Suppr超能文献

慢性紊乱血流通过DNA甲基转移酶依赖性的内皮-间充质转化诱导易发生浅表糜烂的病变。

Chronic Disturbed Flow Induces Superficial Erosion-Prone Lesion via Endothelial-to-Mesenchymal Transition in a DNA Methyltransferase-Dependent Manner.

作者信息

Tang Caiying, Shi Guoxia, Jia Ruyi, Pei Xueying, Wang Chao, Du Zhuo, Li Song, Wan Pingping, Sun Sibo, Peng Cong, Li Shuang, Sun Ping, Yu Bo, Dai Jiannan

机构信息

Department of Cardiology, the 2nd Affiliated Hospital of Harbin Medical University.

The Key Laboratory of Myocardial Ischemia, Chinese Ministry of Education.

出版信息

J Atheroscler Thromb. 2025 May 1;32(5):608-629. doi: 10.5551/jat.64990. Epub 2024 Nov 15.

Abstract

AIM

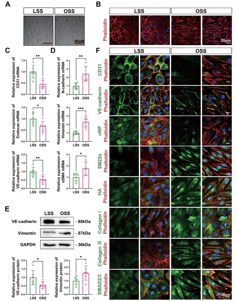
Superficial erosion accounts for approximately one-third of all cases of acute coronary syndrome (ACS). Previously, we found that a nearby bifurcation is independently associated with superficial erosion; however, the effect of long-term oscillatory flow on superficial erosion remains unexplored. Endothelial-to-mesenchymal transition (EndMT) is a dynamic process in which endothelial cells acquire mesenchymal properties and, in turn, give rise to smooth muscle cell (SMC)-like cells and extracellular matrix (ECM) accumulation, similar to the autopsy pathology of superficial erosion. This finding prompted us to suspect that EndMT plays a role in the effect of chronic oscillatory flow on superficial erosion.

METHODS

We established oscillatory flow in mouse carotid arteries and analyzed neointimal hyperplasia, endothelial continuity, ECM content, and EndMT markers 4 weeks later. Furthermore, bioinformatic data analyses and in vitro studies were performed to elucidate the underlying mechanisms.

RESULTS

Carotid arteries exposed to long-term oscillatory flow exhibited hyperplastic neointima, reduced endothelial continuity, and increased SMC-like cells and ECM, indicating superficial erosion-prone lesions. In addition, oscillatory flow significantly induced EndMT, whereas inhibition of EndMT ameliorated the formation of superficial erosion-prone lesions. Bioinformatic data analyses and in vitro studies showed a remarkable reduction in anti-EndMT KLF2 and KLF4 in a DNA methyltransferase (DNMT)-dependent manner, and the suppression of DNMTs attenuated oscillatory flow-induced EndMT and superficial erosion-prone lesions.

CONCLUSIONS

Chronic oscillatory flow causes superficial erosion-prone lesions by activating EndMT in a DNMT-dependent manner. Our findings highlight a promising therapeutic strategy for the prevention of superficial erosions.

摘要

目的

浅表糜烂约占急性冠状动脉综合征(ACS)所有病例的三分之一。此前,我们发现附近的分叉与浅表糜烂独立相关;然而,长期振荡血流对浅表糜烂的影响仍未得到探索。内皮向间充质转化(EndMT)是一个动态过程,在此过程中内皮细胞获得间充质特性,进而产生平滑肌细胞(SMC)样细胞和细胞外基质(ECM)积聚,类似于浅表糜烂的尸检病理。这一发现促使我们怀疑EndMT在慢性振荡血流对浅表糜烂的影响中起作用。

方法

我们在小鼠颈动脉中建立振荡血流,并在4周后分析新生内膜增生、内皮连续性、ECM含量和EndMT标志物。此外,进行了生物信息数据分析和体外研究以阐明潜在机制。

结果

暴露于长期振荡血流的颈动脉表现出增生性新生内膜、内皮连续性降低以及SMC样细胞和ECM增加,表明易发生浅表糜烂的病变。此外,振荡血流显著诱导EndMT,而抑制EndMT可改善易发生浅表糜烂病变的形成。生物信息数据分析和体外研究表明,抗EndMT的KLF2和KLF4以DNA甲基转移酶(DNMT)依赖的方式显著减少,抑制DNMT可减弱振荡血流诱导的EndMT和易发生浅表糜烂的病变。

结论

慢性振荡血流通过以DNMT依赖的方式激活EndMT导致易发生浅表糜烂的病变。我们的发现突出了一种有前景的预防浅表糜烂的治疗策略。

https://cdn.ncbi.nlm.nih.gov/pmc/blobs/f211/12055510/c5a9df0e1d8d/32_64990_2.jpg

文献AI研究员

20分钟写一篇综述,助力文献阅读效率提升50倍。

立即体验

用中文搜PubMed

大模型驱动的PubMed中文搜索引擎

马上搜索

文档翻译

学术文献翻译模型,支持多种主流文档格式。

立即体验