Suppr超能文献

EphA2通过调节细胞连接蛋白磷酸化来调控血管通透性和前列腺癌转移。

EphA2 regulates vascular permeability and prostate cancer metastasis via modulation of cell junction protein phosphorylation.

作者信息

Offenhäuser Carolin, Dave Keyur A, Beckett Kirrilee J, Smith Fiona M, Jayakody Buddhika A, Cooper Leanne T, Agyei-Yeboah Helen, McCarron Jennifer K, Li Yuchen, Bastick Kate, Al-Ejeh Fares, Cullen Jason K, Coulthard Mark G, Gorman Jeffrey J, Boyd Andrew W, Day Bryan W

机构信息

Cancer Program, QIMR Berghofer Medical Research Institute, Brisbane, QLD, 4006, Australia.

Protein Discovery Center, QIMR Berghofer Medical Research Institute, Brisbane, QLD, 4006, Australia.

出版信息

Oncogene. 2025 Feb;44(4):208-227. doi: 10.1038/s41388-024-03206-x. Epub 2024 Nov 7.

Abstract

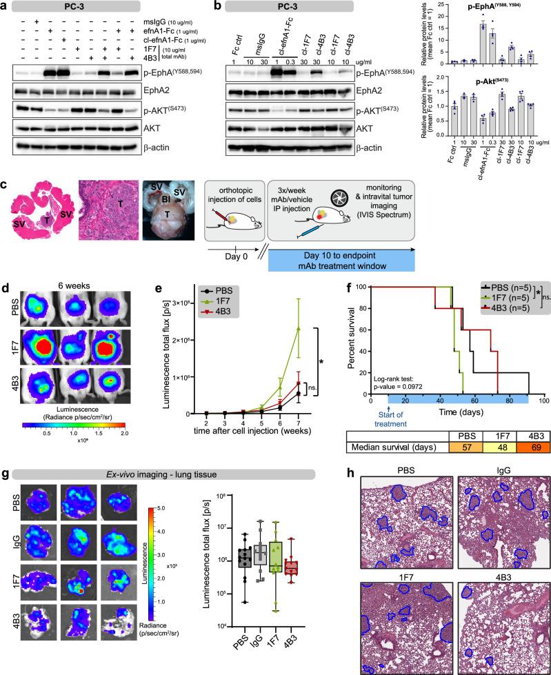
Prostate cancer morbidity and mortality demonstrate a need for more effective targeted therapies. One potential target is EphA2, although paradoxically, pro- and anti-oncogenic effects have been shown to be mediated by EphA2. We demonstrate that unique activating and blocking EphA2-targeting monoclonal antibodies display opposing tumor-suppressive and oncogenic properties in vivo. To further explore this complexity, we performed detailed phosphoproteomic analysis following ligand-induced EphA2 activation. Our analysis identified altered phosphorylation of 73 downstream proteins related to the PI3K/AKT/mTOR and ERK/MAPK pathways, with the majority implicated in cell junction and cytoskeletal organization, cell motility, and tumor metastasis. We demonstrate that the adapter protein SHB is an essential component in mediating the inhibition of the ERK/MAPK pathway in response to EphA2 receptor activation. Furthermore, we identify the adherence junction protein afadin as an EphA2-regulated phosphoprotein which is involved in prostate cancer migration and invasion.

摘要

前列腺癌的发病率和死亡率表明需要更有效的靶向治疗。一个潜在的靶点是EphA2,尽管矛盾的是,EphA2已被证明可介导促癌和抑癌作用。我们证明,独特的激活型和阻断型靶向EphA2单克隆抗体在体内表现出相反的肿瘤抑制和致癌特性。为了进一步探究这种复杂性,我们在配体诱导的EphA2激活后进行了详细的磷酸化蛋白质组分析。我们的分析确定了73种与PI3K/AKT/mTOR和ERK/MAPK通路相关的下游蛋白的磷酸化改变,其中大多数与细胞连接和细胞骨架组织、细胞运动及肿瘤转移有关。我们证明衔接蛋白SHB是介导EphA2受体激活后对ERK/MAPK通路抑制作用的重要组成部分。此外,我们确定黏附连接蛋白afadin是一种EphA2调节的磷酸化蛋白,它参与前列腺癌的迁移和侵袭。

https://cdn.ncbi.nlm.nih.gov/pmc/blobs/1bcc/11753358/661f8fb33992/41388_2024_3206_Fig1_HTML.jpg

文献AI研究员

20分钟写一篇综述,助力文献阅读效率提升50倍。

立即体验

用中文搜PubMed

大模型驱动的PubMed中文搜索引擎

马上搜索

文档翻译

学术文献翻译模型,支持多种主流文档格式。

立即体验