Suppr超能文献

周细胞通过IL32-β5-整合素旁分泌信号调节EGFR突变肺癌细胞对第三代酪氨酸激酶抑制剂的敏感性。

Pericytes Modulate Third-Generation Tyrosine Kinase Inhibitor Sensitivity in EGFR-Mutated Lung Cancer Cells Through IL32-β5-Integrin Paracrine Signaling.

作者信息

Huang Cheng, Huang Xi, Qiu Xiaoyi, Kong Xiangzhan, Wu Chunmiao, Jiang Xue, Yao Mingkang, Wang Minghui, Su Liangping, Lv Cui, Wong Ping-Pui

机构信息

Guangdong Provincial Key Laboratory of Malignant Tumor Epigenetics and Gene Regulation, Guangdong-Hong Kong Joint Laboratory for RNA Medicine, Sun Yat-sen Memorial Hospital, Sun Yat-sen University, Guangzhou, 510120, China.

Medical Research Center, Sun Yat-sen Memorial Hospital, Sun Yat-sen University, Guangzhou, 510120, China.

出版信息

Adv Sci (Weinh). 2024 Dec;11(46):e2405130. doi: 10.1002/advs.202405130. Epub 2024 Oct 22.

Abstract

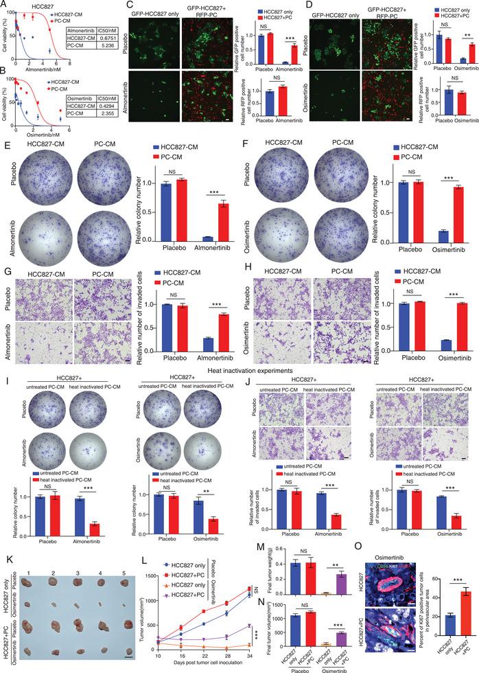
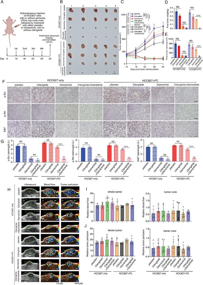
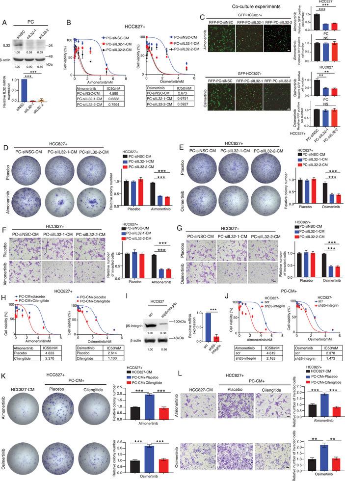
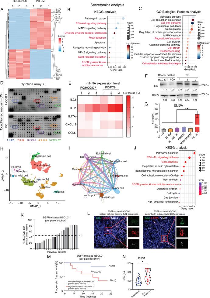
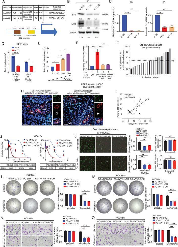
EGFR-mutated lung cancer patients sometimes display restricted responses to third-generation tyrosine kinase inhibitors (TKIs), potentially attributable to undervalued input from stromal cells, notably pericytes (PCs). The study shows that PCs isolated from EGFR-mutated patients have a unique secretome profile, notably secreting IL32 and affecting signaling pathways and biological processes linked to TKI sensitivity. Clinical evidence, supported by single-cell RNA sequencing and multiplex immunostaining of tumor tissues, confirms the presence of IL32-expressing pericytes closely interacting with β5-integrin-expressing cancer cells in EGFR-mutated patients, impacting therapeutic response and prognosis. Co-culture and conditioned medium experiments demonstrate that PCs reduce TKI effectiveness in EGFR-mutated cancer cells, a reversible phenomenon through silencing IL32 expression in PCs or depleting the IL32 receptor β5-integrin on cancer cells, thereby restoring cancer cell sensitivity. Mechanistically, it is shown that YY1 signaling upregulates IL32 secretion in PCs, subsequently activating the β5-integrin-Src-Akt pathway in EGFR-mutated cancer cells, contributing to their TKI sensitivity. In animal studies, co-injection of cancer cells with PCs compromises TKI effectiveness, independently of blood vessel functions, while inhibition of β5-integrin restores tumor cell sensitivity. Overall, the findings highlight direct crosstalk between cancer cells and pericytes, impacting TKI sensitivity via IL32-β5-integrin paracrine signaling, proposing an enhanced therapeutic approach for EGFR-mutated patients.

摘要

表皮生长因子受体(EGFR)突变的肺癌患者有时对第三代酪氨酸激酶抑制剂(TKIs)反应有限,这可能归因于基质细胞(尤其是周细胞,PCs)的作用被低估。该研究表明,从EGFR突变患者中分离出的周细胞具有独特的分泌蛋白谱,尤其会分泌白细胞介素32(IL32),并影响与TKI敏感性相关的信号通路和生物学过程。肿瘤组织的单细胞RNA测序和多重免疫染色支持的临床证据证实,在EGFR突变患者中,表达IL32的周细胞与表达β5整合素的癌细胞紧密相互作用,影响治疗反应和预后。共培养和条件培养基实验表明,周细胞会降低EGFR突变癌细胞中TKI的有效性,这是一种可逆现象,可通过沉默周细胞中的IL32表达或耗尽癌细胞上的IL32受体β5整合素来实现,从而恢复癌细胞的敏感性。从机制上讲,研究表明YY1信号上调周细胞中IL32的分泌,随后激活EGFR突变癌细胞中的β5整合素-Src-Akt途径,导致其对TKI敏感。在动物研究中,将癌细胞与周细胞共同注射会损害TKI的有效性,这与血管功能无关,而抑制β5整合素可恢复肿瘤细胞的敏感性。总体而言,这些发现突出了癌细胞与周细胞之间的直接相互作用,通过IL32-β5整合素旁分泌信号影响TKI敏感性,为EGFR突变患者提出了一种强化治疗方法。

https://cdn.ncbi.nlm.nih.gov/pmc/blobs/a81c/11633494/5f6447bfa9da/ADVS-11-2405130-g004.jpg

文献AI研究员

20分钟写一篇综述,助力文献阅读效率提升50倍。

立即体验

用中文搜PubMed

大模型驱动的PubMed中文搜索引擎

马上搜索

文档翻译

学术文献翻译模型,支持多种主流文档格式。

立即体验