Suppr超能文献

通过 scAAV6-RNAi 介导的基质金属蛋白酶 3 和 13 的抑制作用富集胶原蛋白 II 在退行性核-髓核细胞退行性椎间盘疾病和生物治疗策略中。

Collagen II enrichment through scAAV6-RNAi-mediated inhibition of matrix-metalloproteinases 3 and 13 in degenerative nucleus-pulposus cells degenerative disc disease and biological treatment strategies.

机构信息

Department of Neurosurgery, Medical University of Innsbruck, Innsbruck, Austria.

出版信息

Exp Biol Med (Maywood). 2024 Sep 2;249:10048. doi: 10.3389/ebm.2024.10048. eCollection 2024.

Abstract

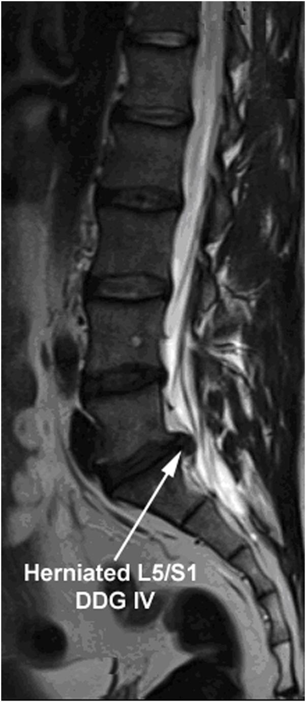
Intervertebral disc (IVD) degeneration damaging the extracellular matrix (ECM) of IVDs is the main cause of spine-associated disorders. Degenerative disc disease (DDD) is a multifaceted disorder, where environmental factors, inflammatory cytokines and catabolic enzymes act together. DDD starts typically due to imbalance between ECM biosynthesis and degradation within IVDs, especially through unbalanced degradation of aggrecan and collagen II in nucleus pulposus (NP). Current treatment approaches are primarily based on conservative or surgical therapies, which are insufficient for biological regeneration. The disintegrins and metalloproteinases with thrombospondin motifs (ADAMTSs) and matrix metalloproteinases (MMPs) are the key proteolytic enzymes for degradation of aggrecan and collagens. Previously, high expression levels of ADAMTS4, ADAMTS5, MMP3 and MMP13, which are accompanied with low levels of aggrecan and collagen II, were demonstrated in degenerative human NP cells. Moreover, self-complementary adeno-associated virus type 6 (scAAV6) mediated inhibitions of ADAMTS4 and ADAMTS5 by RNA-interference (RNAi) could specifically enhance aggrecan level. Thus, MMPs are apparently the main degrading enzymes of collagen II in NP. Furthermore, scAAV6-mediated inhibitions of MMP3 and MMP13 have not yet been investigated. Therefore, we attempted to enhance the level of collagen II in degenerative NP cells by scAAV6-RNAi-mediated inhibitions of MMP3 and MMP13. MRI was used to determine preoperative grading of IVD degeneration in patients. After isolation and culturing of NP cells, cells were transduced with scAAV6-shRNAs targeting MMP3 or MMP13; and analysed by fluorescence microscopy, FACS, MTT assay, RT-qPCR, ELISA and western blotting. scAAV6-shRNRs have no impact on cell viability and proliferation, despite high transduction efficiencies (98.6%) and transduction units (1383 TU/Cell). Combined knockdown of MMP3 (92.8%) and MMP13 (90.9%) resulted in highest enhancement of collagen II (143.2%), whereby treatment effects were significant over 56 days ( < 0.001). Conclusively, scAAV6-RNAi-mediated inhibitions of MMP3 and MMP13 help to progress less immunogenic and enduring biological treatments in DDD.

摘要

椎间盘(IVD)退变破坏 IVD 的细胞外基质(ECM)是脊柱相关疾病的主要原因。退行性椎间盘疾病(DDD)是一种多方面的疾病,其中环境因素、炎症细胞因子和分解代谢酶共同作用。DDD 通常是由于 IVD 内 ECM 生物合成和降解之间的失衡引起的,特别是通过核髓核(NP)中聚集蛋白聚糖和胶原 II 的不平衡降解。目前的治疗方法主要基于保守或手术治疗,对于生物再生来说是不够的。解整合素和金属蛋白酶与血小板反应蛋白基序(ADAMTSs)和基质金属蛋白酶(MMPs)是降解聚集蛋白聚糖和胶原的关键蛋白水解酶。以前,在退变的人 NP 细胞中,高表达 ADAMTS4、ADAMTS5、MMP3 和 MMP13,同时伴有聚集蛋白聚糖和胶原 II 水平降低,表明 ADAMTS4 和 ADAMTS5 的高表达。此外,通过 RNA 干扰(RNAi)介导的自互补腺相关病毒 6(scAAV6)对 ADAMTS4 和 ADAMTS5 的抑制作用可以特异性地提高聚集蛋白聚糖的水平。因此,MMPs 显然是 NP 中胶原 II 的主要降解酶。此外,尚未研究过 scAAV6 介导的 MMP3 和 MMP13 抑制作用。因此,我们试图通过 scAAV6-RNAi 介导的 MMP3 和 MMP13 抑制作用来提高退变 NP 细胞中胶原 II 的水平。MRI 用于确定患者 IVD 退变的术前分级。NP 细胞分离和培养后,用靶向 MMP3 或 MMP13 的 scAAV6-shRNA 转导细胞;并通过荧光显微镜、FACS、MTT 测定、RT-qPCR、ELISA 和 Western blot 进行分析。scAAV6-shRNRs 对细胞活力和增殖没有影响,尽管转导效率(98.6%)和转导单位(1383 TU/Cell)较高。MMP3(92.8%)和 MMP13(90.9%)的联合敲低导致胶原 II 的最高增强(143.2%),治疗效果在 56 天以上显著(<0.001)。总之,scAAV6-RNAi 介导的 MMP3 和 MMP13 抑制有助于推进 DDD 中更具免疫原性和持久的生物治疗。

https://cdn.ncbi.nlm.nih.gov/pmc/blobs/d09a/11402661/2224e20c7a4a/ebm-249-10048-g001.jpg

文献AI研究员

20分钟写一篇综述,助力文献阅读效率提升50倍。

立即体验

用中文搜PubMed

大模型驱动的PubMed中文搜索引擎

马上搜索

文档翻译

学术文献翻译模型,支持多种主流文档格式。

立即体验