Suppr超能文献

环状RNA_0114866通过miR-653-5p/MYL6B轴促进非小细胞肺癌的进展和上皮-间质转化

circ_0114866 promotes the progression and EMT of non-small cell lung cancer via miR-653-5p/MYL6B axis.

作者信息

Sun Jinpeng, Zhang Zhenshan, Xia Binghui, Yao Tianyu, Ge Fengyue, Yan Fengmei

机构信息

Department of General Surgery Ward,Cangzhou Hospital of Integrated TCM-WM·Hebei China.

Department of Medical Oncology, Cangzhou Hospital of Integrated TCM-WM·Hebei, China.

出版信息

Heliyon. 2024 Aug 30;10(17):e37062. doi: 10.1016/j.heliyon.2024.e37062. eCollection 2024 Sep 15.

Abstract

BACKGROUND

Non-small-cell lung cancer (NSCLC) is the most prevalent form of lung cancer. Circular RNA (circRNA) has emerged as a key player in the development of NSCLC by acting as miRNA sponges. However, the precise role of circ_0114866 in regulating NSCLC process is yet to be elucidated.

METHODS

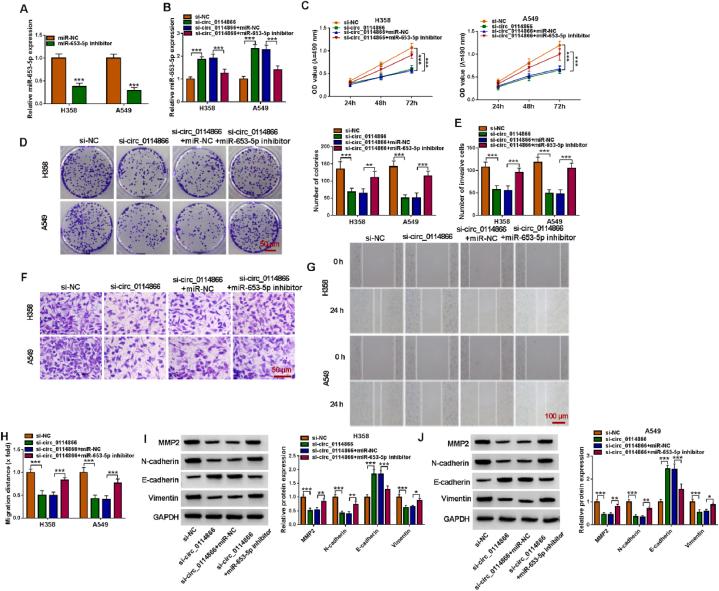
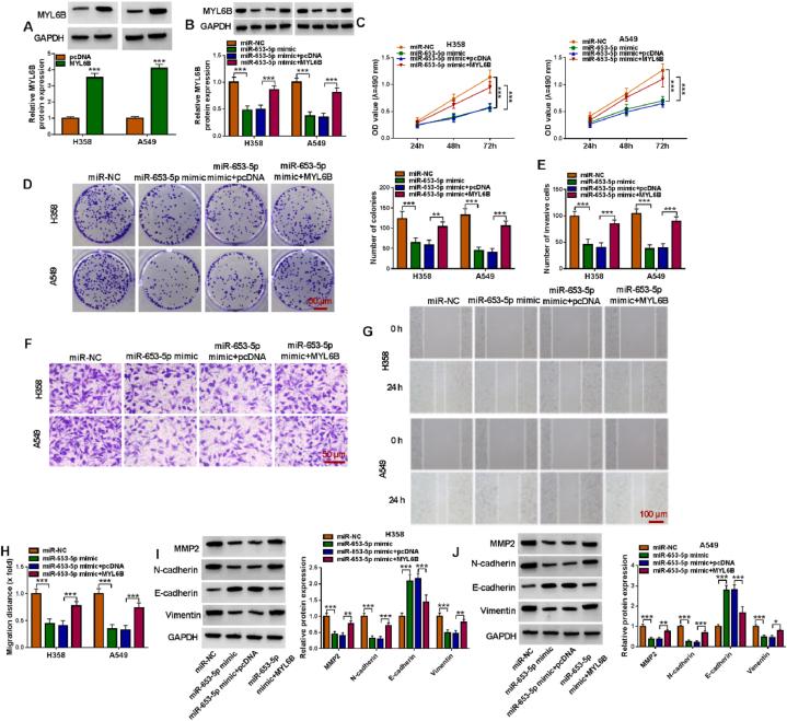
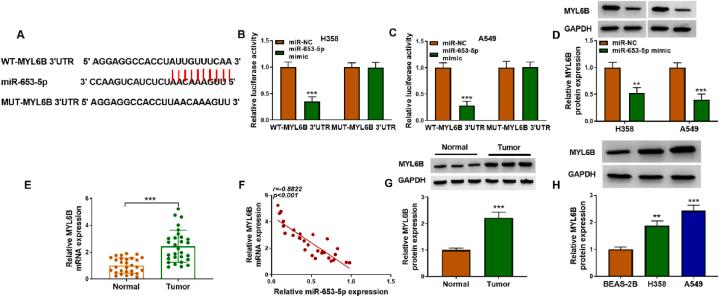
The expression of circ_0114866, miR-653-5p, and MYL6B were assessed by qPCR. Cell viability, proliferation, invasion, and migration were investigated using CCK-8, colony formation, Transwell, and wound healing assays. The protein levels of MYL6B, MMP-2, N-cadherin, E-cadherin, and vimentin were evaluated through Western blot analysis. Xenograft tumor model were selected to analyze the impact of circ_0114866 on NSCLC tumor growth. Through circBank or Starbase databases, the binding interactions between miR-653-5p and circ_0114866 or MYL6B were predicted. Subsequently, these interactions were verified by dual-luciferase reporter assay.

