Suppr超能文献

阻断自噬体封闭揭示了哺乳动物Atg8家族蛋白在营养饥饿期间吞噬泡形成和扩张中的作用。

Blocking autophagosome closure manifests the roles of mammalian Atg8-family proteins in phagophore formation and expansion during nutrient starvation.

作者信息

Bui Van, Liang Xinwen, Ye Yansheng, Giang William, Tian Fang, Takahashi Yoshinori, Wang Hong-Gang

机构信息

Division of Pediatric Hematology and Oncology, Department of Pediatrics, The Pennsylvania State University College of Medicine, Hershey, PA, USA.

Department of Biochemistry and Molecular Biology, The Pennsylvania State University College of Medicine, Hershey, PA, USA.

出版信息

Autophagy. 2025 May;21(5):1059-1074. doi: 10.1080/15548627.2024.2443300. Epub 2025 Jan 20.

Abstract

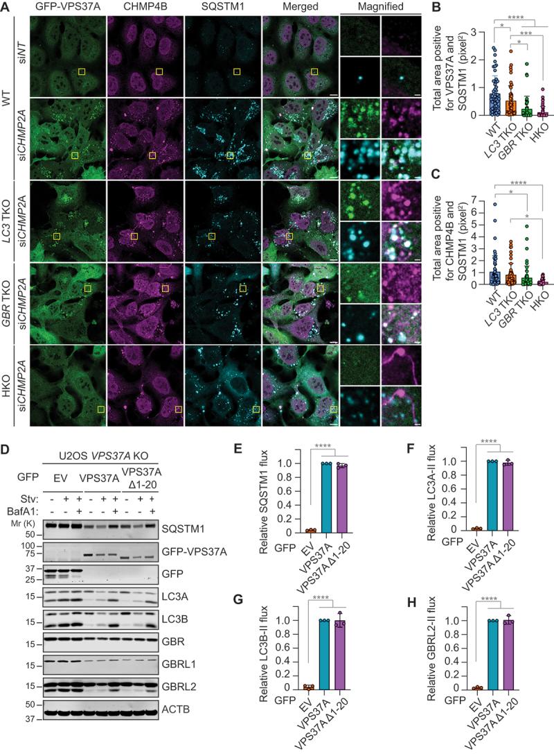
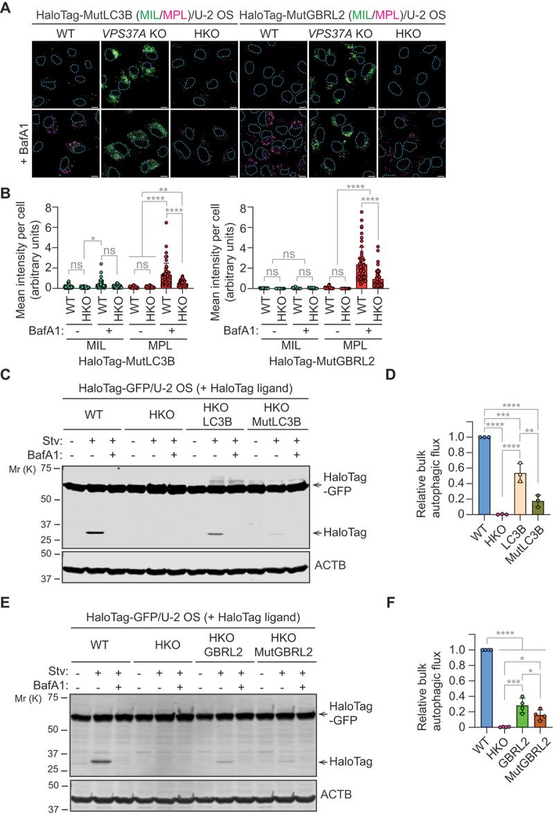
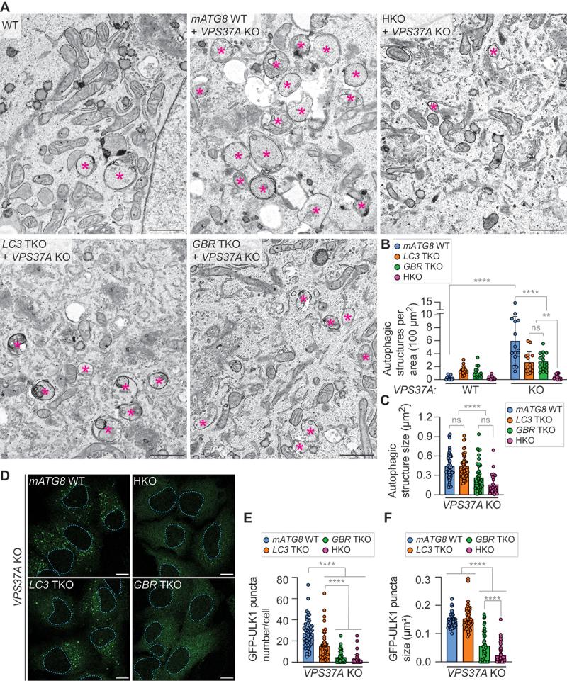
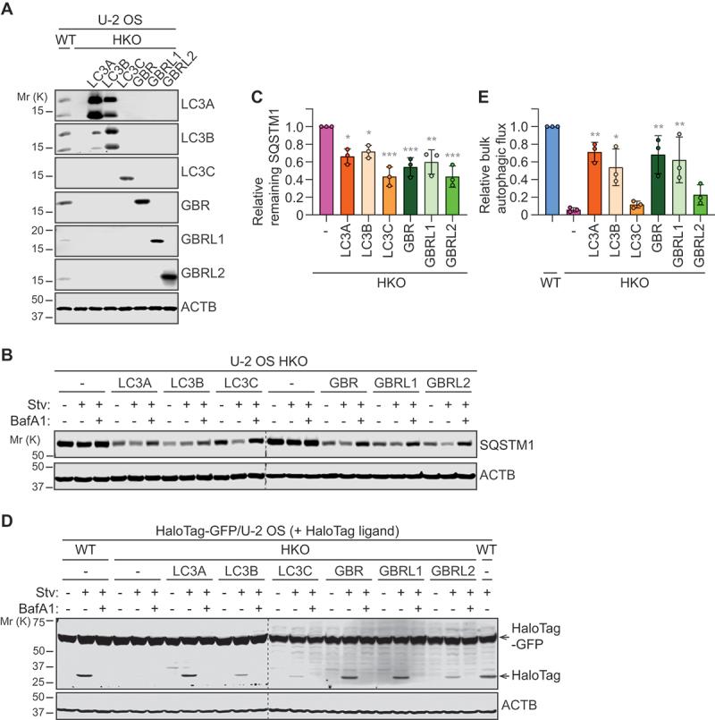
Macroautophagy/autophagy, an evolutionarily conserved cellular degradation pathway, involves phagophores that sequester cytoplasmic constituents and mature into autophagosomes for subsequent lysosomal delivery. The gene family, comprising the and subfamilies in mammals, encodes ubiquitin-like proteins that are conjugated to phagophore membranes during autophagosome biogenesis. A central question in the field is how Atg8-family proteins are precisely involved in autophagosome formation, which remains controversial and challenging, at least in part due to the short lifespan of phagophores. In this study, we depleted the autophagosome closure regulator VPS37A to arrest autophagy at the vesicle completion