Suppr超能文献

协同增效:中药与西医干预联合治疗脑脓肿病例报告

Synergistic Integration of Traditional Chinese Medicine and Western Medical Intervention in the Treatment of Brain Abscess: A Case Report.

机构信息

Department of Emergency, Longhua Hospital, Shanghai University of Traditional Chinese Medicine, Shanghai, China.

Jiangxi Provincial Traditional Chinese Medicine Nephropathy Clinical Research Center, Jiujiang Hospital of Traditional Chinese Medicine, Jiujiang, Jiangxi, China.

出版信息

Yale J Biol Med. 2024 Sep 30;97(3):325-333. doi: 10.59249/HHUU3725. eCollection 2024 Sep.

Abstract

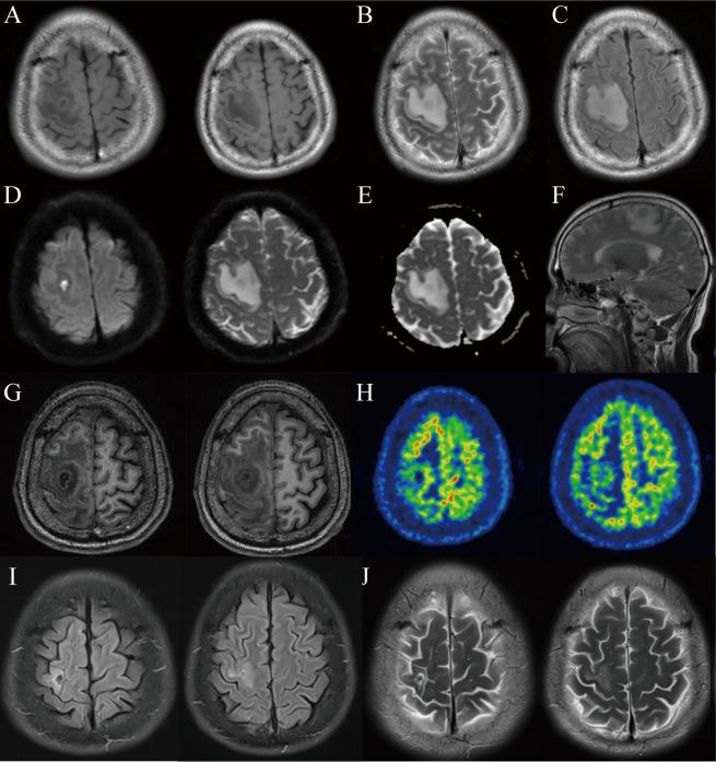
Brain abscess is life-threatening and carries a high risk of mortality. Despite advances in sensitive imaging techniques, effective antimicrobial therapies, and sophisticated surgical procedures, diagnosing and treating brain abscesses remains challenging. Although empirical antimicrobial therapy and neurosurgery are considered primary treatments for brain abscesses, their efficacy is limited by potential side effects including neutropenia development, the need for repeat surgeries, and the risk of new-onset epilepsy. Here, we present a case of a 52-year-old male patient who experienced paroxysmal convulsions accompanied by left-sided limb weakness and numbness for over 2 months. Despite a brain MRI revealing a multilocular cystic lesion in the right frontal lobe, with about 28 mm × 19 mm × 21 mm in size, the patient declined neurosurgical interventions. After completing a 6-week course of antimicrobial therapy, the patient sought traditional Chinese medicine (TCM) treatment. As a result, the patient remained free of paroxysmal convulsions for about 60 days after a 4-month TCM treatment. A follow-up MRI imaging at 8 months showed a reduction in the size of the lesion in the right frontal lobe to 8 mm × 4 mm. To the best of our knowledge, this is the first well-documented case of a brain abscess that was successfully managed with a combination of antimicrobial therapy and TCM. This case report suggests that TCM may provide significant supplementary benefits in managing infections like brain abscesses. However, further evidence from prospective studies is necessary to substantiate the efficacy of Chinese herbal medicine for the treatment of brain abscesses.

摘要

脑脓肿具有生命威胁性,死亡率较高。尽管敏感的影像学技术、有效的抗菌治疗和复杂的手术程序都有所进步,但脑脓肿的诊断和治疗仍然具有挑战性。尽管经验性抗菌治疗和神经外科手术被认为是脑脓肿的主要治疗方法,但它们的疗效受到潜在副作用的限制,包括中性粒细胞减少症的发展、需要重复手术以及新发性癫痫的风险。在这里,我们报告了一名 52 岁男性患者的病例,该患者经历了阵发性抽搐,伴有左侧肢体无力和麻木超过 2 个月。尽管脑部 MRI 显示右额叶有一个多房囊性病变,大小约为 28mm×19mm×21mm,但患者拒绝接受神经外科手术干预。在完成 6 周的抗菌治疗后,患者寻求了中医(TCM)治疗。结果,患者在接受了 4 个月的 TCM 治疗后,大约 60 天没有阵发性抽搐。8 个月时的随访 MRI 成像显示右额叶病变的大小缩小到 8mm×4mm。据我们所知,这是首例经充分记录的脑脓肿病例,成功地通过抗菌治疗和 TCM 联合治疗得到了控制。该病例报告表明,TCM 可能在管理脑脓肿等感染方面提供显著的补充益处。然而,需要前瞻性研究的进一步证据来证实中药治疗脑脓肿的疗效。

https://cdn.ncbi.nlm.nih.gov/pmc/blobs/12de/11426296/9c70eb670b7c/yjbm_97_3_325_g01.jpg

文献AI研究员

20分钟写一篇综述,助力文献阅读效率提升50倍。

立即体验

用中文搜PubMed

大模型驱动的PubMed中文搜索引擎

马上搜索

文档翻译

学术文献翻译模型,支持多种主流文档格式。

立即体验