Suppr超能文献

使用创新的减毒沙门氏菌介导递送系统表达和递送HA1-M2e抗原,对H9N2禽流感攻击具有良好的保护作用。

Expression and delivery of HA1-M2e antigen using an innovative attenuated Salmonella-mediated delivery system confers promising protection against H9N2 avian influenza challenge.

作者信息

Aganja Ram Prasad, Kim In-Shik, Tae Hyun-Jin, Lee John Hwa

机构信息

College of Veterinary Medicine, Jeonbuk National University, Iksan Campus, Iksan 54596, Republic of Korea; College of Veterinary Medicine and Institute of Animal Transplantation, Jeonbuk National University, Campus, Iksan 54596, Republic of Korea.

College of Veterinary Medicine and Institute of Animal Transplantation, Jeonbuk National University, Campus, Iksan 54596, Republic of Korea.

出版信息

Poult Sci. 2025 Jan;104(1):104602. doi: 10.1016/j.psj.2024.104602. Epub 2024 Nov 27.

Abstract

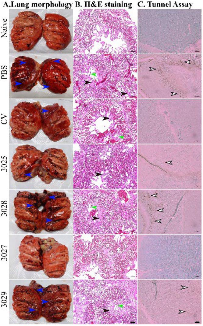
This study explores a dual expression vector system for delivering prokaryotic and eukaryotic antigens to improve conventional vaccination strategies. To enhance immune protection against H9N2 avian influenza virus (AIV), which threatens poultry and humans, we used the previously constructed pJHL270 and pJHL305 plasmids with the Ptrc and CMV promoters to stimulate MHC class II and I responses through exogenous and endogenous antigenic presentation. Salmonella Gallinarum (SG), a delivery vector, was engineered to have defective lipopolysaccharide structures through lon, pagL, and rfaL deletion. It demonstrated a safety profile with lower induction of inflammatory cytokines than the wild-type strain. Bioinformatics tools predicted that the HA1 and M2e sequences, which were designed as consensus sequences of South Korean strains (2000-2021), would have high antigenicity and favorable structures. In vitro expression of the vaccine constructs was validated by western blotting. Birds immunized with attenuated SG harboring pJHL270 (JOL3025) or pJHL305 (JOL3027) containing HA-M2e showed significant increases in serum IgY and mucosal IgA antibodies, indicating strong humoral and mucosal immune responses, comparable with inactivated commercial vaccine. Post-immunization, we found a substantial rise in the hemagglutination inhibition titer, suggesting effective prevention of viral attachment and robust cell-mediated immunity, with a 1.96-fold and 2.80-fold increase in CD4 and CD8 T cells, respectively, for JOL3025 and a 1.75-fold and 2.49-fold increase for JOL3027. Furthermore, MHC class I and II expression increased 1.35-fold and 1.63-fold, for JOL3025, and 1.61-fold and 1.68-fold, respectively, for JOL3027. The IL-4 and IFN-γ levels were elevated, indicating a balanced Th-1 and Th-2 response. Post-challenge, birds immunized with vaccine candidates or the commercial vaccine exhibited minimal to no clinical signs, reduced lesions, lower lung viral titers, and negligible impacts on egg production compared to controls. In conclusion, both plasmids successfully delivered HA1-M2e immunogens through the engineered SG strains, eliciting strong humoral, mucosal, and cell-mediated immune responses and co-stimulating MHC class I and II antigen presentation pathways to provide effective protection against H9N2 AIV with minimal adverse effects.

摘要

本研究探索了一种用于递送原核和真核抗原的双表达载体系统,以改进传统的疫苗接种策略。为增强针对威胁家禽和人类的H9N2禽流感病毒(AIV)的免疫保护,我们使用先前构建的带有Ptrc和CMV启动子的pJHL270和pJHL305质粒,通过外源性和内源性抗原呈递来刺激MHC II类和I类反应。鸡沙门氏菌(SG)作为一种递送载体,通过缺失lon、pagL和rfaL基因工程改造使其具有缺陷的脂多糖结构。与野生型菌株相比,它表现出较低的炎症细胞因子诱导水平的安全性。生物信息学工具预测,设计为韩国菌株(2000 - 2021年)共有序列的HA1和M2e序列将具有高抗原性和良好的结构。通过蛋白质免疫印迹法验证了疫苗构建体的体外表达。用携带含有HA - M2e的pJHL270(JOL3025)或pJHL305(JOL3027)的减毒SG免疫的鸡,血清IgY和粘膜IgA抗体显著增加,表明有强烈的体液和粘膜免疫反应,与灭活商业疫苗相当。免疫后,我们发现血凝抑制效价大幅上升,表明有效预防了病毒附着并产生了强大的细胞介导免疫,JOL3025的CD4和CD8 T细胞分别增加了1.96倍和2.80倍,JOL3027分别增加了1.75倍和2.49倍。此外,JOL3025的MHC I类和II类表达分别增加了1.35倍和1.63倍,JOL3027分别增加了1.61倍和1.68倍。IL - 4和IFN - γ水平升高,表明Th - 1和Th - 2反应平衡。攻毒后,与对照组相比,用候选疫苗或商业疫苗免疫的鸡表现出极少或无临床症状、病变减少、肺病毒滴度降低以及对产蛋的影响可忽略不计。总之,两种质粒均通过工程改造的SG菌株成功递送了HA1 - M2e免疫原,引发了强烈的体液、粘膜和细胞介导免疫反应,并共同刺激MHC I类和II类抗原呈递途径,以提供对H9N2 AIV的有效保护且副作用最小。

https://cdn.ncbi.nlm.nih.gov/pmc/blobs/b3e4/11665344/47d255968d9d/gr1.jpg

文献AI研究员

20分钟写一篇综述,助力文献阅读效率提升50倍。

立即体验

用中文搜PubMed

大模型驱动的PubMed中文搜索引擎

马上搜索

文档翻译

学术文献翻译模型,支持多种主流文档格式。

立即体验