step and determined the roles of mammalian Atg8-family proteins (mATG8s) in nutrient starvation-induced autophagosome biogenesis. Our investigation revealed that loss hinders phagophore formation, while loss impedes both phagophore formation and expansion. The defect in membrane expansion by loss appears to be attributed to compromised recruitment of ATG proteins containing an LC3-interacting region (LIR), including ULK1 and ATG3. Moreover, a combined deficiency of both and subfamilies nearly completely inhibits phagophore formation, highlighting their redundant regulation of this process. Consequently, cells lacking all members exhibit defects in downstream events such as ESCRT recruitment and autophagic flux. Collectively, these findings underscore the critical roles of mammalian Atg8-family proteins in phagophore formation and expansion during autophagy.: AIM: Atg8-family interacting motif; ADS: Atg8-interacting motif docking site; ATG: autophagy related; BafA1: bafilomycin A; CL: control; ESCRT: endosomal sorting complex required for transport; FACS: fluorescence activated cell sorting; GBR: GABARAP; GBRL1: GABARAPL1; GBRL2: GABARAPL2; GBRL3: GABARAPL3; HKO: hexa-knockout; IP: immunoprecipitation; KO: knockout; LDS: LC3-interacting-region docking site; LIR: LC3-interacting region; mATG8: mammalian Atg8-family protein; MIL: membrane-impermeable ligands; MPL: membrane-permeable ligands; RT: room temperature; Stv: starved; TKO: triple-knockout; TMR: tetramethylrhodamine; UEVL: ubiquitin E2 variant-like; WCLs: whole cell lysates; WT: wild-type.

