Suppr超能文献

用于腹部立体定向体部放疗中靶区勾画的同步对比增强4DCT模拟

Synchronized Contrast-Enhanced 4DCT Simulation for Target Volume Delineation in Abdominal SBRT.

作者信息

Faccenda Valeria, Panizza Denis, Niespolo Rita Marina, Colciago Riccardo Ray, Rossano Giulia, De Sanctis Lorenzo, Gandola Davide, Ippolito Davide, Arcangeli Stefano, De Ponti Elena

机构信息

Medical Physics Department, Fondazione IRCCS San Gerardo dei Tintori, 20900 Monza, Italy.

School of Medicine and Surgery, University of Milan Bicocca, 20126 Milan, Italy.

出版信息

Cancers (Basel). 2024 Dec 4;16(23):4066. doi: 10.3390/cancers16234066.

Abstract

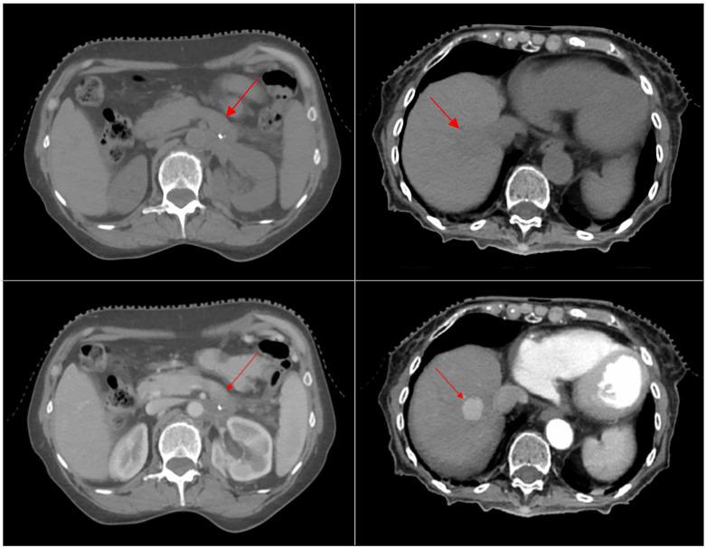
To present the technical aspects of contrast-enhanced 4DCT (ce4DCT) simulation for abdominal SBRT. Twenty-two patients underwent two sequential 4DCT scans: one baseline and one contrast-enhanced with personalized delay time () calculated to capture the tumor in the desired contrast phase, based on diagnostic triple-phase CT. The internal target volume (ITV) was delineated on ten contrast phases, and a panel of three experts qualitatively evaluated tumor visibility. Aortic HU values were measured to refine the for subsequent patients. The commonly used approach of combining triple-phase CT with unenhanced 4DCT was simulated, and differences in target delineation were evaluated by volume, centroid shift, Dice and Jaccard indices, and mean distance agreement (MDA). The margins required to account for motion were calculated. The ce4DCT acquisitions substantially improved tumor visibility over the entire breathing cycle in 20 patients, according to the experts' unanimous evaluation. The median contrast peak time was 54.5 s, and the washout plateau was observed at 70.3 s, with mean peak and plateau HU values of 292 ± 59 and 169 ± 25. The volumes from the commonly used procedure (ITV2) were significantly smaller than the ce4DCT volumes (ITV1) ( = 0.045). The median centroid shift was 4.7 mm. The ITV1-ITV2 overlap was 69% (Dice index), 53% (Jaccard index), and 2.89 mm (MDA), with the liver volumes showing significantly lower indices compared to the pancreatic volumes ( ≤ 0.011). The margins required to better encompass ITV1 were highly variable, with mean values ≥ 4 mm in all directions except for the left-right axis. The ce4DCT simulation was feasible, resulting in optimal tumor enhancement with minimal resource investment, while significantly mitigating uncertainties in SBRT planning by addressing poor visibility and respiratory motion. Triple-phase 3DCT with unenhanced 4DCT led to high variability in target delineation, making the isotropic margins ineffective.

摘要

介绍腹部立体定向体部放疗(SBRT)的对比增强4DCT(ce4DCT)模拟的技术方面。22例患者接受了两次连续的4DCT扫描:一次为基线扫描,一次为对比增强扫描,根据诊断性三相CT计算个性化延迟时间(),以在所需的对比期捕获肿瘤。在十个对比期勾画内部靶区(ITV),由三名专家组成的小组对肿瘤可视性进行定性评估。测量主动脉HU值以优化后续患者的。模拟了将三相CT与非增强4DCT相结合的常用方法,并通过体积、质心移位、Dice和Jaccard指数以及平均距离一致性(MDA)评估靶区勾画的差异。计算了考虑运动所需的边界。根据专家的一致评估,ce4DCT采集在20例患者的整个呼吸周期中显著提高了肿瘤可视性。对比峰值时间中位数为54.5秒,在70.3秒观察到洗脱平台期,平均峰值和平台期HU值分别为292±59和169±25。常用方法(ITV2)的体积明显小于ce4DCT体积(ITV1)(=0.045)。质心移位中位数为4.7毫米。ITV1与ITV2的重叠率为69%(Dice指数)、53%(Jaccard指数)和2.89毫米(MDA),肝脏体积的各项指数明显低于胰腺体积(≤0.011)。更好地包围ITV1所需的边界高度可变,除左右轴外,所有方向的平均值≥4毫米。ce4DCT模拟是可行的,以最小的资源投入实现了最佳的肿瘤增强,同时通过解决可视性差和呼吸运动问题,显著降低了SBRT计划中的不确定性。三相3DCT与非增强4DCT导致靶区勾画的高度变异性,使得各向同性边界无效。

https://cdn.ncbi.nlm.nih.gov/pmc/blobs/8602/11640477/09926306558b/cancers-16-04066-g001.jpg

文献AI研究员

20分钟写一篇综述,助力文献阅读效率提升50倍。

立即体验

用中文搜PubMed

大模型驱动的PubMed中文搜索引擎

马上搜索

文档翻译

学术文献翻译模型,支持多种主流文档格式。

立即体验