findings suggest that MR arthrography is an effective tool for assessing the joint capsule changes associated with labral tears, contributing to the better diagnosis and management of shoulder joint pathologies in clinical practice.

摘要

本研究旨在通过磁共振关节造影术评估 SLAP 病变与肩关节囊厚度之间的关系。了解 SLAP 病变与关节囊厚度之间的关系很重要,因为囊厚度的增加可能表明存在慢性炎症,并导致持续疼痛和功能障碍。这些发现对肩关节病变的诊断、管理和治疗策略具有重要的临床意义。

我们回顾性分析了 2021 年 10 月至 2024 年 11 月期间在杜兹杰大学医学院接受肩部成像的 78 名患者的磁共振关节造影结果。该研究包括诊断为 SLAP 病变的患者,并与无此类病理的对照组进行比较。收集并分析了腋窝水平关节囊厚度、SLAP 病变类型、肩袖病变和人口统计学信息的数据。

该研究包括 32 名 SLAP 病变患者和 46 名对照组。患者组的平均年龄为 44.75 ± 14.18 岁,而对照组的平均年龄为 38.76 ± 13 岁。患者组的前囊厚度(3.13 ± 1.28 毫米)、后囊厚度(3.35 ± 1.32 毫米)和最大囊厚度(3.6 ± 1.32 毫米)明显大于对照组(1.72 ± 0.7 毫米, = 0.0001)、(1.95 ± 1.06 毫米, = 0.0001)和(2.06 ± 1.01 毫米, = 0.0001)。在腋窝中。患者组中最常见的 SLAP 病变类型是 2 型(43.76%)。

本研究揭示了 SLAP 病变与肩关节囊厚度增加之间存在显著关联。这些发现表明,磁共振关节造影术是一种评估与肩唇撕裂相关的关节囊变化的有效工具,有助于在临床实践中更好地诊断和管理肩关节病变。

https://cdn.ncbi.nlm.nih.gov/pmc/blobs/0cf0/11356061/30497718a963/medicina-60-01332-g001.jpg

文献AI研究员

20分钟写一篇综述,助力文献阅读效率提升50倍。

立即体验

用中文搜PubMed

大模型驱动的PubMed中文搜索引擎

马上搜索

文档翻译

学术文献翻译模型,支持多种主流文档格式。

立即体验