Suppr超能文献

耐药性和毒力的守护者:在尼日利亚西南部的临床和食品样本中检测耐甲氧西林和万古霉素金黄色葡萄球菌的 mec、femA、Van、pvl、hlg 和 spa 基因。

Guardians of resistance and virulence: detection of mec, femA, Van, pvl, hlg and spa genes in methicillin and vancomycin-resistant Staphylococcus aureus from clinical and food samples in Southwestern Nigeria.

机构信息

Department of Microbiology, Faculty of Basic and Applied Sciences, Osun State University, P.M.B. 4494, Osogbo, Osun State, 230212, Nigeria.

Department of Biotechnology, Faculty of Basic and Applied Sciences, Osun State University, P.M.B. 4494, Osogbo, 230212, Nigeria.

出版信息

BMC Microbiol. 2024 Nov 26;24(1):498. doi: 10.1186/s12866-024-03660-3.

Abstract

BACKGROUND

Staphylococcus aureus strains are highly virulent and associated with an eclectic range of severe nosocomial and community-acquired infections.

OBJECTIVES

This study assessed methicillin- and vancomycin-resistant Staphylococcus aureus (MRSA/VRSA) from clinical and ready-to-eat (RTE) food sources, screened for antibiotic resistance; and molecular determinants of antibiotic and virulence genes.

METHODS

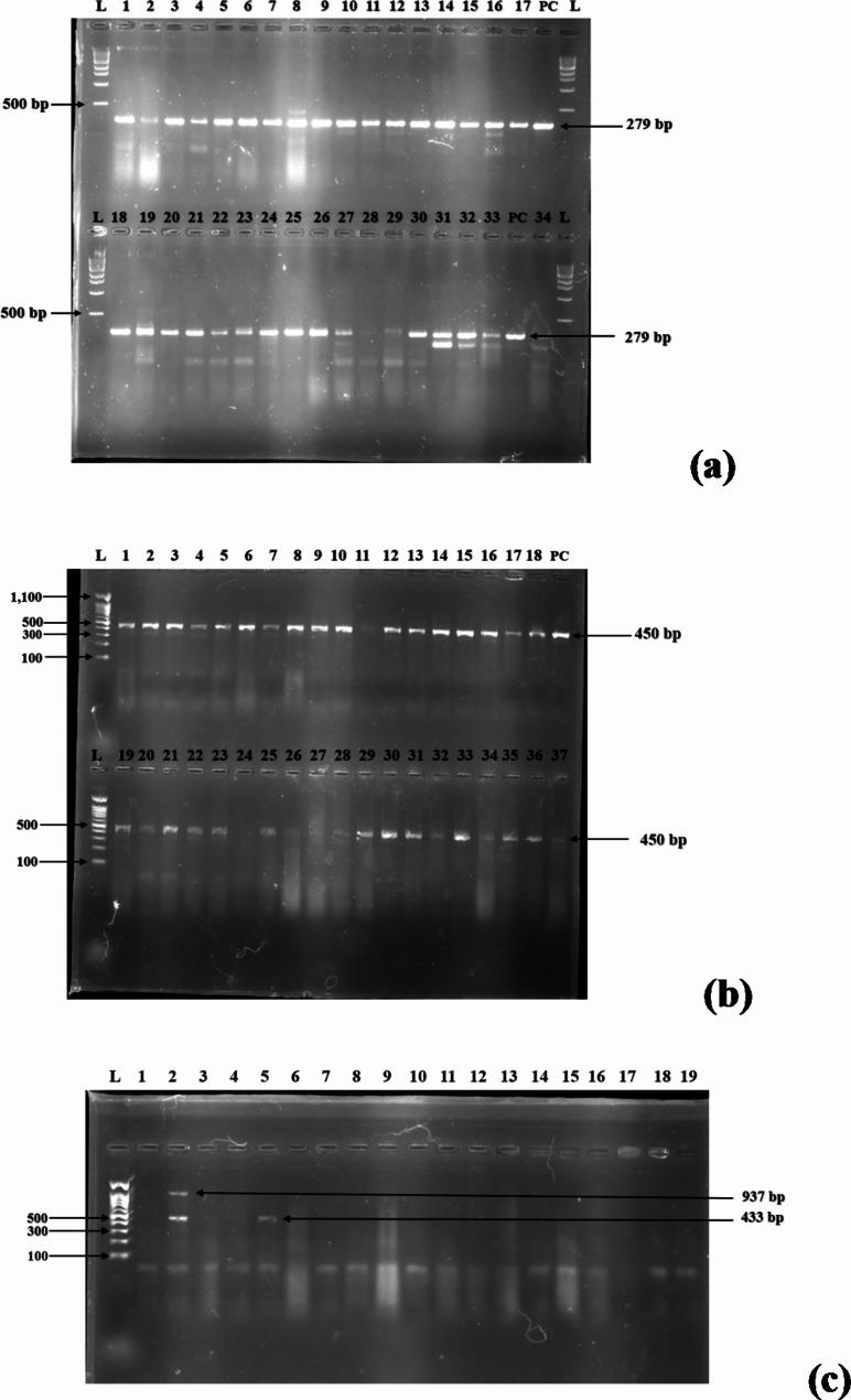
Altogether, 465 clinical and RTE food samples were analyzed via conventional microbiological techniques and S. aureus identification was confirmed by nuc gene detection. Phenotypic screening for methicillin and vancomycin-resistance was by agar-screen cum micro-broth dilution respectively, while antibiotic susceptibility testing was done by the disc-diffusion technique. VanA/vanB/VanC1, femA, mecA/mecC; pvl/hlg and spa gene detection was via Polymerase chain reaction.

