Suppr超能文献

FABP7缺乏引发特发性头围正常自闭症类器官的过早神经分化。

Deficiency of FABP7 Triggers Premature Neural Differentiation in Idiopathic Normocephalic Autism Organoids.

作者信息

Han Xiao, He Yuanlin, Wang Yuanhao, Hu Wenzhu, Chu Chu, Huang Lei, Hong Yuan, Han Lu, Zhang Xu, Gao Yao, Lin Yuan, Ma Hongxia, Shen Hongbing, Ke Xiaoyan, Liu Yan, Hu Zhibin

机构信息

Interdisciplinary Inno Center for Organoids, State Key Laboratory of Reproductive Medicine and Offspring Health, Nanjing Medical University, Nanjing, 211166, China.

Institute of Stem Cell and Neural Regeneration, School of Pharmacy, Nanjing Medical University, Nanjing, 211166, China.

出版信息

Adv Sci (Weinh). 2025 Jan;12(2):e2406849. doi: 10.1002/advs.202406849. Epub 2024 Nov 18.

Abstract

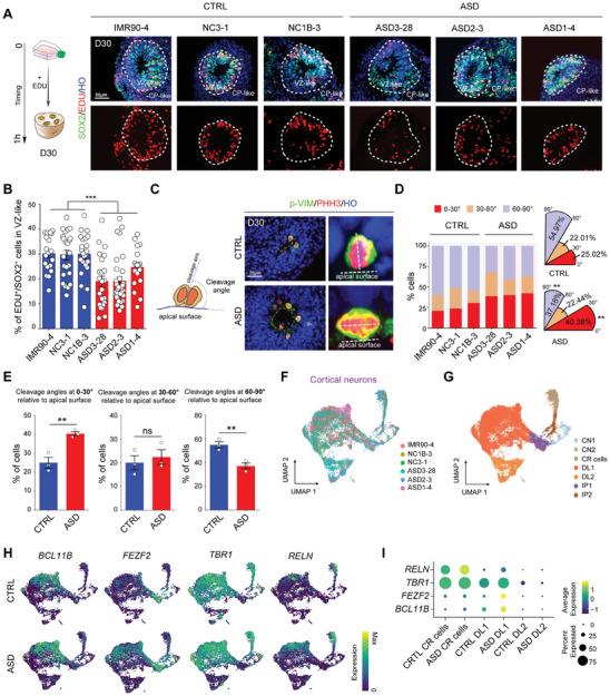
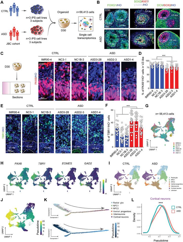
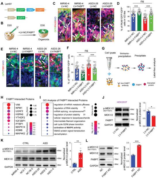
Autism spectrum disorder (ASD), which is caused by heterogeneous genetic and environmental factors, is characterized by diverse clinical phenotypes linked to distinct pathological mechanisms. ASD individuals with a shared clinical phenotype might contribute to revealing the molecular mechanism underlying ASD progression. Here, it is generated induced pluripotent stem cell (iPSC)-derived cerebral organoids from normocephalic individuals with ASD in a prospective birth cohort with a shared clinical diagnosis. Multiple cell lines and time series scRNA-seq combined with a histomorphological analysis revealed premature neural differentiation of neural stem cells (NSCs) and decreased expression of Fatty acid binding protein 7 (FABP7) in ASD organoids. It is subsequently revealed alterations in the phosphorylation levels of Mitogen-Activated Protein Kinase Kinase 1/2 (MEK1/2), which are downstream of FABP7, and the regulation of the FABP7/MEK pathway reversed improper neural differentiation in the ASD organoids. Moreover, both Fabp7-knockdown and MEK2-overexpressing mice exhibited repetitive stereotyped behaviors and social defects relevant to autism. This study reveals the role of the FABP7/MEK pathway in abnormal NSC differentiation in normocephalic individuals with ASD, which might provide a promising therapeutic target for ASD treatment.

摘要

自闭症谱系障碍(ASD)由多种遗传和环境因素引起,其特征是与不同病理机制相关的多样临床表型。具有共同临床表型的ASD个体可能有助于揭示ASD进展的分子机制。在此,我们从一个具有共同临床诊断的前瞻性出生队列中,从患有ASD的头部正常个体中生成了诱导多能干细胞(iPSC)来源的脑类器官。多种细胞系和时间序列单细胞RNA测序(scRNA-seq)结合组织形态学分析显示,ASD类器官中的神经干细胞(NSC)过早神经分化,脂肪酸结合蛋白7(FABP7)表达降低。随后发现,FABP7下游的丝裂原活化蛋白激酶激酶1/2(MEK1/2)磷酸化水平发生改变,并且FABP7/MEK途径的调节逆转了ASD类器官中不适当的神经分化。此外,Fabp7基因敲低和MEK2过表达的小鼠均表现出与自闭症相关的重复刻板行为和社交缺陷。本研究揭示了FABP7/MEK途径在患有ASD的头部正常个体中神经干细胞异常分化中的作用,这可能为ASD治疗提供一个有前景的治疗靶点。

https://cdn.ncbi.nlm.nih.gov/pmc/blobs/27b5/11727249/a253e410d59c/ADVS-12-2406849-g003.jpg

文献AI研究员

20分钟写一篇综述,助力文献阅读效率提升50倍。

立即体验

用中文搜PubMed

大模型驱动的PubMed中文搜索引擎

马上搜索

文档翻译

学术文献翻译模型,支持多种主流文档格式。

立即体验