Suppr超能文献

OPA1 蛋白促进转基因动物模型中心脏效应。

Cardiac effects of OPA1 protein promotion in a transgenic animal model.

机构信息

1st Department of Medicine, University of Pecs Medical School, Pecs, Hungary.

Szentagothai Research Centre, University of Pecs, Pecs, Hungary.

出版信息

PLoS One. 2024 Nov 21;19(11):e0310394. doi: 10.1371/journal.pone.0310394. eCollection 2024.

Abstract

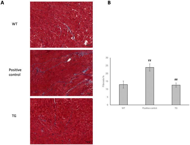
Mitochondria form a dynamic network in cells, regulated by the balance between mitochondrial fusion and fission. The inhibition of mitochondrial fission can have positive effects in acute ischemic/reperfusion injury models by preventing the fall in mitochondrial membrane potential associated with fission processes. However, inhibition of fission in chronic models is disadvantageous because it obstructs the elimination of damaged mitochondrial fragments. OPA1, in view of previous results, is a possible therapeutic target as a fusion promoter and structure stabilizer protein. We used transgenic mice in which the OMA1 cleavage sites of OPA1 were deleted. This resulted in a higher representation of L-OPA1 compared to S-OPA1. After genotyping and model validation, all animals were examined by echocardiograph on two occasions, at weeks 11 and 36. Histological samples were taken from hearts to examine mitochondrial morphology and structure remodeling. The signaling pathways related to mitochondrial dynamic processes were evaluated. Cardiomyocytes were isolated from neonatal mice to determine the efficiency of mitochondrial respiration using the SeaHorse assay method. OPA1 protein promotion has a negative effect on systolic function during aging. We confirmed that volume overload and ventricular remodeling did not manifest. The reason behind the loss of pump function might be, at least partly, due to the energy deficit caused by mitochondrial respiratory failure and damage in mitochondrial quality control pathways.

摘要

线粒体在细胞中形成一个动态网络,由线粒体融合和裂变之间的平衡来调节。在急性缺血/再灌注损伤模型中,抑制线粒体裂变可以通过防止与裂变过程相关的线粒体膜电位下降产生积极影响。然而,在慢性模型中抑制裂变是不利的,因为它阻碍了受损线粒体片段的清除。OPA1,鉴于先前的结果,是一个可能的治疗靶点,作为融合促进剂和结构稳定剂蛋白。我们使用了 OPA1 的 OMA1 切割位点被删除的转基因小鼠。这导致 L-OPA1 的表达比例高于 S-OPA1。在进行基因分型和模型验证后,所有动物在第 11 周和第 36 周两次通过超声心动图进行检查。从心脏中采集组织样本,以检查线粒体形态和结构重塑。评估了与线粒体动态过程相关的信号通路。从小鼠中分离出心肌细胞,使用 Seahorse 测定法确定线粒体呼吸效率。OPA1 蛋白促进在衰老过程中对收缩功能产生负面影响。我们证实,容量超负荷和心室重构没有表现出来。泵功能丧失的原因可能至少部分是由于线粒体呼吸衰竭和线粒体质量控制途径损伤引起的能量不足。

https://cdn.ncbi.nlm.nih.gov/pmc/blobs/4dcd/11581344/52731a00e972/pone.0310394.g001.jpg

文献AI研究员

20分钟写一篇综述,助力文献阅读效率提升50倍。

立即体验

用中文搜PubMed

大模型驱动的PubMed中文搜索引擎

马上搜索

文档翻译

学术文献翻译模型,支持多种主流文档格式。

立即体验