RESULTS

Phenotypically, 211 Staphylococcal isolates were recovered, 138 (65.4%) of them carrying the nuc gene - all 138 (100.0%) were VRSA, while 59/138 (42.8%) were MRSA phenotypically. Overall, 114/138 (82.6%), 7/138 (5.1%), and 6/138 (4.3%) of isolates had the femA, mecA, and mecC genes, while van genes were detected in only 3 (2.2%) isolates, with virulence determinants pvl, hlg, and spa gene carriage in 8 (5.8%), 10 (7.2%), and 77 (55.8%) isolates respectively. In all, 11.6% carried resistance-associated genes, 55.8% carried virulence genes, and co-detection of resistance and virulence genes was observed in 12.3%. Overall, 96/138 (69.6%) were multidrug-resistant (MDR), while one strain was extremely drug-resistant (XDR). MAR Indices ≥ 0.2 was observed in 83.3% of isolates.

CONCLUSION

This study highlights virulence levels of MRSA and VRSA circulating strains in Osogbo, contributing to their sustained surveillance, and improving available data for successive epidemiology investigations. This study also reports the occurrence of the mecC gene in S. aureus isolates from RTE foods and human samples in Southwestern Nigeria.

摘要

背景

金黄色葡萄球菌菌株具有高度的毒力,并与各种严重的医院获得性和社区获得性感染有关。

目的

本研究评估了来自临床和即食(RTE)食品来源的耐甲氧西林和万古霉素金黄色葡萄球菌(MRSA/VRSA),筛选其抗生素耐药性;以及抗生素和毒力基因的分子决定因素。

方法

共分析了 465 份临床和 RTE 食品样本,采用常规微生物学技术,并通过 nuc 基因检测确认金黄色葡萄球菌的鉴定。通过琼脂筛选 cum 微量肉汤稀释法分别对甲氧西林和万古霉素耐药性进行表型筛选,而通过纸片扩散技术进行抗生素敏感性测试。通过聚合酶链反应检测 VanA/vanB/VanC1、femA、mecA/mecC;pvl/hlg 和 spa 基因的检测。

结果

表型上,共回收了 211 株金黄色葡萄球菌分离株,其中 138 株(65.4%)携带 nuc 基因 - 所有 138 株(100.0%)均为 VRSA,而 59 株(42.8%)为表型上的 MRSA。总的来说,114/138(82.6%)、7/138(5.1%)和 6/138(4.3%)的分离株携带 femA、mecA 和 mecC 基因,而只有 3 株(2.2%)分离株检测到了 van 基因,pvl、hlg 和 spa 基因的携带率分别为 8(5.8%)、10(7.2%)和 77(55.8%)的分离株。总的来说,携带耐药相关基因的有 11.6%,携带毒力基因的有 55.8%,同时携带耐药和毒力基因的有 12.3%。总的来说,有 96/138(69.6%)是多药耐药(MDR)的,有 1 株是极度耐药(XDR)的。观察到 83.3%的分离株的 MAR 指数≥0.2。

结论

本研究强调了奥索博 MRSA 和 VRSA 循环菌株的毒力水平,有助于对其进行持续监测,并为后续的流行病学调查提供了可用数据。本研究还报告了 mecC 基因在南非西南部来自 RTE 食品和人体样本的金黄色葡萄球菌分离株中的发生情况。

https://cdn.ncbi.nlm.nih.gov/pmc/blobs/137e/11590366/9e2fde047eb4/12866_2024_3660_Fig1_HTML.jpg

文献AI研究员

20分钟写一篇综述,助力文献阅读效率提升50倍。

立即体验

用中文搜PubMed

大模型驱动的PubMed中文搜索引擎

马上搜索

文档翻译

学术文献翻译模型,支持多种主流文档格式。

立即体验