Suppr超能文献

不同腹腔内热灌注化疗药物对卵巢影响的效果评估:一项实验研究。

Evaluation of the Effect of Different Inhalation Agents on Ovaries with Hyperthermic Intraperitoneal Chemotherapy: An Experimental Study.

机构信息

Department of Anesthesiology and Reanimation, Trabzon Kanuni Training and Research Hospital, Trabzon 61250, Turkey.

Department of Histology and Embryology, Faculty of Medicine, Afyonkarahisar Health Sciences University, Afyonkarahisar 030030, Turkey.

出版信息

Medicina (Kaunas). 2024 Aug 27;60(9):1403. doi: 10.3390/medicina60091403.

Abstract

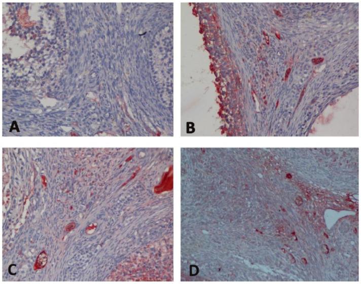
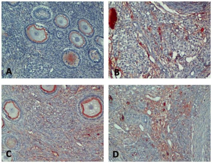
: Cisplatin is a chemotherapeutic drug that is frequently used with hyperthermic intraperitoneal chemotherapy (HIPEC). Cisplatin-induced gonadotoxicity leads to a depletion of the ovarian reserve, causing premature ovarian insufficiency. This study aimed to investigate the impact of hyperthermia on cisplatin-induced ovarian toxicity and to determine whether sevoflurane or desflurane could be a more appropriate choice of anesthetic for reducing ovarian toxicity in HIPEC procedures. : A total of 24 New Zealand rabbits were randomly divided into 4 groups as follows: Group H: HIPEC (cisplatin 7 mg/kg), Group HS: HIPEC (cisplatin 7 mg/kg) + 3% sevoflurane (2 h), Group HD: HIPEC (cisplatin 7 mg/kg) + 6% desflurane (2 h), and Group C: Control (Saline). Two catheters were placed in the abdominal cavity, the upper and lower quadrants. The perfusate was heated to 42 °C and given intraperitoneally for 90 min at a rate of 4 mL/min by catheters. Ovarian tissues were collected for Hematoxylin and Eosin staining and immunohistochemical analysis. : The primary follicle number was significantly decreased in Group H and HD compared to the C group ( < 0.05). Bax expression was high in Group H, according to all groups ( < 0.0001). Bax expression significantly decreased after sevoflurane, compared to group H ( = 0.012). The bcl-2 expression decreased in all groups compared to the C group. Bcl-2 expression was increased with sevoflurane compared to the H group ( = 0.001). Caspase 3 and p53 expression increased in all groups compared to the C group. p53 expression was decreased with sevoflurane and desflurane compared to the H group ( = 0.002, = 0.008, respectively). : The application of cisplatin with the intraoperative HIPEC method caused ovarian damage. According to our results, sevoflurane anesthesia could be a better option in mitigating cell death I the n ovarian reserve (follicle count) and apoptosis in the HIPEC procedures. We think that our findings should be supported by large series of clinical and experimental studies.

摘要

顺铂是一种常用的化疗药物,常与腹腔内热灌注化疗(HIPEC)联合使用。顺铂诱导的性腺毒性导致卵巢储备耗竭,引起卵巢早衰。本研究旨在探讨高热对顺铂诱导的卵巢毒性的影响,并确定七氟醚或地氟醚是否是 HIPEC 术中减轻卵巢毒性的更合适的麻醉选择。

将 24 只新西兰兔随机分为 4 组:H 组:HIPEC(顺铂 7mg/kg);HS 组:HIPEC(顺铂 7mg/kg)+3%七氟醚(2 小时);HD 组:HIPEC(顺铂 7mg/kg)+6%地氟醚(2 小时);C 组:对照组(生理盐水)。在腹腔内放置两个导管,上下象限。灌洗液加热至 42°C,以 4mL/min 的速度通过导管腹腔内灌注 90min。收集卵巢组织进行苏木精-伊红染色和免疫组织化学分析。

与 C 组相比,H 组和 HD 组的初级卵泡数明显减少(<0.05)。与所有组相比,H 组 Bax 表达较高(<0.0001)。与 H 组相比,七氟醚组 Bax 表达明显降低(=0.012)。与 C 组相比,所有组的 bcl-2 表达均降低。与 H 组相比,七氟醚组 bcl-2 表达增加(=0.001)。与 C 组相比,所有组的 caspase 3 和 p53 表达均增加。与 H 组相比,七氟醚和地氟醚组的 p53 表达降低(=0.002,=0.008)。

顺铂联合术中 HIPEC 方法应用导致卵巢损伤。根据我们的结果,七氟醚麻醉可能是减轻 HIPEC 术中细胞死亡和卵巢储备(卵泡计数)和细胞凋亡的更好选择。我们认为我们的发现应该得到大量临床和实验研究的支持。

https://cdn.ncbi.nlm.nih.gov/pmc/blobs/126d/11434566/9b2a90f39b3b/medicina-60-01403-g001.jpg

文献AI研究员

20分钟写一篇综述,助力文献阅读效率提升50倍。

立即体验

用中文搜PubMed

大模型驱动的PubMed中文搜索引擎

马上搜索

文档翻译

学术文献翻译模型,支持多种主流文档格式。

立即体验