Suppr超能文献

CGRP 家族受体和配体在大鼠三叉神经系统中表达的性别差异。

Sex differences in expression of CGRP family of receptors and ligands in the rat trigeminal system.

机构信息

Department of Clinical Sciences, Division of Experimental Vascular Research, Lund University, Lund, Sweden.

出版信息

J Headache Pain. 2024 Nov 8;25(1):193. doi: 10.1186/s10194-024-01893-1.

Abstract

BACKGROUND

Calcitonin gene-related peptide (CGRP) is part of the calcitonin peptide family, which includes calcitonin (CT), amylin (AMY), and adrenomedullin (ADM). CGRP and its receptor are highly present in the trigeminovascular system (TVS). Recent research suggests that other members of the calcitonin family could be feasible therapeutic targets in the treatment of migraine. The present study aims to elucidate the distribution of ADM, AMY, CT, and their receptors in the rat TVS, and to explore potential sex differences in their expression.

METHODS

Trigeminal ganglia (TG) were dissected from male and female adult rats. Protein and gene expression were assessed through immunohistochemistry and RT-qPCR. Additionally, the dura mater was isolated for further investigation of protein expression and fiber localization using immunohistochemistry.

RESULTS

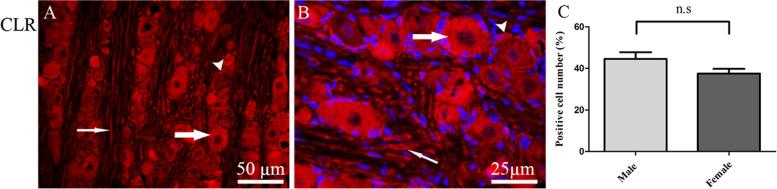
Quantitative gene expression analysis revealed the presence of all genes in male and female TGs, except for calcitonin receptor (CTR). Notably, CGRP mRNA levels in TG were several folds higher than those of other genes. The receptor activity-modifying protein-1 (RAMP1) mRNA levels were significantly higher in female compared to male. No AMY or CT immunoreactivity was observed in the TVS. In contrast, immunoreactivity for ADM, CGRP, RAMP1, CTR, and calcitonin-like receptor (CLR) were observed in the cytoplasm of TG neurons. Immunoreactive Aδ-fibers storing RAMP1, ADM and CLR were also identified. RAMP2 and RAMP3 were expressed in nucleus of TG neurons and in satellite glial cells. Furthermore, RAMP1 and CLR were co-localized with CASPR in the nodes of Ranvier located in Aδ-fibers.

CONCLUSIONS

This study provides valuable insights into the distribution of the CGRP family of peptides and their receptors in the TVS. CGRP mRNA levels in the TG were markedly higher than those of other genes, demonstrating the key role of CGRP. The co-localization of CLR and RAMP1 on Aδ-fibers with CASPR suggests a potential role for this receptor in modulating trigeminal nerve function and neuronal excitability, with implications for migraine pathophysiology. Additionally, RAMP1 mRNA levels were significantly higher in female TG compared to males, indicating sex-specific differences in gene expression. These findings underscore the need for further research into the functional significance of gender-related variations.

摘要

背景

降钙素基因相关肽(CGRP)是降钙素肽家族的一部分,该家族还包括降钙素(CT)、胰岛淀粉样多肽(AMY)和肾上腺髓质素(ADM)。CGRP 及其受体在三叉神经血管系统(TVS)中高度存在。最近的研究表明,降钙素家族的其他成员可能是治疗偏头痛的可行治疗靶点。本研究旨在阐明 ADM、AMY、CT 及其受体在大鼠 TVS 中的分布,并探讨其表达的潜在性别差异。

方法

从雄性和雌性成年大鼠中分离出三叉神经节(TG)。通过免疫组织化学和 RT-qPCR 评估蛋白质和基因表达。此外,还分离了硬脑膜,进一步使用免疫组织化学研究蛋白质表达和纤维定位。

结果

定量基因表达分析显示,除了降钙素受体(CTR)外,所有基因均存在于雄性和雌性 TG 中。值得注意的是,TG 中 CGRP mRNA 水平比其他基因高几个数量级。与雄性相比,受体活性修饰蛋白-1(RAMP1)mRNA 水平显著升高。在 TVS 中未观察到 AMY 或 CT 的免疫反应性。相反,ADM、CGRP、RAMP1、CTR 和降钙素样受体(CLR)的免疫反应性在 TG 神经元的细胞质中观察到。还鉴定了储存 RAMP1、ADM 和 CLR 的 Aδ-纤维的免疫反应性。RAMP2 和 RAMP3 在 TG 神经元的核中和卫星神经胶质细胞中表达。此外,RAMP1 和 CLR 与位于 Aδ-纤维中的Ranvier 结处的 CASPR 共定位。

结论

本研究提供了有关 CGRP 家族肽及其受体在 TVS 中的分布的有价值的见解。TG 中的 CGRP mRNA 水平明显高于其他基因,表明 CGRP 具有关键作用。CLR 和 RAMP1 在具有 CASPR 的 Aδ-纤维上的共定位表明该受体在调节三叉神经功能和神经元兴奋性方面可能发挥作用,这对偏头痛发病机制具有重要意义。此外,与雄性相比,雌性 TG 中的 RAMP1 mRNA 水平显著升高,表明基因表达存在性别特异性差异。这些发现强调了需要进一步研究性别相关变化的功能意义。

https://cdn.ncbi.nlm.nih.gov/pmc/blobs/1326/11545840/5e5a39ed2ecf/10194_2024_1893_Fig1_HTML.jpg

文献AI研究员

20分钟写一篇综述,助力文献阅读效率提升50倍。

立即体验

用中文搜PubMed

大模型驱动的PubMed中文搜索引擎

马上搜索

文档翻译

学术文献翻译模型,支持多种主流文档格式。

立即体验