Suppr超能文献

癌症相关成纤维细胞衍生的基质金属蛋白酶11促进胰腺癌的肿瘤进展。

Cancer-associated fibroblast-derived MMP11 promotes tumor progression in pancreatic cancer.

作者信息

Wang Zhuoyin, Guo Xu, Li Xinming, Wang Jing, Zhang Nengwei, Amin Buhe, Xu Guangzhong, Zhu Bin

机构信息

Department of General Surgery, Beijing Shijitan Hospital, Capital Medical University, Beijing, China.

出版信息

Cancer Sci. 2025 Mar;116(3):643-655. doi: 10.1111/cas.16418. Epub 2024 Dec 5.

Abstract

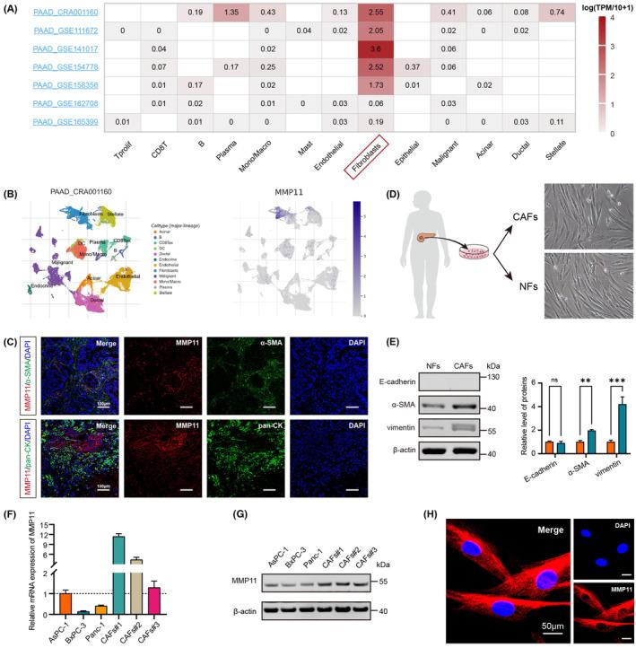
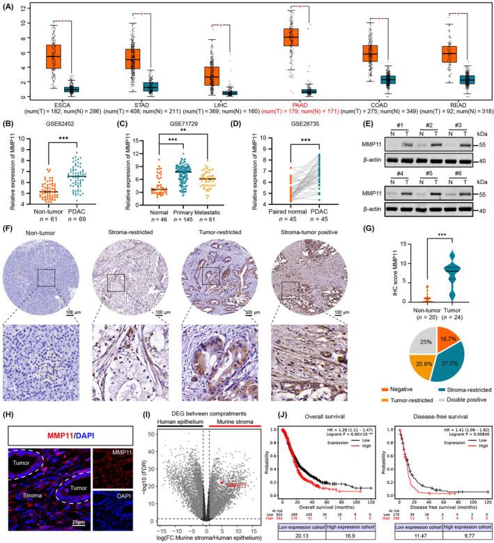
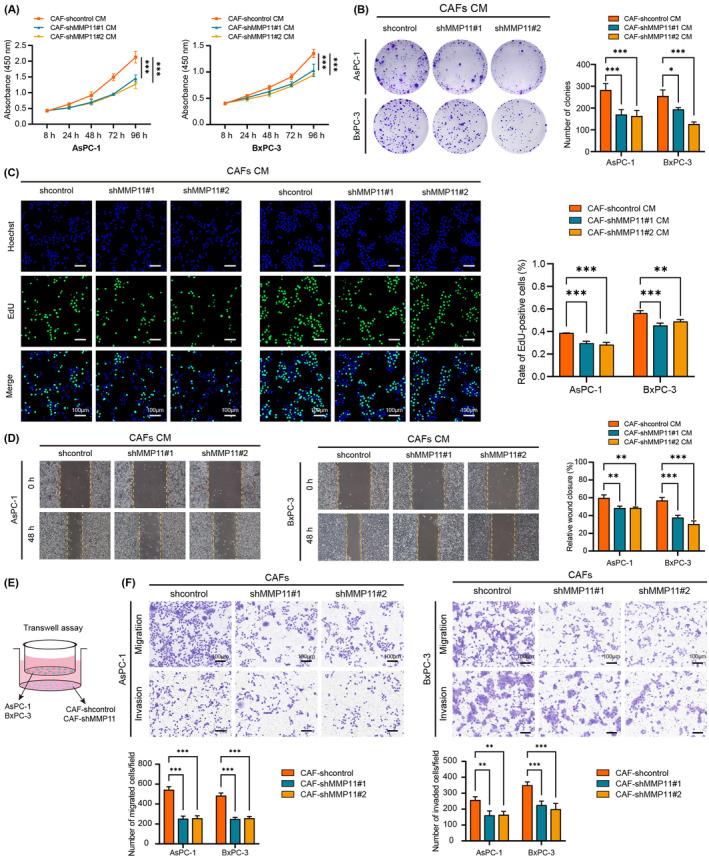
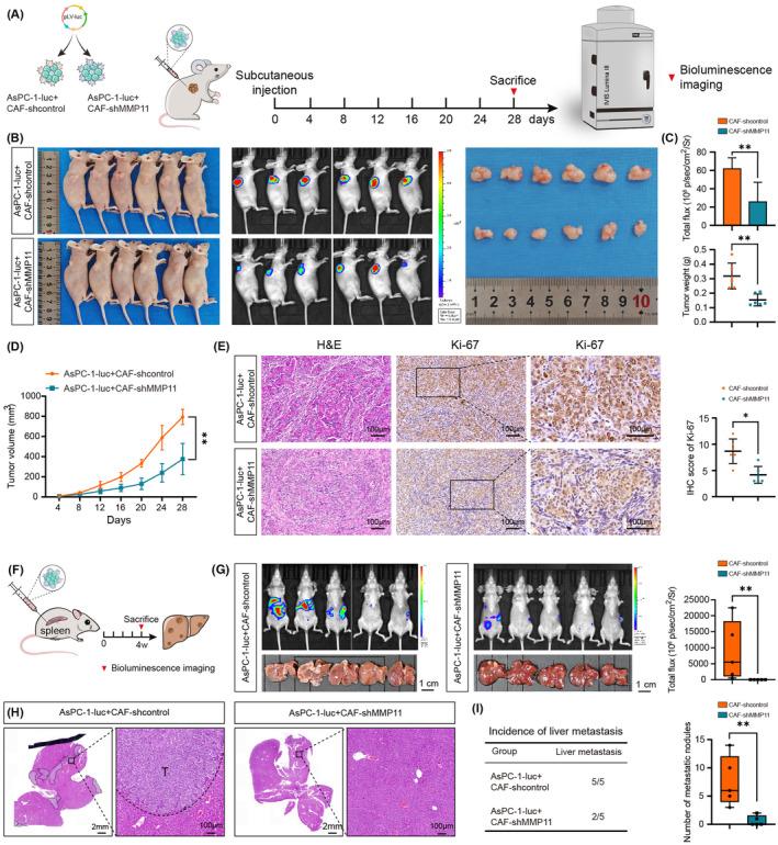
Matrix metalloproteinase 11 (MMP11), a zinc-dependent endopeptidase involved in extracellular matrix degradation and remodeling, has been identified as a tumor promoter in multiple cancer types. However, its expression pattern and role in pancreatic ductal adenocarcinoma (PDAC) remain unclear. In this study, elevated MMP11 expression was identified in PDAC tissues and was associated with diminished survival. Integrated single-cell RNA sequencing and co-immunofluorescence staining revealed that MMP11 was predominantly expressed in cancer-associated fibroblasts (CAFs). Mechanistically, cancer cell-derived TGF-β1 mediated CAF activation via the pSmad2/3 pathway and accompanied by MMP11 production. Additionally, MMP11 knockdown in CAFs impaired the proliferative and invasive abilities of AsPC-1 and BxPC-3 cells in vitro; which could be rescued by adding recombinant MMP11. Similarly, co-injection of AsPC-1 cells with MMP11-knockdown CAFs into nude mice significantly suppressed tumor growth and liver metastasis compared with tumors bearing unmodified CAFs. Furthermore, we confirmed that CAF-derived MMP11 may drive the epithelial-mesenchymal transition process of PDAC cells to promote tumor invasion via the PI3K/AKT pathway rather than extracellular matrix remodeling. Collectively, we uncovered a crosstalk between cancer cells and CAFs mediated by TGF-β1 and MMP11 that drives the progression of PDAC.