RESULTS

The expression of circ_0114866 and MYL6B were clearly elevated, while miR-653-5p expression was notably reduced in NSCLC tissues and cells. Notably, circ_0114866 knockdown obviously suppressed the proliferation, metastasis, and EMT process in NSCLC cells. Additionally, circ_0114866 functioned as a sponge for miR-653-5p, leading to an increase in MYL6B expression by absorbing miR-653-5p. Furthermore, the inhibitory effects on biological behaviors and EMT process of NSCLC cells induced by circ_0114866 knockdown were reversed by miR-653-5p inhibitor. Moreover, experiments demonstrated that silencing circ_0114866 resulted in a repression of tumor growth.

CONCLUSION

Our findings indicate that circ_0114866 knockdown upregulated MYL6B transcription by sponging miR-653-5p, leading to hinder the progression and EMT process of NSCLC.

摘要

背景

非小细胞肺癌(NSCLC)是肺癌最常见的形式。环状RNA(circRNA)通过充当微小RNA(miRNA)海绵,在NSCLC的发展中成为关键因素。然而,circ_0114866在调控NSCLC进程中的具体作用尚待阐明。

方法

通过qPCR评估circ_0114866、miR-653-5p和MYL6B的表达。使用CCK-8、集落形成、Transwell和伤口愈合试验研究细胞活力、增殖、侵袭和迁移。通过蛋白质印迹分析评估MYL6B、基质金属蛋白酶-2(MMP-2)、N-钙黏蛋白、E-钙黏蛋白和波形蛋白的蛋白质水平。选择异种移植肿瘤模型分析circ_0114866对NSCLC肿瘤生长的影响。通过circBank或Starbase数据库预测miR-653-5p与circ_0114866或MYL6B之间的结合相互作用。随后,通过双荧光素酶报告基因试验验证这些相互作用。

结果

NSCLC组织和细胞中circ_0114866和MYL6B的表达明显升高,而miR-653-5p表达显著降低。值得注意的是,circ_0114866敲低明显抑制NSCLC细胞的增殖、转移和上皮-间质转化(EMT)过程。此外,circ_0114866充当miR-653-5p的海绵,通过吸收miR-653-5p导致MYL6B表达增加。此外,miR-653-5p抑制剂逆转了circ_0114866敲低对NSCLC细胞生物学行为和EMT过程的抑制作用。此外,实验表明沉默circ_0114866导致肿瘤生长受到抑制。

结论

我们的研究结果表明,circ_0114866敲低通过充当miR-653-5p的海绵上调MYL6B转录,导致阻碍NSCLC的进展和EMT过程。

https://cdn.ncbi.nlm.nih.gov/pmc/blobs/c8bb/11402247/506098ce16da/gr1.jpg

文献AI研究员

20分钟写一篇综述,助力文献阅读效率提升50倍。

立即体验

用中文搜PubMed

大模型驱动的PubMed中文搜索引擎

马上搜索

文档翻译

学术文献翻译模型,支持多种主流文档格式。

立即体验