Suppr超能文献

催乳素缺乏通过诱导小胶质细胞介导的突触丢失导致与糖尿病相关的认知功能障碍。

Prolactin deficiency drives diabetes-associated cognitive dysfunction by inducing microglia-mediated synaptic loss.

机构信息

Department of Endocrinology, Endocrine and Metabolic Disease Medical Center, Affiliated Hospital of Medical School, Nanjing Drum Tower Hospital, Nanjing University, Nanjing, China.

Branch of National Clinical Research Centre for Metabolic Diseases, Nanjing, China.

出版信息

J Neuroinflammation. 2024 Nov 14;21(1):295. doi: 10.1186/s12974-024-03289-z.

Abstract

BACKGROUND

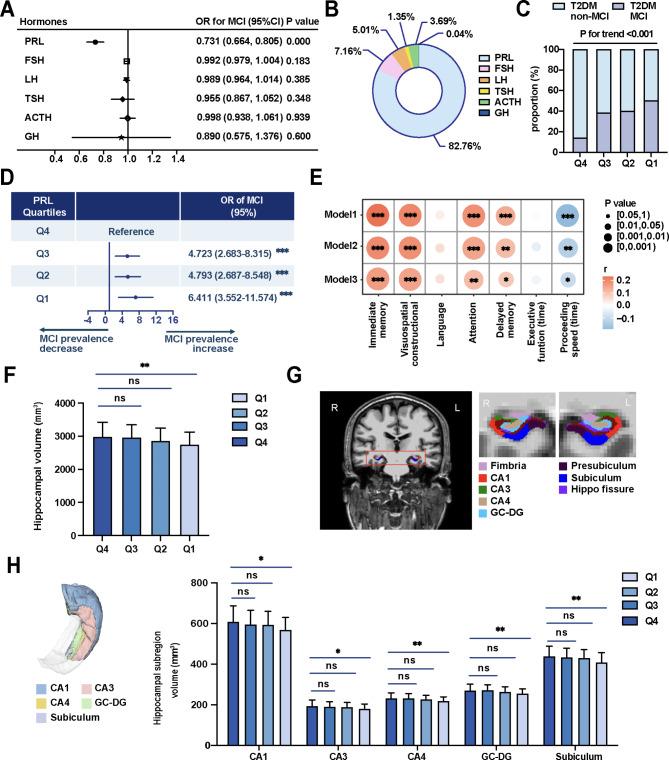
Diabetes-associated cognitive dysfunction, characterized by hippocampal synaptic loss as an early pathological feature, seriously threatens patients' quality of life. Synapses are dynamic structures, and hormones play important roles in modulating the formation and elimination of synapses. The pituitary, the master gland of the body, releases several hormones with multiple roles in hippocampal synaptic regulation. In this study, we aimed to explore the relationship between pituitary hormones and cognitive decline in diabetes.

METHODS

A total of 744 patients with type 2 diabetes (T2DM) (445 men and 299 postmenopausal women) who underwent serum pituitary hormone level assessments, comprehensive cognitive evaluations and MRI scans were enrolled. Dynamic diet interventions were applied in both chow diet-fed mice and high-fat diet (HFD)-fed diabetic mice. The cognitive performance and hippocampal pathology of prolactin (PRL)-knockout mice, neuronal prolactin receptor (PRLR)-specific knockout mice and microglial PRLR-specific knockout mice were assessed. Microglial PRLR-specific knockout mice were fed an HFD to model diabetes. Diabetic mice received an intracerebroventricular infusion of recombinant PRL protein or vehicle.

