Suppr超能文献

()-5-羟基-7-甲氧基-3-(2-羟基苄基)-4-色原酮,一种主要的异黄酮类化合物,通过激活 HepG2 细胞中的 AMPK 和 PPARα 通路来减轻游离脂肪酸诱导的肝脂肪变性。

()-5-hydroxy-7-methoxy-3-(2-hydroxybenzyl)-4-chromanone, a Major Homoisoflavonoid, Attenuates Free Fatty Acid-Induced Hepatic Steatosis by Activating AMPK and PPARα Pathways in HepG2 Cells.

机构信息

Department of Hotel Baking Technology, Busan Health University, Busan 49318, Republic of Korea.

Department of Food Science and Nutrition, Pusan National University, Busan 46241, Republic of Korea.

出版信息

Nutrients. 2024 Oct 14;16(20):3475. doi: 10.3390/nu16203475.

Abstract

BACKGROUND

()-5-hydroxy-7-methoxy-3-(2-hydroxybenzyl)-4-chromanone (HMC), a homoisoflavonoid isolated from , has significant anti-adipogenesis potential; it regulates adipogenic transcription factors. However, whether HMC improves hepatic steatosis in hepatocytes remains vague. This study investigated whether HMC ameliorates hepatic steatosis in free fatty acid-treated human hepatocellular carcinoma (HepG2) cells, and if so, its mechanism of action was analyzed.

METHODS

Hepatic steatosis was induced by a free fatty acid mixture in HepG2 cells. Thereafter, different HMC concentrations (10, 30, and 50 µM) or fenofibrate (10 µM, a PPARα agonist, positive control) was treated in HepG2 cells.

RESULTS

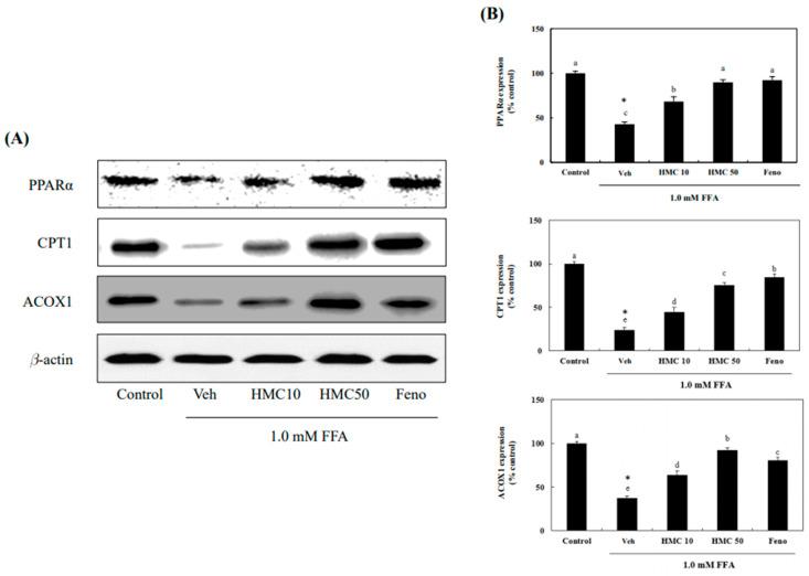
HMC markedly decreased lipid accumulation and triglyceride content in free fatty acid-treated HepG2 cell; it (10 and 50 μM) markedly upregulated protein expressions of pAMP-activated protein kinase (AMPK) and acetyl-CoA carboxylase. HMC (10 and 50 μM) markedly inhibited the expression of sterol regulatory element-binding protein-1c, fatty acid synthase, and stearoyl-coA desaturase 1, which are the enzymes involved in lipid synthesis. Furthermore, HMC (10 and 50 μM) markedly upregulated the protein expression of peroxisome proliferator-activated receptor alpha (PPARα) and enhanced the protein expressions of carnitine palmitoyl transferase 1 and acyl-CoA oxidase 1.

CONCLUSION

HMC inhibits lipid accumulation and promotes fatty acid oxidation by AMPK and PPARα pathways in free fatty acid-treated HepG2 cells, thereby attenuating hepatic steatosis.

摘要

背景

()-5-羟基-7-甲氧基-3-(2-羟基苄基)-4-色满酮(HMC),一种从当归中分离出的同型异黄酮,具有显著的抗脂肪生成潜力;它调节脂肪生成转录因子。然而,HMC 是否能改善脂肪性肝病患者的肝脂肪变性尚不清楚。本研究旨在探讨 HMC 是否能改善游离脂肪酸处理的人肝癌细胞(HepG2)中的肝脂肪变性,并分析其作用机制。

方法

用游离脂肪酸混合物诱导 HepG2 细胞发生肝脂肪变性。然后,用不同浓度的 HMC(10、30 和 50 μM)或非诺贝特(10 μM,PPARα 激动剂,阳性对照)处理 HepG2 细胞。

结果

HMC 显著减少游离脂肪酸处理的 HepG2 细胞中的脂质积累和甘油三酯含量;它(10 和 50 μM)显著上调磷酸腺苷激活蛋白激酶(AMPK)和乙酰辅酶 A 羧化酶的蛋白表达。HMC(10 和 50 μM)显著抑制固醇调节元件结合蛋白-1c、脂肪酸合酶和硬脂酰辅酶 A 去饱和酶 1 的表达,这些酶参与脂质合成。此外,HMC(10 和 50 μM)显著上调过氧化物酶体增殖物激活受体α(PPARα)的蛋白表达,并增强肉碱棕榈酰转移酶 1 和酰基辅酶 A 氧化酶 1 的蛋白表达。

结论

HMC 通过 AMPK 和 PPARα 途径抑制游离脂肪酸处理的 HepG2 细胞中的脂质积累并促进脂肪酸氧化,从而减轻肝脂肪变性。

https://cdn.ncbi.nlm.nih.gov/pmc/blobs/ee04/11510552/21cc417f414b/nutrients-16-03475-g001.jpg

文献AI研究员

20分钟写一篇综述,助力文献阅读效率提升50倍。

立即体验

用中文搜PubMed

大模型驱动的PubMed中文搜索引擎

马上搜索

文档翻译

学术文献翻译模型,支持多种主流文档格式。

立即体验