Suppr超能文献

CCL2/CCR2 轴通过增加 MYC/BCL2 双表达 DLBCL 中的 M2 巨噬细胞促进肿瘤进展。

Increased CCL2/CCR2 axis promotes tumor progression by increasing M2 macrophages in MYC/BCL2 double-expressor DLBCL.

机构信息

Department of Pathology, Seoul National University Hospital, Seoul National University College of Medicine, Seoul, Republic of Korea.

Department of Pathology, Korea University Guro Hospital, Korea University College of Medicine, Seoul, Republic of Korea.

出版信息

Blood Adv. 2024 Nov 26;8(22):5773-5788. doi: 10.1182/bloodadvances.2024013699.

Abstract

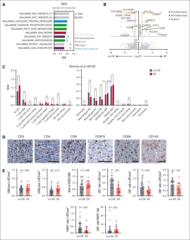
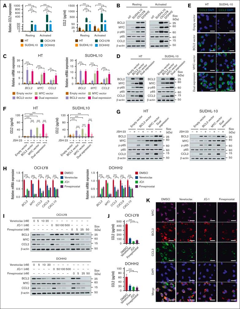
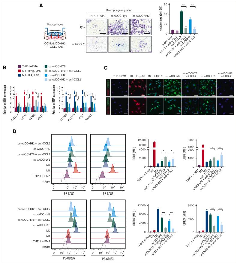
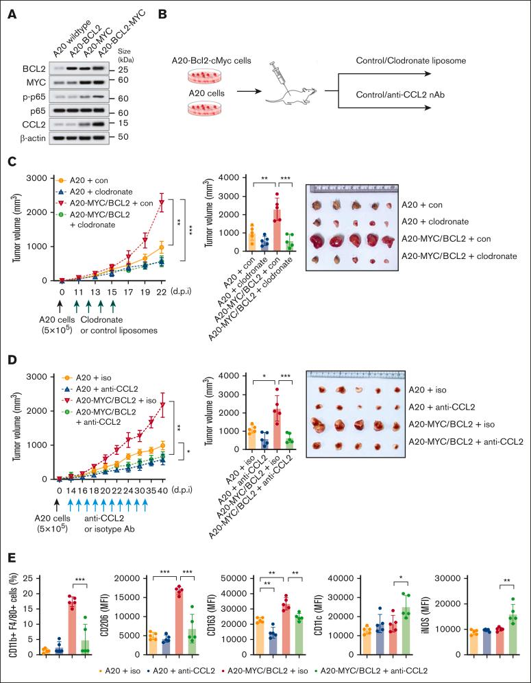
The pathogenesis of myelocytomatosis oncogene (MYC) and B-cell lymphoma 2 (BCL2) double-expressor diffuse large B-cell lymphoma (DE-DLBCL) remains unclear. To investigate how MYC and BCL2 contribute to tumor aggressiveness, we analyzed tumors from 14 patients each with DE-DLBCL and non-DE-DLBCL using whole transcriptome sequencing. Validation was performed using publicly available data sets, tumor tissues from 126 patients, DLBCL cell lines, and a syngeneic mouse lymphoma model. Our transcriptome analysis revealed significantly elevated messenger RNA levels of C-C motif chemokine ligand 2 (CCL2) and C-C chemokine receptor type 2 (CCR2) in DE-DLBCLs when compared with non-DE-DLBCLs (adjusted P value < .05). Transcriptomic analysis of public data sets and immunohistochemistry corroborated these findings, indicating increased levels of M2 macrophages but a reduction in T-cell infiltration in DE-DLBCLs when compared with non-DE-DLBCLs (all P < .05). CCR2 expression was observed mainly in tumor-infiltrating macrophages and not in DLBCL cells. Increased expression of CCL2 and CCR2 was significantly associated with a poor prognosis in patients with DLBCL. In the in vitro analyses, MYChigh/BCL2high DLBCL cells showed higher CCL2 expression and secretion than MYClow/BCL2low cells. MYC and BCL2 increased CCL2 expression and secretion by upregulation of nuclear factor κB p65 in DLBCL cells, and CCL2 promoted M2 polarization of macrophages. In a mouse lymphoma model, CCL2 contributed to the immunosuppressive microenvironment and tumor growth of MYChigh/BCL2high tumors. We demonstrated that the increased CCL2/CCR2 axis confers aggressiveness to DE-DLBCL by increasing M2 polarization and can be a potential therapeutic target.

摘要

髓细胞细胞瘤致癌基因(MYC)和 B 细胞淋巴瘤 2(BCL2)双表达弥漫性大 B 细胞淋巴瘤(DE-DLBCL)的发病机制尚不清楚。为了研究 MYC 和 BCL2 如何促进肿瘤侵袭性,我们使用全转录组测序分析了 14 例 DE-DLBCL 和非 DE-DLBCL 患者的肿瘤。使用公开可用的数据集、126 例患者的肿瘤组织、DLBCL 细胞系和同基因小鼠淋巴瘤模型进行了验证。我们的转录组分析显示,与非 DE-DLBCL 相比,DE-DLBCL 中 C-C 基序趋化因子配体 2(CCL2)和 C-C 趋化因子受体 2(CCR2)的信使 RNA 水平显著升高(调整后的 P 值<0.05)。公共数据集的转录组分析和免疫组织化学证实了这一发现,表明与非 DE-DLBCL 相比,DE-DLBCL 中 M2 巨噬细胞水平升高,但 T 细胞浸润减少(均 P<0.05)。CCR2 表达主要见于肿瘤浸润性巨噬细胞,而不是 DLBCL 细胞。CCL2 和 CCR2 的高表达与 DLBCL 患者的不良预后显著相关。在体外分析中,与 MYClow/BCL2low 细胞相比,MYChigh/BCL2high DLBCL 细胞表现出更高的 CCL2 表达和分泌。MYC 和 BCL2 通过上调 DLBCL 细胞中的核因子 κB p65 增加 CCL2 的表达和分泌,CCL2 促进巨噬细胞向 M2 极化。在小鼠淋巴瘤模型中,CCL2 有助于 MYChigh/BCL2high 肿瘤的免疫抑制微环境和肿瘤生长。我们证明,增加的 CCL2/CCR2 轴通过增加 M2 极化赋予 DE-DLBCL 侵袭性,并且可以成为一个潜在的治疗靶点。

https://cdn.ncbi.nlm.nih.gov/pmc/blobs/a7f4/11605354/fa1dab05ba3c/BLOODA_ADV-2024-013699-ga1.jpg

文献AI研究员

20分钟写一篇综述,助力文献阅读效率提升50倍。

立即体验

用中文搜PubMed

大模型驱动的PubMed中文搜索引擎

马上搜索

文档翻译

学术文献翻译模型,支持多种主流文档格式。

立即体验