Suppr超能文献

肠道微生物群耗竭和法尼醇X受体(FXR)抑制会加剧舒尼替尼的肝小叶毒性。

Gut microbiota depletion and FXR inhibition exacerbates zonal hepatotoxicity of sunitinib.

作者信息

Zhao Qi, Lu Yingmei, Duan Jingyi, Du Dan, Pu Qianlun, Li Fei

机构信息

Department of Gastroenterology & Hepatology, Laboratory of Hepatointestinal Diseases and Metabolism, Frontiers Science Center for Disease-related Molecular Network, West China Hospital, Sichuan University, Chengdu, 610041, China.

Huaxi Joint Centre for Gastrointestinal Cancer, West China Hospital, Sichuan University, Chengdu, 610041, China.

出版信息

Theranostics. 2024 Oct 28;14(18):7219-7240. doi: 10.7150/thno.99926. eCollection 2024.

Abstract

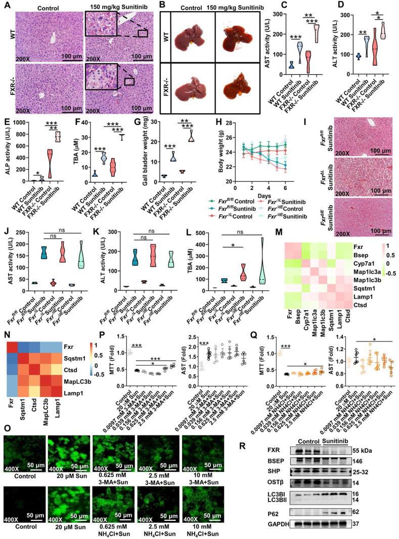
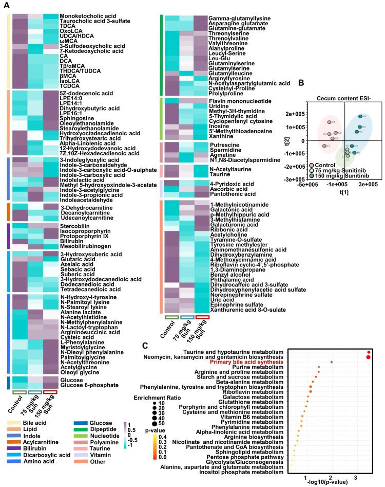
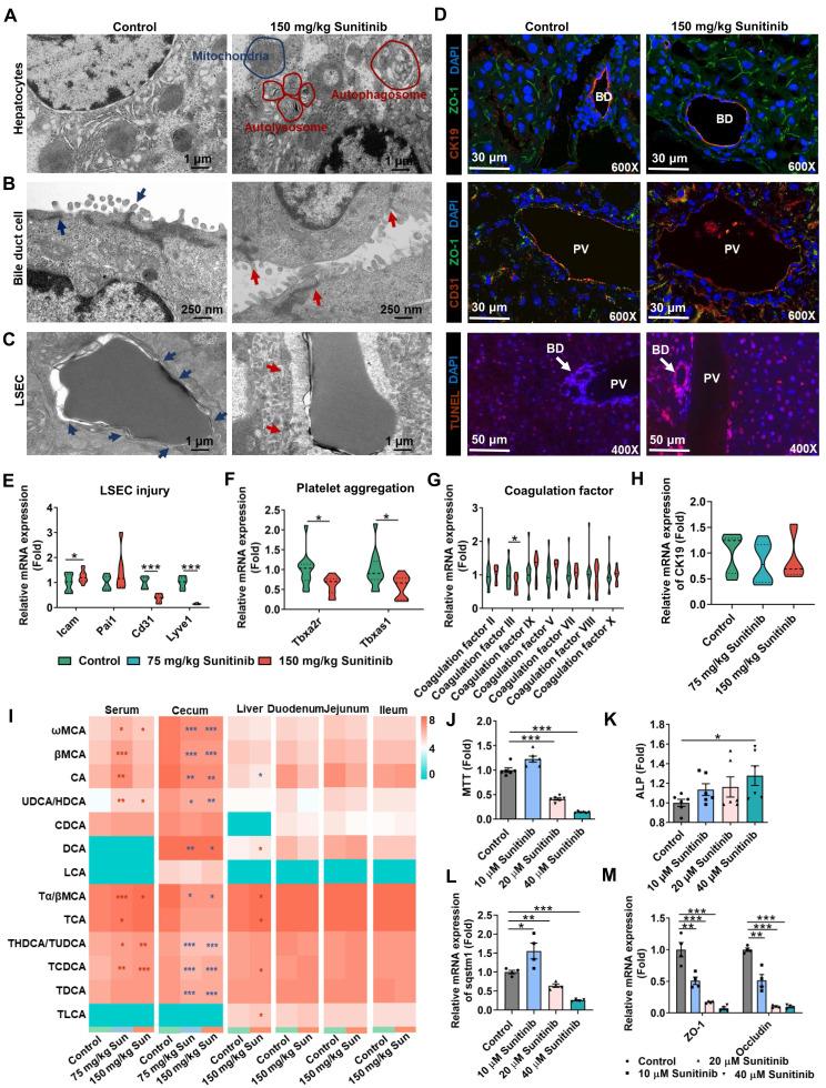
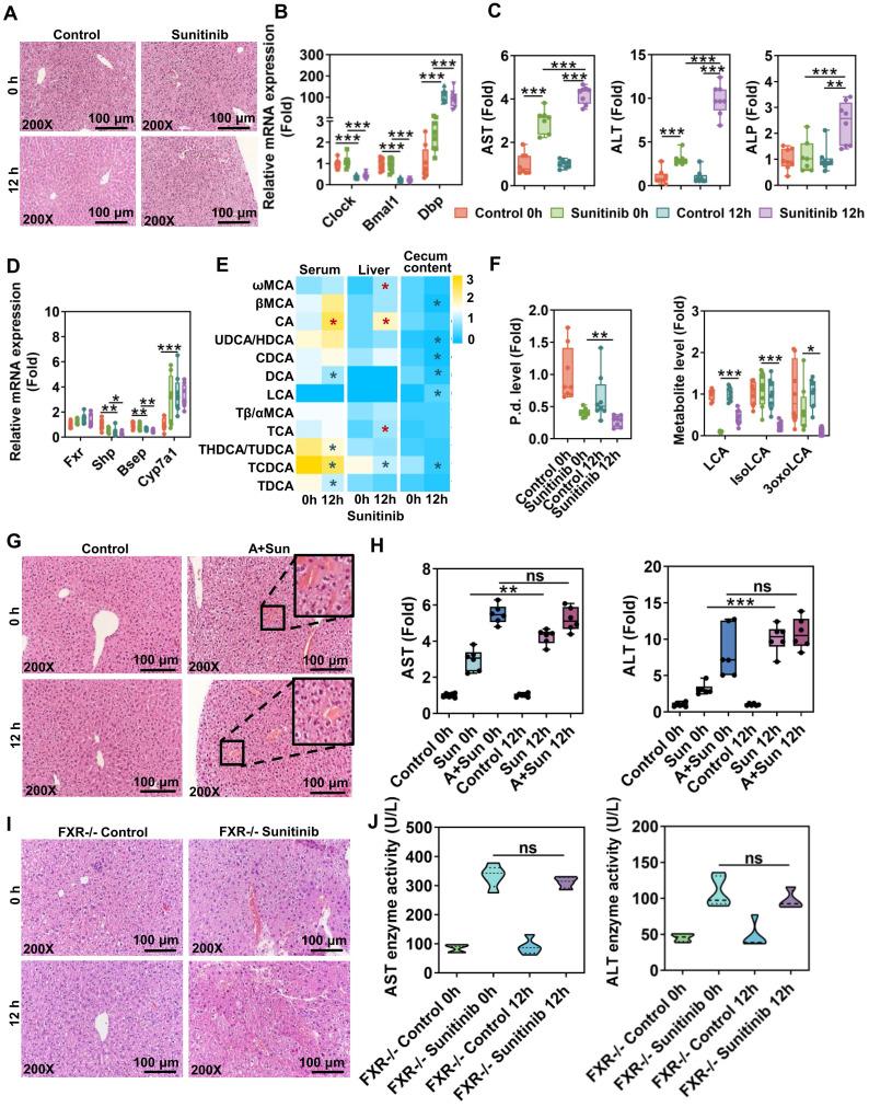
Sunitinib is a small-molecule tyrosine kinase inhibitor associated with the side-effect of liver injury. The impaired cell type in liver and the hepatotoxicity mechanisms is still unclear. Spatial metabolomics, transmission electron microscopy, immunofluorescence co-staining, and isolation of bile duct cells and liver sinusoidal endothelial cells (LSECs) were used to evaluate the zonated hepatotoxicity of sunitinib. Farnesoid X receptor (FXR) conditional knockout mice, metagenomics analysis, bacteria clearance, bacterial culture, and 3-oxolithocholic acid supplementation were used to evaluate the hepatotoxicity mechanisms of sunitinib. Phenotype analysis found that hepatic autophagy, apoptosis, and mitochondrial injury were observed or after sunitinib treatment. By using spatial metabolomics and isolation of bile duct cells and LSECs, the zonated drug toxicity was observed around the portal vein. Hepatocytes, bile duct cells, and LSECs were damaged after sunitinib treatment. FXR inhibition and gut microbiota depletion aggravated sunitinib-induced liver injury. For diurnal variation, sunitinib-induced liver injury was enhanced at night compared with that at day, and FXR and gut microbiota participated in circadian rhythmic hepatotoxicity induced by sunitinib. Our data suggested activation of FXR and supplementation may be used to improve sunitinib-induced hepatotoxicity.

