Suppr超能文献

ASPP2 缺乏通过 PPARγ 通路减轻酒精性肝损伤中的脂质积累。

ASPP2 deficiency attenuates lipid accumulation through the PPARγ pathway in alcoholic liver injury.

机构信息

Beijing Municipal Key Laboratory of Liver Failure and Artificial Liver Treatment Research, Fourth Department of Liver Disease, Beijing Youan Hospital, Capital Medical University, Beijing, China.

Beijing Institute of Hepatology, Beijing Youan Hospital, Capital Medical University, Beijing, China.

出版信息

Cell Biol Toxicol. 2024 Nov 22;40(1):102. doi: 10.1007/s10565-024-09925-x.

Abstract

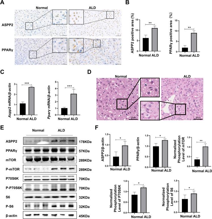
The initial stage of alcoholic liver disease (ALD) is hepatic steatosis. Recent studies have highlighted a possible role for Apoptosis-stimulating protein 2 of p53 (ASPP2) in regulating hepatic lipid metabolism in nonalcoholic fatty liver (NAFLD). However, whether ASPP2 regulates alcohol-induced lipid accumulation and its mechanisms remain unclear. To explore that, we establish an alcoholic liver injury model in vivo and in vitro. The clinical specimens were collected from liver tissues of patients with alcoholic liver disease. Lipid metabolism was detected by HE staining, oil red O staining and qPCR; and ASPP2-peroxisome proliferator-activated receptor γ (PPARγ) signaling pathways were detected by western blot and immunohistochemical staining. We found that both ASPP2 and PPARγ expression increased in patients and mouse models with ALD. We also discovered the reduction of ASPP2 significantly inhibited the expression of PPARγ and alleviated alcohol-induced hepatic lipid accumulation and liver injury in vivo and in vitro. Mechanistically, the PPARγ agonist reversed the protective effect of ASPP2 downregulation on hepatic steatosis and liver injury, while the opposite results were observed using PPARγ inhibitor. In conclusion, ASPP2 exacerbates ethanol-induced lipid accumulation and hepatic injury by upregulating the PPARγ signaling pathway, thus promoting the occurrence and development of ALD.

摘要

酒精性肝病(ALD)的初始阶段是肝脂肪变性。最近的研究强调了 p53 凋亡刺激蛋白 2(ASPP2)在调节非酒精性脂肪性肝病(NAFLD)中的肝脂代谢中的可能作用。然而,ASPP2 是否调节酒精引起的脂质积累及其机制尚不清楚。为了探讨这一点,我们在体内和体外建立了酒精性肝损伤模型。临床标本取自酒精性肝病患者的肝组织。通过 HE 染色、油红 O 染色和 qPCR 检测脂质代谢;通过 Western blot 和免疫组织化学染色检测 ASPP2-过氧化物酶体增殖物激活受体 γ(PPARγ)信号通路。我们发现,ALD 患者和小鼠模型中 ASPP2 和 PPARγ 的表达均增加。我们还发现,ASPP2 的减少显著抑制了 PPARγ 的表达,并减轻了体内和体外酒精引起的肝脂质积累和肝损伤。在机制上,PPARγ 激动剂逆转了 ASPP2 下调对肝脂肪变性和肝损伤的保护作用,而使用 PPARγ 抑制剂则观察到相反的结果。总之,ASPP2 通过上调 PPARγ 信号通路加剧乙醇诱导的脂质积累和肝损伤,从而促进 ALD 的发生和发展。

https://cdn.ncbi.nlm.nih.gov/pmc/blobs/475e/11584427/1b67f33a3163/10565_2024_9925_Fig1_HTML.jpg

文献AI研究员

20分钟写一篇综述,助力文献阅读效率提升50倍。

立即体验

用中文搜PubMed

大模型驱动的PubMed中文搜索引擎

马上搜索

文档翻译

学术文献翻译模型,支持多种主流文档格式。

立即体验