Suppr超能文献

α-1-抗胰蛋白酶作为Spl蛋白酶的新型底物——对毒力的影响

Alpha-1-antitrypsin as novel substrate for Spl proteases - implications for virulence.

作者信息

Scherr Franziska, Darisipudi Murthy N, Börner Friedemann R, Austermeier Sophie, Hoffmann Franziska, Eberhardt Martin, Abdurrahman Goran, Saade Christopher, von Eggeling Ferdinand, Kasper Lydia, Holtfreter Silva, Bröker Barbara M, Kiehntopf Michael

机构信息

Institute of Clinical Chemistry and Laboratory Diagnostics, Jena University Hospital, Jena, Germany.

Institute of Immunology, University Medicine Greifswald, Greifswald, Germany.

出版信息

Front Immunol. 2024 Nov 19;15:1481181. doi: 10.3389/fimmu.2024.1481181. eCollection 2024.

Abstract

BACKGROUND

The serine protease like (Spl) proteases of are a family of six proteases whose function and impact on virulence are poorly understood. Here we propose alpha-1-antitrypsin (AAT), an important immunomodulatory serine protease inhibitor as target of SplD, E and F. AAT is an acute phase protein, interacting with many proteases and crucial for prevention of excess tissue damage by neutrophil elastase during the innate immune response to infections.

METHODS

We used MALDI-TOF-MS to identify the cleavage site of Spl proteases within AAT's reactive center loop (RCL) and LC-MS/MS to quantify the resulting peptide cleavage product in digestions of AAT and heterologous expressed proteases or culture supernatants from different strains. We further confirmed proteolytic cleavage and formation of a covalent complex with Western Blots, investigated AAT's inhibitory potential against Spls and examined the NETosis inhibitory activity of AAT-Spl-digestions.

RESULTS

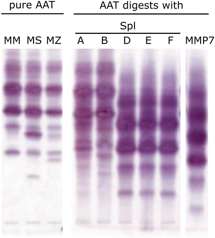
SplD, E and F, but not A or B, cleave AAT in its RCL, resulting in the release of a peptide consisting of AAT's C-terminal 36 amino acids (C36). Synthetic C36, as well as AAT-SplD/E/F-digestions exhibit NETosis inhibition. Only SplE, but not D or F, was partly inhibited by AAT, forming a covalent complex.

CONCLUSION

We unraveled a new virulence trait of , where SplD/E/F cleave and inactivate AAT while the cleavage product C36 inhibits NETosis.

摘要

背景

[细菌名称]的类丝氨酸蛋白酶(Spl)是一个由六种蛋白酶组成的家族,其功能及对毒力的影响尚不清楚。在此,我们提出α-1-抗胰蛋白酶(AAT),一种重要的免疫调节性丝氨酸蛋白酶抑制剂,是SplD、E和F的作用靶点。AAT是一种急性期蛋白,可与多种蛋白酶相互作用,对于在感染的固有免疫反应期间预防中性粒细胞弹性蛋白酶造成的过度组织损伤至关重要。

方法

我们使用基质辅助激光解吸电离飞行时间质谱(MALDI-TOF-MS)来鉴定Spl蛋白酶在AAT反应中心环(RCL)内的切割位点,并使用液相色谱-串联质谱(LC-MS/MS)来定量在AAT与异源表达的蛋白酶或来自不同[细菌名称]菌株的培养上清液的消化反应中产生的肽切割产物。我们进一步通过蛋白质免疫印迹法证实了蛋白水解切割和共价复合物的形成,研究了AAT对Spls的抑制潜力,并检测了AAT-Spl消化产物的中性粒细胞胞外陷阱形成(NETosis)抑制活性。

结果

SplD、E和F,而非A或B,在AAT的RCL中切割AAT,导致释放出一个由AAT的C末端36个氨基酸(C36)组成的肽段。合成的C36以及AAT-SplD/E/F消化产物均表现出NETosis抑制作用。只有SplE,而非D或F,被AAT部分抑制,形成共价复合物。

结论

我们揭示了[细菌名称]一种新的毒力特征,即SplD/E/F切割并使AAT失活,而切割产物C36抑制NETosis。

https://cdn.ncbi.nlm.nih.gov/pmc/blobs/26fe/11611844/6d3e71f4ff8c/fimmu-15-1481181-g001.jpg

文献AI研究员

20分钟写一篇综述,助力文献阅读效率提升50倍。

立即体验

用中文搜PubMed

大模型驱动的PubMed中文搜索引擎

马上搜索

文档翻译

学术文献翻译模型,支持多种主流文档格式。

立即体验