摘要

舒尼替尼是一种与肝损伤副作用相关的小分子酪氨酸激酶抑制剂。肝脏中受损的细胞类型和肝毒性机制仍不清楚。使用空间代谢组学、透射电子显微镜、免疫荧光共染色以及胆管细胞和肝窦内皮细胞(LSEC)的分离来评估舒尼替尼的分区肝毒性。使用法尼醇X受体(FXR)条件性敲除小鼠、宏基因组学分析、细菌清除、细菌培养和补充3-氧代石胆酸来评估舒尼替尼的肝毒性机制。表型分析发现,舒尼替尼治疗期间或之后观察到肝脏自噬、细胞凋亡和线粒体损伤。通过使用空间代谢组学以及胆管细胞和LSEC的分离,在门静脉周围观察到分区药物毒性。舒尼替尼治疗后,肝细胞、胆管细胞和LSEC受损。FXR抑制和肠道微生物群耗竭加重了舒尼替尼诱导的肝损伤。对于昼夜变化,与白天相比,舒尼替尼诱导的肝损伤在夜间增强,并且FXR和肠道微生物群参与了舒尼替尼诱导的昼夜节律性肝毒性。我们的数据表明,激活FXR和进行补充可能用于改善舒尼替尼诱导的肝毒性。

https://cdn.ncbi.nlm.nih.gov/pmc/blobs/2854/11610149/b2c7971c69ef/thnov14p7219g001.jpg

文献AI研究员

20分钟写一篇综述,助力文献阅读效率提升50倍。

立即体验

用中文搜PubMed

大模型驱动的PubMed中文搜索引擎

马上搜索

文档翻译

学术文献翻译模型,支持多种主流文档格式。

立即体验