摘要

基质金属蛋白酶11(MMP11)是一种参与细胞外基质降解和重塑的锌依赖性内肽酶,已被确定为多种癌症类型中的肿瘤促进因子。然而,其在胰腺导管腺癌(PDAC)中的表达模式和作用仍不清楚。在本研究中,在PDAC组织中发现MMP11表达升高,且与生存期缩短相关。综合单细胞RNA测序和共免疫荧光染色显示,MMP11主要在癌症相关成纤维细胞(CAF)中表达。机制上,癌细胞衍生的转化生长因子-β1(TGF-β1)通过pSmad2/3途径介导CAF活化,并伴有MMP11产生。此外,在CAF中敲低MMP11会损害AsPC-1和BxPC-3细胞在体外的增殖和侵袭能力;添加重组MMP11可挽救这种情况。同样,与携带未修饰CAF的肿瘤相比,将AsPC-1细胞与敲低MMP11的CAF共同注射到裸鼠中可显著抑制肿瘤生长和肝转移。此外,我们证实CAF衍生的MMP11可能通过PI3K/AKT途径而非细胞外基质重塑驱动PDAC细胞的上皮-间质转化过程,从而促进肿瘤侵袭。总的来说,我们发现了由TGF-β1和MMP11介导的癌细胞与CAF之间的相互作用,这种相互作用驱动了PDAC的进展。

https://cdn.ncbi.nlm.nih.gov/pmc/blobs/02d8/11875780/4b405cdcbe69/CAS-116-643-g001.jpg

文献AI研究员

20分钟写一篇综述,助力文献阅读效率提升50倍。

立即体验

用中文搜PubMed

大模型驱动的PubMed中文搜索引擎

马上搜索

文档翻译

学术文献翻译模型,支持多种主流文档格式。

立即体验