Suppr超能文献

中国西北54例化生性乳腺癌患者的临床病理特征及预后因素分析

Analysis of clinicopathological characteristics and prognostic factors in 54 metaplastic breast carcinoma patients from northwest China.

作者信息

Du Jing, Wu Shuhan, Liu Jiayan, Guo Bo, Li Jianhui, Li Wenhan, Zhang Ying, Song Hengtao, Shu Wenjun, Li Zhenzhen, Zhu Xulong

机构信息

Department of Surgical Oncology and Pathology, Shaanxi Provincial People's Hospital, Xian, China.

Department of Pathology, Xijing Hospital of Air Force Medical University, Xi'an, China.

出版信息

Cytojournal. 2024 Sep 18;21:31. doi: 10.25259/Cytojournal_15_2024. eCollection 2024.

Abstract

OBJECTIVE

Metaplastic breast carcinoma (MBC) is a special type of morphologically heterogeneous and aggressively invasive breast cancer. MBC is characterized by the transformation of tumor epithelium into squamous epithelium and/or mesenchymal components, including differentiation into spindle cells, chondrocytes, and osteocytes. Due to its rarity and invasiveness, there is a paucity of research on MBC prognosis. Furthermore, there are currently no treatment guidelines for MBC. This study analyzed the clinicopathological characteristics, immunophenotype, and prognostic features of MBC. Our aim was to better characterize MBC, thereby identifying potential prognostic factors and new treatment methods. Moreover, we also describe an MBC case treated experimentally with anti-vascular targeted therapy.

MATERIAL AND METHODS

We retrospectively analyzed clinical pathological data on 54 female patients with MBC from Shaanxi Provincial People's Hospital and the XiJing Hospital of Air Force Medical University. These cases were diagnosed with MBC between January 1, 2013, and October 1, 2018. All patients were from the northwest region of China. The gross morphological, histological, and immunohistochemical features of MBC were analyzed. Kaplan-Meier analysis was used to calculate the survival rate, and univariate analysis was performed to identify significant prognostic factors. In addition, the treatment of an MBC patient with anti-angiogenic therapy was described, and a relevant literature review was conducted.

RESULTS

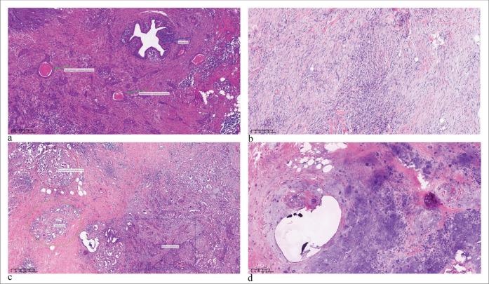
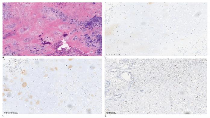
MBC was diagnosed in 32 left breasts and 22 right breasts from 54 women aged 21-76 years (median age of 57 years). The maximum tumor diameter ranged from 0.6 to 14 cm (average of 4.1 cm). Of the 54 patients, 47 underwent surgical treatment, with lymph node metastasis found in 17.0% (8/47). According to the World Health Organization classification criteria for breast tumors, the study cohort consisted of 15 cases of squamous cell carcinoma, ten cases of spindle cell carcinoma, nine cases of carcinoma with associated stromal differentiation, 18 cases of mixed carcinoma, and two cases of adenocarcinoma with squamous differentiation. Based on the American Joint Committee on Cancer clinical staging criteria, the patients were classified as Stage I (10 cases, 18.5%), Stage II (26 cases, 48.1%), Stage III (11 cases, 20.4%), and Stage IV (7 cases, 13.0%). Immunohistochemical analysis revealed that 94.4% of patients had triple-negative breast cancer (TNBC), 47 cases showed mutant tumor protein 53 (TP53) expression, 29 cases showed positive epidermal growth factor receptor (EGFR) expression, 43 cases showed positive E-cadherin expression, and 37 cases showed positive Cluster of Differentiation 24 expression. The Ki-67 index ranged from 20% to 90%. Univariate analysis showed that the Ki-67 index was not significantly associated with either progression-free survival (PFS) or overall survival (OS) in MBC patients. Patients with negative axillary lymph nodes had significantly better PFS and OS than those with positive nodes ( < 0.05), and patients with clinical stage I-II disease had better PFS and OS than those with stage III-IV disease ( < 0.05). Patients treated with anthracycline-containing chemotherapy had significantly better PFS than those who did not receive chemotherapy. Univariate analysis revealed that the high expression of EGFR correlated with worse PFS ( < 0.05). The type of surgical approach employed did not affect the prognosis of MBC patients. Following the application of anti-angiogenic therapy, a rapid partial response was observed in an MBC patient with carcinoma and associated stromal differentiation. This patient subsequently underwent surgery and radiation therapy and has now achieved over 6 years of PFS.