摘要

巨自噬/自噬是一种进化上保守的细胞降解途径,涉及吞噬泡,其隔离细胞质成分并成熟为自噬体以便随后进行溶酶体转运。该基因家族在哺乳动物中由 和 亚家族组成,编码泛素样蛋白,这些蛋白在自噬体生物发生过程中与吞噬泡膜结合。该领域的一个核心问题是Atg8家族蛋白如何精确参与自噬体形成,这仍然存在争议且具有挑战性,至少部分原因是吞噬泡寿命较短。在本研究中,我们耗尽了自噬体封闭调节因子VPS37A以在囊泡完成步骤阻止自噬,并确定了哺乳动物Atg8家族蛋白(mATG8s)在营养饥饿诱导的自噬体生物发生中的作用。我们的研究表明, 的缺失会阻碍吞噬泡形成,而 的缺失会同时阻碍吞噬泡形成和扩展。 缺失导致的膜扩展缺陷似乎归因于含有LC3相互作用区域(LIR)的ATG蛋白(包括ULK1和ATG3)的募集受损。此外, 和 亚家族的联合缺陷几乎完全抑制吞噬泡形成,突出了它们对这一过程的冗余调节。因此,缺乏所有 成员的细胞在下游事件如ESCRT募集和自噬通量方面表现出缺陷。总的来说,这些发现强调了哺乳动物Atg8家族蛋白在自噬过程中吞噬泡形成和扩展中的关键作用。:AIM:Atg8家族相互作用基序;ADS:Atg8相互作用基序对接位点;ATG:自噬相关;BafA1:巴弗洛霉素A;CL:对照;ESCRT:运输所需的内体分选复合物;FACS:荧光激活细胞分选;GBR:GABARAP;GBRL1:GABARAPL1;GBRL2:GABARAPL2;GBRL3:GABARAPL3;HKO:六重敲除;IP:免疫沉淀;KO:敲除;LDS:LC3相互作用区域对接位点;LIR:LC3相互作用区域;mATG8:哺乳动物Atg8家族蛋白;MIL:膜不可渗透配体;MPL:膜可渗透配体;RT:室温;Stv:饥饿;TKO:三重敲除;TMR:四甲基罗丹明;UEVL:泛素E2变体样;WCLs:全细胞裂解物;WT:野生型。

https://cdn.ncbi.nlm.nih.gov/pmc/blobs/7438/12013414/2f7edb435bd7/KAUP_A_2443300_F0001_C.jpg

文献AI研究员

20分钟写一篇综述,助力文献阅读效率提升50倍。

立即体验

用中文搜PubMed

大模型驱动的PubMed中文搜索引擎

马上搜索

文档翻译

学术文献翻译模型,支持多种主流文档格式。

立即体验