Suppr超能文献

线粒体双链 RNA 稳态依赖于细胞周期进程。

Mitochondrial double-stranded RNA homeostasis depends on cell-cycle progression.

机构信息

The CRUK Scotland Institute, Glasgow, UK.

Department of Molecular and Cellular Biology, University of Geneva, Genève, Switzerland.

出版信息

Life Sci Alliance. 2024 Aug 29;7(11). doi: 10.26508/lsa.202402764. Print 2024 Nov.

Abstract

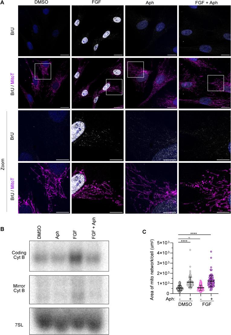
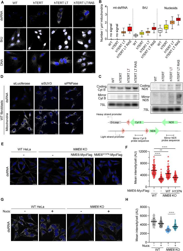
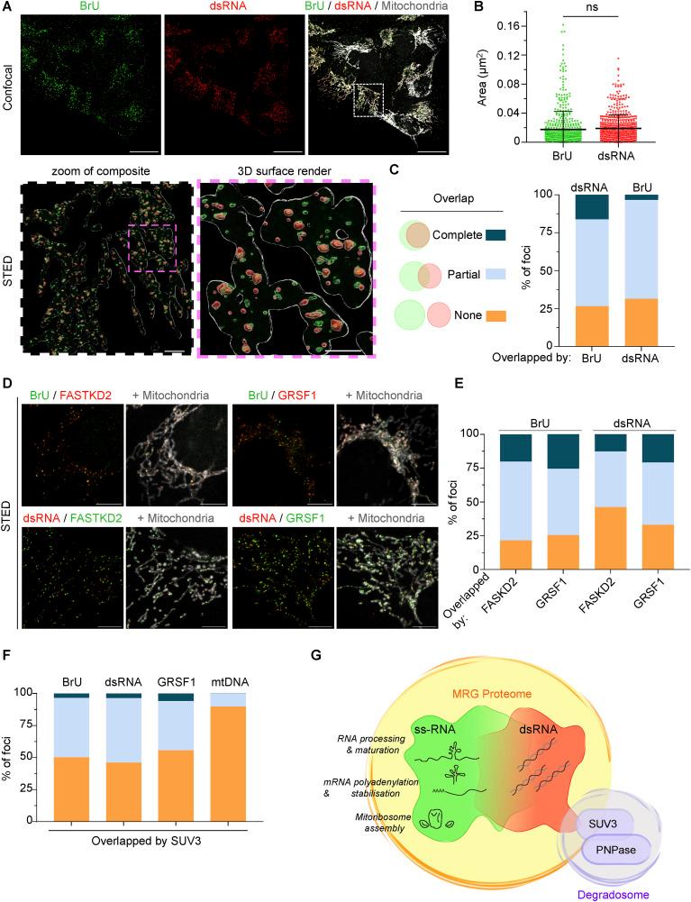
Mitochondrial gene expression is a compartmentalised process essential for metabolic function. The replication and transcription of mitochondrial DNA (mtDNA) take place at nucleoids, whereas the subsequent processing and maturation of mitochondrial RNA (mtRNA) and mitoribosome assembly are localised to mitochondrial RNA granules. The bidirectional transcription of circular mtDNA can lead to the hybridisation of polycistronic transcripts and the formation of immunogenic mitochondrial double-stranded RNA (mt-dsRNA). However, the mechanisms that regulate mt-dsRNA localisation and homeostasis are largely unknown. With super-resolution microscopy, we show that mt-dsRNA overlaps with the RNA core and associated proteins of mitochondrial RNA granules but not nucleoids. Mt-dsRNA foci accumulate upon the stimulation of cell proliferation and their abundance depends on mitochondrial ribonucleotide supply by the nucleoside diphosphate kinase, NME6. Consequently, mt-dsRNA foci are profuse in cultured cancer cells and malignant cells of human tumour biopsies. Our results establish a new link between cell proliferation and mitochondrial nucleic acid homeostasis.

摘要

线粒体基因表达是代谢功能所必需的区室化过程。线粒体 DNA(mtDNA)的复制和转录发生在核体上,而随后的线粒体 RNA(mtRNA)的加工和成熟以及线粒体核糖体的组装定位于线粒体 RNA 颗粒。圆形 mtDNA 的双向转录可导致多顺反子转录本的杂交和免疫原性线粒体双链 RNA(mt-dsRNA)的形成。然而,调节 mt-dsRNA 定位和动态平衡的机制在很大程度上尚不清楚。通过超分辨率显微镜,我们发现 mt-dsRNA 与线粒体 RNA 颗粒的 RNA 核心和相关蛋白重叠,但不与核体重叠。细胞增殖刺激会导致 mt-dsRNA 焦点的积累,并且它们的丰度取决于核苷二磷酸激酶 NME6 提供的线粒体核苷酸供应。因此,mt-dsRNA 焦点在培养的癌细胞和人类肿瘤活检中的恶性细胞中非常丰富。我们的研究结果在细胞增殖和线粒体核酸动态平衡之间建立了新的联系。

https://cdn.ncbi.nlm.nih.gov/pmc/blobs/f13f/11361371/15c2b5413a24/LSA-2024-02764_FigS1.jpg

文献AI研究员

20分钟写一篇综述,助力文献阅读效率提升50倍。

立即体验

用中文搜PubMed

大模型驱动的PubMed中文搜索引擎

马上搜索

文档翻译

学术文献翻译模型,支持多种主流文档格式。

立即体验