Suppr超能文献

在氨基糖苷类药物庆大霉素存在的情况下,人类细胞中p53在人工构建的终止密码子处发生氨基酸错掺入。

Misincorporations of amino acids in p53 in human cells at artificially constructed termination codons in the presence of the aminoglycoside Gentamicin.

作者信息

Pawlicka Kamila, Henek Tomas, Uhrik Lukas, Hernychova Lenka, Padariya Monikaben, Faktor Jakub, Makowiec Sławomir, Vojtesek Borivoj, Goodlett David, Hupp Ted, Kalathiya Umesh

机构信息

Edinburgh Cancer Research Centre, Institute of Genetics and Molecular Medicine, University of Edinburgh, Edinburgh, United Kingdom.

Research Centre for Applied Molecular Oncology, Masaryk Memorial Cancer Institute, Brno, Czechia.

出版信息

Front Genet. 2024 Nov 5;15:1407375. doi: 10.3389/fgene.2024.1407375. eCollection 2024.

Abstract

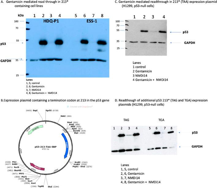
Readthrough of a translation termination codon is regulated by ribosomal A site recognition and insertion of near-cognate tRNAs. Small molecules exist that mediate incorporation of amino acids at the stop codon and production of full-length, often functional protein but defining the actual amino acid that is incorporated remains a challenging area. Herein, we report on the development a human cell model that can be used to determine whether rules can be developed using mass spectrometry that define the type of amino acid that is placed at a premature termination codon (PTC) during readthrough mediated by an aminoglycoside. The first PTC we analyzed contained the relatively common cancer-associated termination signal at codon 213 in the p53 gene. Despite of identifying a tryptic peptide with the incorporation of an R at codon 213 in the presence of the aminoglycoside, there were no other tryptic peptides detected across codon 213 that could be recovered; hence we constructed a more robust artificial PTC model. P53 expression plasmids were developed that incorporate a string of single synthetic TGA (opal) stop codons at SPA within the relatively abundant tryptic p53 peptide 121-SVTCTYSPALNK-132. The treatment of cells stably expressing the p53-TGA mutation, treated with Gentamicin, followed by immunoprecipitation and trypsinization of p53, resulted in the identification R, W, or C within the tryptic peptide at codon-TGA; as expected based on the two-base pairing of the respective anticodons in the tRNA to UGA, with R being the most abundant. By contrast, incorporating the amber or ochre premature stop codons, TAA or TAG resulted in the incorporation of a Y or Q amino acid, again as expected based on the two base pairings to the anticodons, with Q being the most abundant. A reproducible non-canonical readthrough termination codon-skip event at the extreme C-terminus at codon 436 in the SBP-p53 fusion protein was detected which provided a novel assay for non-canonical readthrough at an extreme C-terminal PTC. The incorporation of amino acids at codons 127, 128, or 129 generally result in a p53 protein that is predicted to be 'unfolded' or inactive as defined by molecular dynamic simulations presumably because the production of mixed wild-type p53 and mutant oligomers are known to be inactive through dominant negative effects of the mutation. The data highlight the need to not only produce novel small molecules that can readthrough PTCs or C-terminal termination codons, but also the need to design methods to insert the required amino acid at the position that could result in a 'wild-type' functional protein.

摘要

翻译终止密码子的通读受核糖体A位点识别和近同源tRNA插入的调控。存在一些小分子可介导在终止密码子处掺入氨基酸并产生全长且通常具有功能的蛋白质,但确定实际掺入的氨基酸仍然是一个具有挑战性的领域。在此,我们报告了一种人类细胞模型的开发,该模型可用于确定是否可以利用质谱法制定规则,以定义在氨基糖苷介导的通读过程中置于过早终止密码子(PTC)处的氨基酸类型。我们分析的第一个PTC包含p53基因中第213位密码子相对常见的与癌症相关的终止信号。尽管在存在氨基糖苷的情况下鉴定到一个在第213位密码子处掺入R的胰蛋白酶肽段,但未检测到跨越第213位密码子的其他可回收的胰蛋白酶肽段;因此,我们构建了一个更强大的人工PTC模型。开发了p53表达质粒,其在相对丰富的胰蛋白酶p53肽段121 - SVTCTYSPALNK - 132内的SPA处掺入一串单一的合成TGA(乳白)终止密码子。用庆大霉素处理稳定表达p53 - TGA突变体的细胞,然后对p53进行免疫沉淀和胰蛋白酶消化,结果在密码子 - TGA处的胰蛋白酶肽段中鉴定到R、W或C;根据tRNA中相应反密码子与UGA的两碱基配对预期,R是最丰富的。相比之下,掺入琥珀色或赭石色过早终止密码子TAA或TAG导致掺入Y或Q氨基酸,同样根据与反密码子的两碱基配对预期,Q是最丰富的。在SBP - p53融合蛋白第436位密码子的极端C末端检测到一个可重复的非规范通读终止密码子跳过事件,这为极端C末端PTC处的非规范通读提供了一种新的检测方法。在第127、128或129位密码子处掺入氨基酸通常会产生一种p53蛋白,根据分子动力学模拟预测该蛋白是“未折叠的”或无活性的,大概是因为已知混合的野生型p53和突变体寡聚体的产生通过突变的显性负效应而无活性。这些数据突出了不仅需要生产能够通读PTC或C末端终止密码子的新型小分子,还需要设计方法在可能产生“野生型”功能蛋白的位置插入所需氨基酸。

https://cdn.ncbi.nlm.nih.gov/pmc/blobs/987d/11573534/e175702c30c5/fgene-15-1407375-g001.jpg

文献AI研究员

20分钟写一篇综述,助力文献阅读效率提升50倍。

立即体验

用中文搜PubMed

大模型驱动的PubMed中文搜索引擎

马上搜索

文档翻译

学术文献翻译模型,支持多种主流文档格式。

立即体验