RESULTS

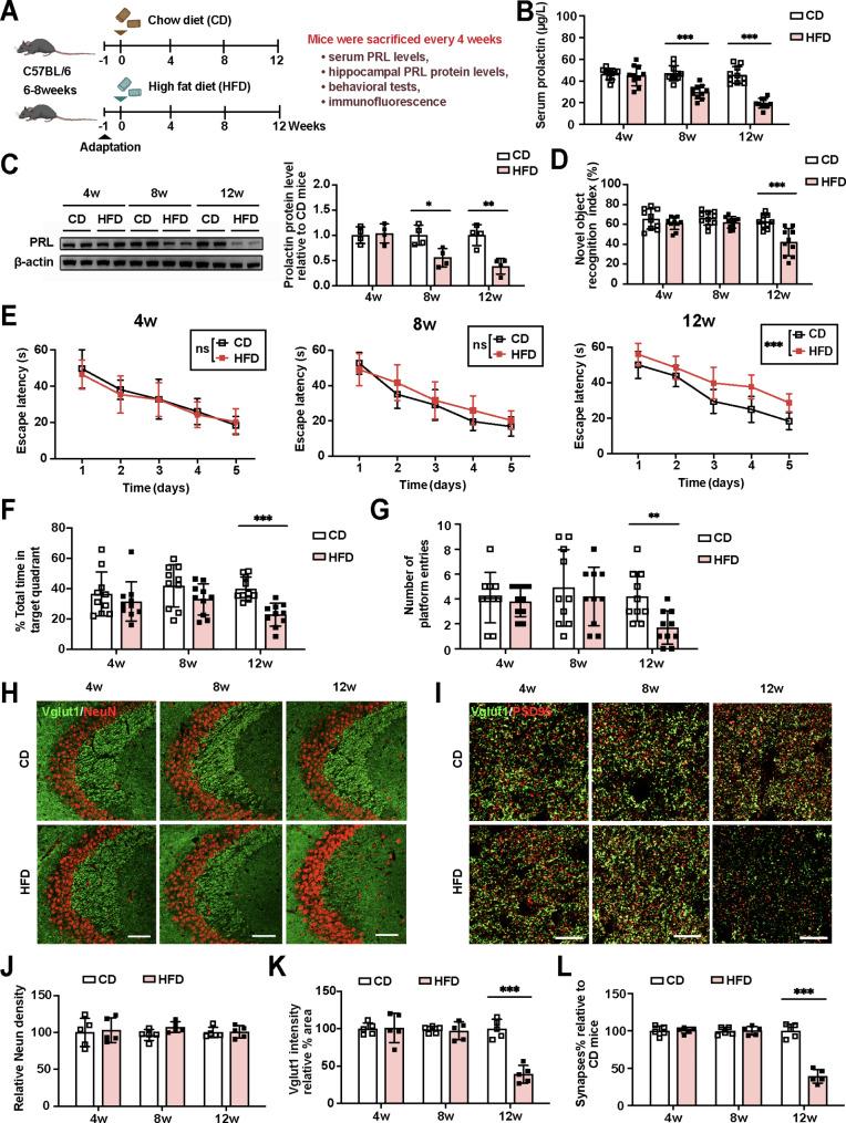
This clinical study revealed that decreased PRL levels were associated with cognitive impairment and hippocampal damage in T2DM patients. In diabetic mice, PRL levels diminished before hippocampal synaptic loss and cognitive decline occurred. PRL loss could directly cause cognitive dysfunction and decreased hippocampal synaptic density. Knockout of PRLR in microglia, rather than neurons, induced hippocampal synaptic loss and cognitive impairment. Furthermore, blockade of PRL/PRLR signaling in microglia exacerbated abnormal microglial phagocytosis of synapses, further aggravating hippocampal synaptic loss and cognitive impairment in diabetic mice. Moreover, PRL infusion reduced microglia-mediated synaptic loss, thereby alleviating cognitive impairment in diabetic mice.

CONCLUSION

PRL is associated with cognitive dysfunction and hippocampal damage in T2DM patients. In diabetes, a decrease in PRL level drives hippocampal synaptic loss and cognitive impairment by increasing microglia-mediated synapse engulfment. Restoration of PRL levels ameliorates cognitive dysfunction and hippocampal synaptic loss in diabetic mice.

摘要

背景

糖尿病相关认知功能障碍的特征是海马突触丢失,作为早期的病理特征,严重威胁着患者的生活质量。突触是动态结构,激素在调节突触的形成和消除中起着重要作用。垂体作为身体的主要腺体,分泌多种具有调节海马突触作用的激素。在这项研究中,我们旨在探讨垂体激素与糖尿病认知衰退的关系。

方法

共纳入 744 例 2 型糖尿病(T2DM)患者(445 名男性和 299 名绝经后女性),他们接受了血清垂体激素水平评估、全面认知评估和 MRI 扫描。在正常饮食喂养的小鼠和高脂肪饮食(HFD)喂养的糖尿病小鼠中进行了动态饮食干预。评估了催乳素(PRL)敲除小鼠、神经元 PRL 受体(PRLR)特异性敲除小鼠和小胶质细胞 PRLR 特异性敲除小鼠的认知表现和海马病理学。小胶质细胞 PRLR 特异性敲除小鼠接受 HFD 喂养以模拟糖尿病。糖尿病小鼠接受重组 PRL 蛋白或载体的脑室内输注。

结果

这项临床研究表明,PRL 水平降低与 T2DM 患者的认知障碍和海马损伤有关。在糖尿病小鼠中,PRL 水平在海马突触丢失和认知功能下降之前下降。PRL 丢失可直接导致认知功能障碍和海马突触密度降低。小胶质细胞而非神经元中 PRLR 的缺失导致海马突触丢失和认知障碍。此外,小胶质细胞中 PRL/PRLR 信号的阻断加剧了异常小胶质细胞对突触的吞噬作用,进一步加重了糖尿病小鼠的海马突触丢失和认知障碍。此外,PRL 输注减少了小胶质细胞介导的突触丢失,从而缓解了糖尿病小鼠的认知障碍。

结论

PRL 与 T2DM 患者的认知功能障碍和海马损伤有关。在糖尿病中,PRL 水平的降低通过增加小胶质细胞介导的突触吞噬作用导致海马突触丢失和认知障碍。恢复 PRL 水平可改善糖尿病小鼠的认知功能障碍和海马突触丢失。

https://cdn.ncbi.nlm.nih.gov/pmc/blobs/f316/11566644/76ae2c489b92/12974_2024_3289_Fig4_HTML.jpg

文献AI研究员

20分钟写一篇综述,助力文献阅读效率提升50倍。

立即体验

用中文搜PubMed

大模型驱动的PubMed中文搜索引擎

马上搜索

文档翻译

学术文献翻译模型,支持多种主流文档格式。

立即体验