Suppr超能文献

壳聚糖与鱼油对高脂低碳水化合物饮食大鼠脂质代谢的协同作用

Synergistic Effects of Chitosan and Fish Oil on Lipid Metabolism in Rats Fed a High-Fat and Low-Carbohydrate Diet.

作者信息

Liu Shing-Hwa, Chang Ting-Yu, Liu Shih-Hou, Chiang Meng-Tsan

机构信息

Graduate Institute of Toxicology, College of Medicine, National Taiwan University, Taipei 10051, Taiwan.

Department of Pediatrics, College of Medicine, National Taiwan University Hospital, Taipei 10041, Taiwan.

出版信息

Nutrients. 2024 Nov 27;16(23):4080. doi: 10.3390/nu16234080.

Abstract

BACKGROUND/OBJECTIVES: Although high-fat, low-carbohydrate diets are used for weight loss and type 2 diabetes management, their high-fat content may have negative effects. This study examines the effects of replacing cellulose with chitosan and part of the fat with fish oil in a high-fat, low-carbohydrate diet on lipid metabolism in rats.

METHODS

The experiment involved 35 six-week-old male SD rats, divided into five groups: normal control diet (ND), high-fat diet (HF), high-fat, low-carbohydrate diet (LC), LC with 5% chitosan (LC-CH), and LC with 5% chitosan and 5% fish oil (LC-CHF).

RESULTS

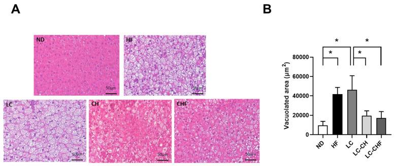
After 15 weeks, the HF group had the highest liver weight, and the LC group had the highest adipose tissue weight. The LC-CHF group showed significantly reduced body, liver, and adipose tissue weights, lower ALT, AST, TNF-α, and cholesterol levels, as well as improved liver enzyme activity and fat synthesis regulation. LC-CHF also promoted fat breakdown in adipose tissue, reducing adipocyte size.

CONCLUSIONS

Our findings suggest the modified high-fat, low-carbohydrate diet with chitosan and fish oil improved obesity and fatty liver outcomes compared to a standard high-fat diet.

摘要

背景/目的:尽管高脂肪、低碳水化合物饮食被用于减肥和2型糖尿病的管理,但其高脂肪含量可能会产生负面影响。本研究探讨在高脂肪、低碳水化合物饮食中用壳聚糖替代纤维素并将部分脂肪替换为鱼油对大鼠脂质代谢的影响。

方法

实验涉及35只六周龄雄性SD大鼠,分为五组:正常对照饮食(ND)、高脂肪饮食(HF)、高脂肪、低碳水化合物饮食(LC)、含5%壳聚糖的LC(LC-CH)和含5%壳聚糖及5%鱼油的LC(LC-CHF)。

结果

15周后,HF组肝脏重量最高,LC组脂肪组织重量最高。LC-CHF组的体重、肝脏和脂肪组织重量显著降低,谷丙转氨酶(ALT)、谷草转氨酶(AST)、肿瘤坏死因子-α(TNF-α)和胆固醇水平较低,同时肝脏酶活性和脂肪合成调节得到改善。LC-CHF还促进了脂肪组织中的脂肪分解,减小了脂肪细胞大小。

结论

我们的研究结果表明,与标准高脂肪饮食相比,用壳聚糖和鱼油改良的高脂肪、低碳水化合物饮食改善了肥胖和脂肪肝状况。

https://cdn.ncbi.nlm.nih.gov/pmc/blobs/45cc/11643443/d1ebd086fabd/nutrients-16-04080-g001.jpg

文献AI研究员

20分钟写一篇综述,助力文献阅读效率提升50倍。

立即体验

用中文搜PubMed

大模型驱动的PubMed中文搜索引擎

马上搜索

文档翻译

学术文献翻译模型,支持多种主流文档格式。

立即体验