Suppr超能文献

A到I编辑的miR-1251-5p通过调节TCF7介导的Wnt信号通路抑制肺腺癌的肿瘤生长和转移。

A-to-I-edited miR-1251-5p restrains tumor growth and metastasis in lung adenocarcinoma through regulating TCF7-mediated Wnt signaling pathway.

作者信息

Xu Shuhua, Zhou Guoping, He Qiyu, Ding Junning, Liu Xiaoli, Cheng Youshuang, Shen Yaqing

机构信息

Department of Cardiothoracic Surgery, Dongtai Hospital of Traditional Chinese Medicine, Dongtai, 224200, Jiangsu, China.

Department of Pathology, Dongtai Hospital of Traditional Chinese Medicine, Dongtai, 224200, Jiangsu, China.

出版信息

Discov Oncol. 2024 Oct 24;15(1):587. doi: 10.1007/s12672-024-01462-7.

Abstract

BACKGROUND

RNA editing from A (adenine nucleotide) to I (hypoxanthine nucleotide) mediated by ADARs has attracted more and more attention as an important post-transcriptional processing method. This research investigates the regulatory mechanism of A-to-I-edited miR-1251-5p in lung adenocarcinoma (LUAD).

METHODS

RT-qPCR, Western blot, and Immunohistochemistry assays measured miRNA and gene expression. Colony formation, CCK-8, Transwell, Wound-healing, and Animal assays were used to determine MiRNA function. Luciferase reporter assay tested miRNA downstream target.

RESULTS

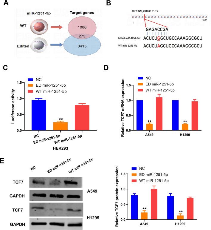
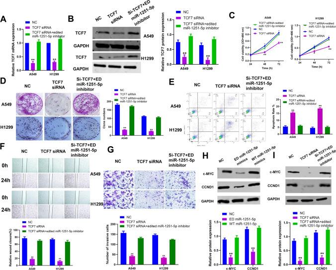
ADAR1 increased the A-to-I editing efficiency of miR-1251-5p in LUAD cells. In comparison to the unedited wild-type form, edited miR-1251-5p exhibits a marked inhibition of tumor growth and metastasis in LUAD. Moreover, knockdown of TCF7 also exhibits tumor inhibitory effect in LUAD development. Mechanically, edited miR-1251-5p inactivates Wnt signaling pathway by inhibiting TCF7, MYC, and CCND1 expression.

CONCLUSION

Compared with original miR-1251-5p, edited miR-1251-5p has stronger anti-cancer effect on LUAD development through inactivating Wnt signaling pathway by inhibiting TCF7.

摘要

背景

由腺苷脱氨酶(ADARs)介导的从A(腺嘌呤核苷酸)到I(次黄嘌呤核苷酸)的RNA编辑作为一种重要的转录后加工方式,已越来越受到关注。本研究探讨A到I编辑的miR-1251-5p在肺腺癌(LUAD)中的调控机制。

方法

采用逆转录定量聚合酶链反应(RT-qPCR)、蛋白质免疫印迹法(Western blot)和免疫组织化学分析检测微小RNA(miRNA)和基因表达。采用集落形成实验、细胞计数试剂盒-8(CCK-8)实验、Transwell实验、伤口愈合实验和动物实验来确定miRNA的功能。荧光素酶报告基因实验检测miRNA的下游靶点。

结果

ADAR1提高了LUAD细胞中miR-1251-5p的A到I编辑效率。与未编辑的野生型形式相比,编辑后的miR-1251-5p对LUAD的肿瘤生长和转移具有显著的抑制作用。此外,敲低转录因子7(TCF7)在LUAD发展中也表现出肿瘤抑制作用。机制上,编辑后的miR-1251-5p通过抑制TCF7、原癌基因(MYC)和细胞周期蛋白D1(CCND1)的表达使Wnt信号通路失活。

结论

与原始的miR-1251-5p相比,编辑后的miR-1251-5p通过抑制TCF7使Wnt信号通路失活,对LUAD的发展具有更强的抗癌作用。

https://cdn.ncbi.nlm.nih.gov/pmc/blobs/f83a/11502620/78d9561795cd/12672_2024_1462_Fig1_HTML.jpg

文献AI研究员

20分钟写一篇综述,助力文献阅读效率提升50倍。

立即体验

用中文搜PubMed

大模型驱动的PubMed中文搜索引擎

马上搜索

文档翻译

学术文献翻译模型,支持多种主流文档格式。

立即体验