Suppr超能文献

水飞蓟宾通过调节铁稳态和内质网应激抵抗铁死亡在减轻主动脉夹层中的双重作用。

Dual functions of silibinin in attenuating aortic dissection via regulating iron homeostasis and endoplasmic reticulum stress against ferroptosis.

作者信息

Qi Zhen, Wang Qiu-Guo, Huang Meng-Xi, Zeng Yi-Fan, Li Jing-Yu, Duan Zhi-Cheng, Tan Ling, Tang Hao

机构信息

Department of Cardiovascular Surgery, the Second Xiangya Hospital, Central South University, Changsha, China.

Jinshan Hospital, Fudan University, Shanghai, China.

出版信息

Cell Death Dis. 2024 Dec 18;15(12):900. doi: 10.1038/s41419-024-07309-x.

Abstract

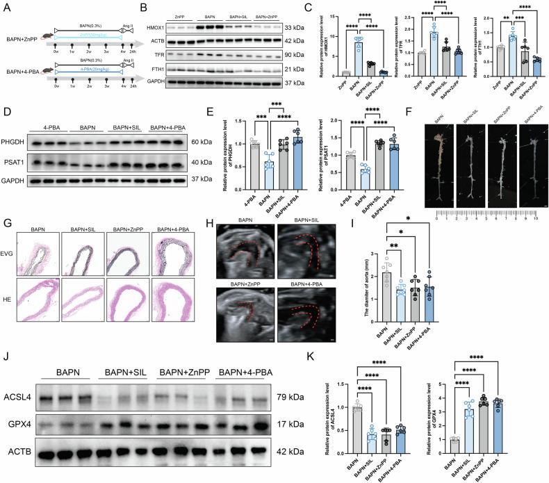
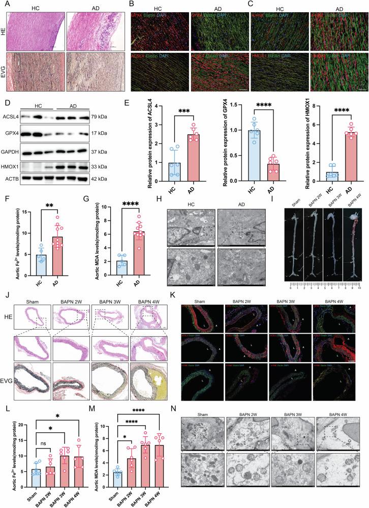
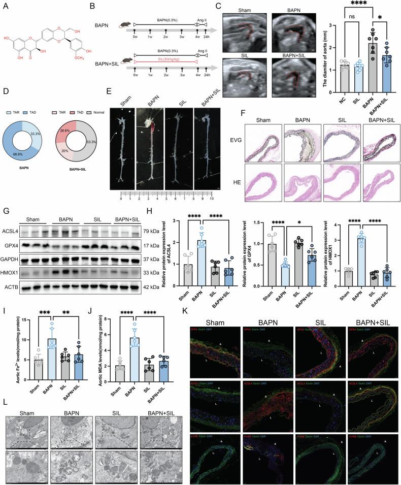
Aortic dissection (AD) poses a significant threat to cardiovascular health globally, yet its underlying mechanisms remain elusive. Smooth muscle cells death and phenotypic switching are critically important pathological processes in AD. Currently, no pharmacological therapies have proven effective in managing AD. This study aims to elucidate the involvement of ferroptosis in AD progression and explore ferroptosis inhibition as a potential therapeutic approach for AD management. Elevated expression of ferroptosis markers (HMOX1, ACSL4, and 4-HNE) was observed in AD patients and β-Aminopropionitrile (BAPN)-induced mice. In vivo administration of silibinin (SIL) attenuated aortic dilation, inflammation, mitochondrial injury, and ferroptosis. SIL treatment enhanced cell viability and mitochondrial function while reducing reactive oxygen species (ROS) generation and mitigating ferroptosis in primary human aortic smooth muscle cells (HASMCs) induced by RSL3 or IKE. Mechanistically, RNA-sequencing analysis identified dysregulation of iron homeostasis and endoplasmic reticulum stress, which were modulated by SIL. Molecular docking, cellular thermal shift assay, drug affinity responsive target stability, and surface plasmon resonance analysis confirmed HMOX1 as a direct target of SIL, highlighting its role in modulating iron homeostasis. Moreover, NCT-502, a PHGDH inhibitor, reversed the protective effect of SIL in RSL3-induced HASMCs. Conversely, 4-PBA and ZnPP demonstrate a facilitative role. This suggests that SIL plays a crucial role in ferroptosis development by modulating iron homeostasis and endoplasmic reticulum stress-mediated serine biosynthesis, both in vitro and in vivo. Iron homeostasis and endoplasmic reticulum stress of HASMCs drive the development of aortic dissection. These findings unveil a novel role of SIL in mitigating ferroptosis in HASMCs, offering a promising therapeutic avenue for treating AD.

摘要

主动脉夹层(AD)对全球心血管健康构成重大威胁,但其潜在机制仍不清楚。平滑肌细胞死亡和表型转换是AD中至关重要的病理过程。目前,尚无药物疗法被证明对AD有效。本研究旨在阐明铁死亡在AD进展中的作用,并探索抑制铁死亡作为AD治疗的潜在方法。在AD患者和β-氨基丙腈(BAPN)诱导的小鼠中观察到铁死亡标志物(HMOX1、ACSL4和4-HNE)表达升高。体内给予水飞蓟宾(SIL)可减轻主动脉扩张、炎症、线粒体损伤和铁死亡。SIL处理可提高细胞活力和线粒体功能,同时减少活性氧(ROS)生成,并减轻RSL3或IKE诱导的原代人主动脉平滑肌细胞(HASMCs)中的铁死亡。从机制上讲,RNA测序分析确定了铁稳态和内质网应激的失调,这些失调由SIL调节。分子对接、细胞热转移分析、药物亲和反应靶点稳定性和表面等离子体共振分析证实HMOX1是SIL的直接靶点,突出了其在调节铁稳态中的作用。此外,PHGDH抑制剂NCT-502逆转了SIL对RSL3诱导的HASMCs的保护作用。相反, 4-PBA和ZnPP显示出促进作用。这表明SIL在体外和体内通过调节铁稳态和内质网应激介导的丝氨酸生物合成在铁死亡发展中起关键作用。HASMCs的铁稳态和内质网应激驱动主动脉夹层的发展。这些发现揭示了SIL在减轻HASMCs铁死亡中的新作用,为治疗AD提供了一条有前景的治疗途径。

https://cdn.ncbi.nlm.nih.gov/pmc/blobs/32c7/11655547/251cf47cf0a2/41419_2024_7309_Fig1_HTML.jpg

文献AI研究员

20分钟写一篇综述,助力文献阅读效率提升50倍。

立即体验

用中文搜PubMed

大模型驱动的PubMed中文搜索引擎

马上搜索

文档翻译

学术文献翻译模型,支持多种主流文档格式。

立即体验