Suppr超能文献

丝裂原活化蛋白激酶4激酶(MAP4Ks)的西特龙同源结构域可改善创伤性脑损伤的预后。

The Citron homology domain of MAP4Ks improves outcomes of traumatic brain injury.

作者信息

Zhong Xiaoling, Tai Wenjiao, Liu Meng-Lu, Ma Shuaipeng, Shen Tianjin, Zou Yuhua, Zhang Chun-Li

机构信息

Department of Molecular Biology, University of Texas Southwestern Medical Center, Dallas, TX, USA.

Hamon Center for Regenerative Science and Medicine, University of Texas Southwestern Medical Center, Dallas, TX, USA.

出版信息

Neural Regen Res. 2025 Nov 1;20(11):3233-3244. doi: 10.4103/NRR.NRR-D-24-00113. Epub 2024 Sep 24.

Abstract

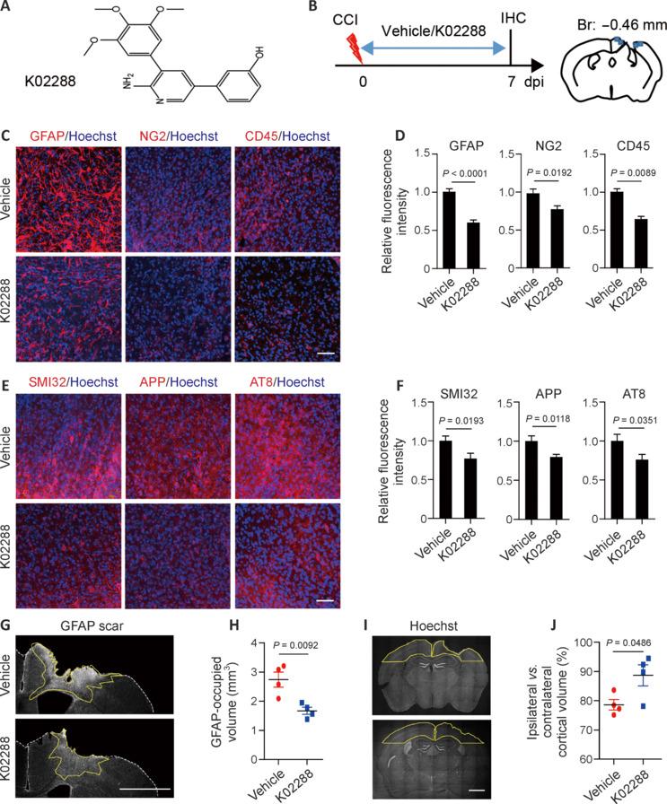
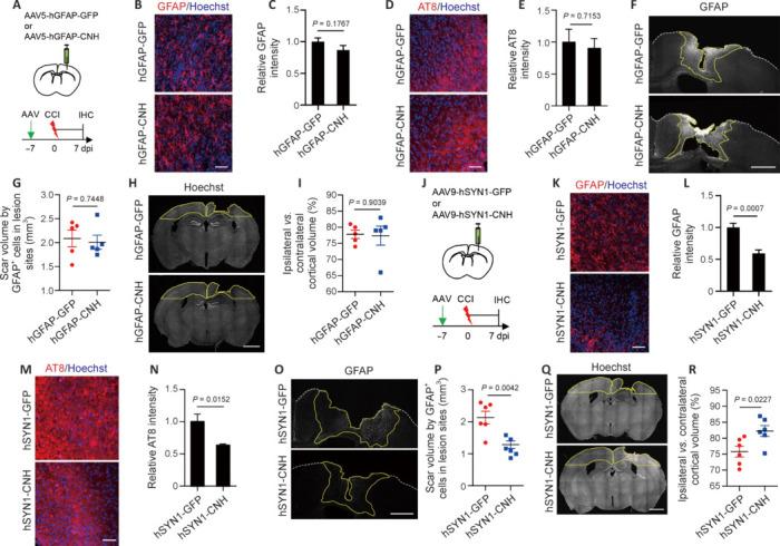
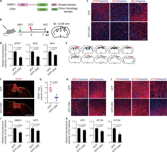
JOURNAL/nrgr/04.03/01300535-202511000-00027/figure1/v/2024-12-20T164640Z/r/image-tiff The mitogen-activated protein kinase kinase kinase kinases (MAP4Ks) signaling pathway plays a pivotal role in axonal regrowth and neuronal degeneration following insults. Whether targeting this pathway is beneficial to brain injury remains unclear. In this study, we showed that adeno-associated virus-delivery of the Citron homology domain of MAP4Ks effectively reduces traumatic brain injury-induced reactive gliosis, tauopathy, lesion size, and behavioral deficits. Pharmacological inhibition of MAP4Ks replicated the ameliorative effects observed with expression of the Citron homology domain. Mechanistically, the Citron homology domain acted as a dominant-negative mutant, impeding MAP4K-mediated phosphorylation of the dishevelled proteins and thereby controlling the Wnt/β-catenin pathway. These findings implicate a therapeutic potential of targeting MAP4Ks to alleviate the detrimental effects of traumatic brain injury.

摘要

《期刊/nrgr/04.03/01300535 - 202511000 - 00027/图1/v/2024 - 12 - 20T164640Z/图像 - tiff》丝裂原活化蛋白激酶激酶激酶激酶(MAP4Ks)信号通路在损伤后的轴突再生和神经元变性中起关键作用。靶向该通路是否对脑损伤有益仍不清楚。在本研究中,我们表明腺相关病毒递送的MAP4Ks的Citron同源结构域可有效减轻创伤性脑损伤诱导的反应性胶质增生、tau蛋白病、损伤大小和行为缺陷。MAP4Ks的药理学抑制作用复制了表达Citron同源结构域所观察到的改善效果。从机制上讲,Citron同源结构域作为一种显性负突变体,阻碍了MAP4K介导的散乱蛋白的磷酸化,从而控制Wnt/β - 连环蛋白通路。这些发现表明靶向MAP4Ks具有减轻创伤性脑损伤有害影响的治疗潜力。

https://cdn.ncbi.nlm.nih.gov/pmc/blobs/9bfc/11881717/8d68a7e8d990/NRR-20-3233-g002.jpg

文献AI研究员

20分钟写一篇综述,助力文献阅读效率提升50倍。

立即体验

用中文搜PubMed

大模型驱动的PubMed中文搜索引擎

马上搜索

文档翻译

学术文献翻译模型,支持多种主流文档格式。

立即体验