Suppr超能文献

星形胶质细胞中补体C5a-C5aR1轴的激活通过上调CXCL1促进了肠道病毒A71感染所致的神经病理发生。

The activation of complement C5a-C5aR1 axis in astrocytes facilitates the neuropathogenesis due to EV-A71 infection by upregulating CXCL1.

作者信息

Zhu Peiyu, Ji Wangquan, Li Dong, Wang Fang, Sun Tiantian, Yang Haiyan, Chen Shuaiyin, Zhang Weiguo, Jin Yuefei, Duan Guangcai

机构信息

Department of Epidemiology, College of Public Health, Zhengzhou University, Zhengzhou, Henan, China.

Department of Infectious Diseases, Children's Hospital Affiliated to Zhengzhou University, Henan Children's Hospital, Zhengzhou Children's Hospital, Zhengzhou, Henan, China.

出版信息

J Virol. 2025 Jan 31;99(1):e0151424. doi: 10.1128/jvi.01514-24. Epub 2024 Dec 16.

Abstract

UNLABELLED

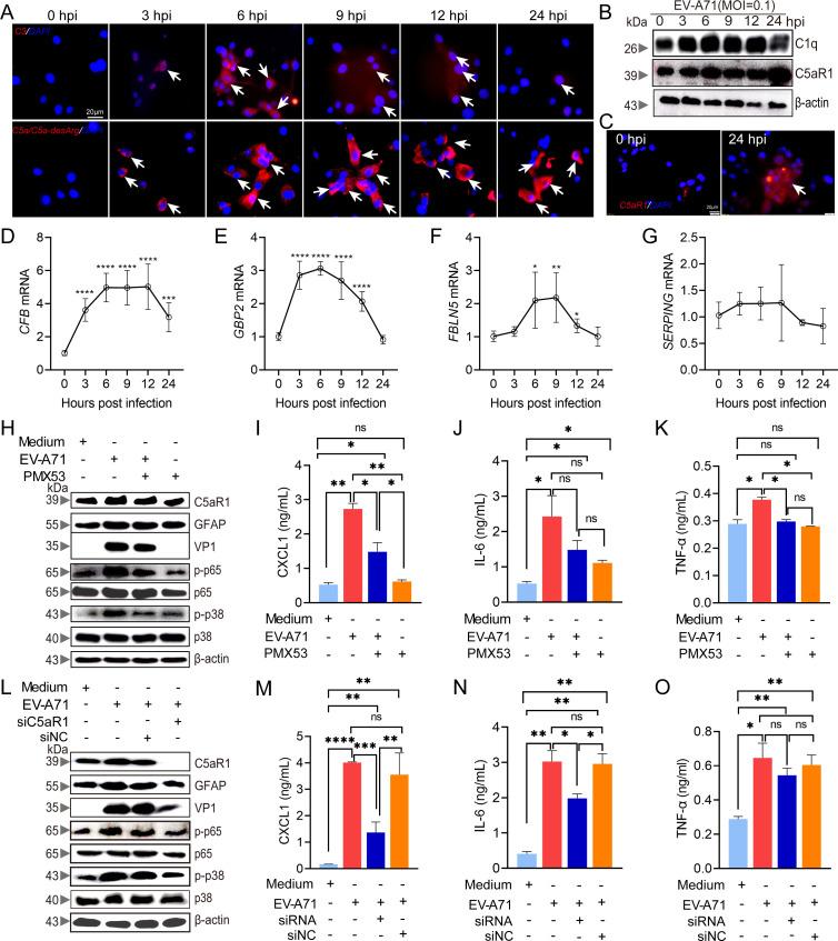
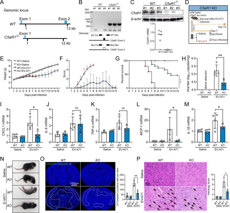
Enterovirus A71 (EV-A71) is a common small RNA virus that is highly neuroinvasive. Emerging evidence indicates that the complement fragment C5a and its receptor C5aR1 are important drivers of neuroinflammation. However, the potential role of the C5a-C5aR1 axis in EV-A71 encephalitis remains largely elusive. Our previous studies revealed that EV-A71 can infect astrocytes and result in complement activation . Here, we investigated how complement factors interact with astrocytes to promote a severe inflammatory response upon EV-A71 infection. Our data revealed that EV-A71 infected mainly astrocytes and caused astrocyte activation in the mouse brain, which was further verified in patients with EV-A71 infection and U87-MG cells. Notably, EV-A71 infection led to activation of the C5a-C5aR1 axis in U87-MG cells, and knockdown (siC5aR1) or blockade (PMX53) of C5aR1 significantly suppressed EV-A71-induced astrocyte activation and proinflammatory cytokine (e.g., CXCL1) production. Next, the activation of the C5a-C5aR1 axis in mouse astrocytes was confirmed. Compared with C5aR1 knockout mice, wild-type mice presented more severe symptoms and lower survival rates after EV-A71 infection. C5aR1 deficiency or blockade significantly reduced EV-A71-induced pathological damage and proinflammatory cytokine production in the mouse brain. Importantly, an increased level of soluble C5a was strongly correlated with the severity of symptoms in patients with EV-A71 infection. By using confocal microscopy, primary astrocytes, and human specimens, we observed that the increase in CXCL1 levels resulted mainly from astrocytes. Neutralizing CXCL1 significantly alleviated the neuropathological changes caused by EV-A71 infection, and the production of CXCL1 in astrocytes was regulated by p38 MAPK signaling. Taken together, our findings indicate that the activation of the C5a-C5aR1 axis in astrocytes facilitates the neuropathological changes resulting from EV-A71 infection, emphasizing the potential role of p38 MAPK-mediated CXCL1 production in these alterations.