CONCLUSION

MBC is a heterogeneous group of tumors with high malignancy and poor prognosis. The large majority is TNBC and exhibits unique immune phenotypes. The poor PFS of MBC patients may be related to EGFR expression, which could become a potential therapeutic target in these patients. Surgery remains the primary treatment method for MBC. The present study found that sentinel lymph node biopsy was feasible in appropriate patients, and that chemotherapy regimens incorporating anthracycline-class drugs did not appear to improve OS. Anti-angiogenic therapy holds promise as a potentially effective treatment approach for MBC, and the optimization of systemic treatment strategies should be a priority in the management of these patients.

摘要

目的

化生性乳腺癌(MBC)是一种形态学上异质性且侵袭性强的特殊类型乳腺癌。MBC的特征是肿瘤上皮转化为鳞状上皮和/或间充质成分,包括分化为梭形细胞、软骨细胞和骨细胞。由于其罕见性和侵袭性,关于MBC预后的研究较少。此外,目前尚无MBC的治疗指南。本研究分析了MBC的临床病理特征、免疫表型和预后特征。我们的目的是更好地描述MBC,从而确定潜在的预后因素和新的治疗方法。此外,我们还描述了一例接受抗血管靶向治疗的MBC病例。

材料与方法

我们回顾性分析了陕西省人民医院和空军军医大学西京医院54例女性MBC患者的临床病理资料。这些病例于2013年1月1日至2018年10月1日期间被诊断为MBC。所有患者均来自中国西北地区。分析了MBC的大体形态、组织学和免疫组化特征。采用Kaplan-Meier分析计算生存率,并进行单因素分析以确定显著的预后因素。此外,描述了一名MBC患者接受抗血管生成治疗的情况,并进行了相关文献综述。

结果

54例年龄在21 - 76岁(中位年龄57岁)的女性中,32例左侧乳房和22例右侧乳房诊断为MBC。肿瘤最大直径为0.6至14 cm(平均4.1 cm)。54例患者中,47例接受了手术治疗,其中17.0%(8/47)发现有淋巴结转移。根据世界卫生组织乳腺肿瘤分类标准,研究队列包括15例鳞状细胞癌、10例梭形细胞癌、9例伴有间质分化的癌、18例混合癌和2例伴有鳞状分化的腺癌。根据美国癌症联合委员会临床分期标准将患者分为Ⅰ期(10例,18.5%)、Ⅱ期(26例,48.1%)、Ⅲ期(11例,20.4%)和Ⅳ期(7例,13.0%)。免疫组化分析显示,94.4%的患者为三阴性乳腺癌(TNBC),47例显示突变型肿瘤蛋白53(TP53)表达,29例显示表皮生长因子受体(EGFR)阳性表达,43例显示E-钙黏蛋白阳性表达,37例显示分化簇24阳性表达。Ki-67指数范围为20%至90%。单因素分析显示,Ki-67指数与MBC患者的无进展生存期(PFS)或总生存期(OS)均无显著相关性。腋窝淋巴结阴性的患者PFS和OS明显优于阳性患者(P<0.05),临床Ⅰ - Ⅱ期疾病患者的PFS和OS优于Ⅲ - Ⅳ期患者(P<0.05)。接受含蒽环类化疗的患者PFS明显优于未接受化疗的患者。单因素分析显示,EGFR高表达与较差的PFS相关(P<0.05)。所采用的手术方式类型不影响MBC患者的预后。应用抗血管生成治疗后,一名伴有间质分化的MBC癌患者出现快速部分缓解。该患者随后接受了手术和放疗,目前已实现超过6年的PFS。

结论

MBC是一组异质性肿瘤,恶性程度高,预后差。绝大多数为TNBC,并表现出独特的免疫表型。MBC患者较差的PFS可能与EGFR表达有关,这可能成为这些患者潜在的治疗靶点。手术仍然是MBC的主要治疗方法。本研究发现,前哨淋巴结活检在合适的患者中是可行的,并且包含蒽环类药物的化疗方案似乎并未改善OS。抗血管生成治疗有望成为MBC潜在的有效治疗方法,优化全身治疗策略应是这些患者管理的优先事项。

https://cdn.ncbi.nlm.nih.gov/pmc/blobs/f722/11474753/7b36236ef6d8/Cytojournal-21-31-g001.jpg

文献AI研究员

20分钟写一篇综述,助力文献阅读效率提升50倍。

立即体验

用中文搜PubMed

大模型驱动的PubMed中文搜索引擎

马上搜索

文档翻译

学术文献翻译模型,支持多种主流文档格式。

立即体验