IMPORTANCE

Enterovirus A71 (EV-A71) is a common small RNA virus with highly neuroinvasive tendencies. Our previous studies took the view that EV-A71 could infect astrocytes and result in complement activation . We investigated how complement interacts with astrocytes to promote a severe inflammatory response upon EV-A71 infection in the study. As expected, our data demonstrate that EV-A71 triggers robust activation of the C5a-C5aR1 axis in astrocytes and that knockout or blockade of C5aR1 in animals exposed to lethal doses of EV-A71 significantly enhances survival by diminishing the production of the chemokines CXCL1 and IL-6. In addition, neutralizing CXCL1 significantly alleviates the neuropathogenesis caused by EV-A71 infection. Thus, inhibiting the C5a-C5aR1 axis has emerged as a potential therapeutic strategy to mitigate neural damage caused by EV-A71 infection.

摘要

未标记

肠道病毒A71(EV - A71)是一种常见的具有高度神经侵袭性的小RNA病毒。新出现的证据表明,补体片段C5a及其受体C5aR1是神经炎症的重要驱动因素。然而,C5a - C5aR1轴在EV - A71脑炎中的潜在作用在很大程度上仍不清楚。我们之前的研究表明,EV - A71可感染星形胶质细胞并导致补体激活。在此,我们研究了补体因子如何与星形胶质细胞相互作用,以在EV - A71感染后促进严重的炎症反应。我们的数据显示,EV - A71主要感染星形胶质细胞并在小鼠脑中引起星形胶质细胞活化,这在EV - A71感染患者和U87 - MG细胞中得到进一步验证。值得注意的是,EV - A71感染导致U87 - MG细胞中C5a - C5aR1轴的激活,而C5aR1的敲低(siC5aR1)或阻断(PMX53)显著抑制了EV - A71诱导的星形胶质细胞活化和促炎细胞因子(如CXCL1)的产生。接下来,在小鼠星形胶质细胞中证实了C5a - C5aR1轴的激活。与C5aR1基因敲除小鼠相比,野生型小鼠在EV - A71感染后表现出更严重的症状和更低的存活率。C5aR1缺乏或阻断显著减少了EV - A71诱导的小鼠脑病理损伤和促炎细胞因子的产生。重要的是,可溶性C5a水平的升高与EV - A71感染患者的症状严重程度密切相关。通过共聚焦显微镜、原代星形胶质细胞和人体标本,我们观察到CXCL1水平的升高主要源于星形胶质细胞。中和CXCL1显著减轻了EV - A71感染引起的神经病理变化,并且星形胶质细胞中CXCL1的产生受p38丝裂原活化蛋白激酶(p38 MAPK)信号通路调控。综上所述,我们的研究结果表明,星形胶质细胞中C5a - C5aR1轴的激活促进了EV - A71感染导致的神经病理变化,强调了p38 MAPK介导的CXCL1产生在这些改变中的潜在作用。

重要性

肠道病毒A71(EV - A71)是一种常见的具有高度神经侵袭倾向的小RNA病毒。我们之前的研究认为EV - A71可感染星形胶质细胞并导致补体激活。在本研究中,我们研究了补体如何与星形胶质细胞相互作用,以在EV - A71感染后促进严重的炎症反应。不出所料,我们的数据表明,EV - A71在星形胶质细胞中触发了C5a - C5aR1轴的强烈激活,并且在暴露于致死剂量EV - A71的动物中敲除或阻断C5aR1通过减少趋化因子CXCL1和白细胞介素 - 6(IL - 6)的产生显著提高了存活率。此外,中和CXCL1显著减轻了EV - A71感染引起的神经病理发生。因此,抑制C5a - C5aR1轴已成为减轻EV - A71感染所致神经损伤的一种潜在治疗策略。

https://cdn.ncbi.nlm.nih.gov/pmc/blobs/c0b8/11784463/a3264fcecdcd/jvi.01514-24.f001.jpg

文献AI研究员

20分钟写一篇综述,助力文献阅读效率提升50倍。

立即体验

用中文搜PubMed

大模型驱动的PubMed中文搜索引擎

马上搜索

文档翻译

学术文献翻译模型,支持多种主流文档格式。

立即体验