Suppr超能文献

ERBB2/HOXB13共扩增伴BRCA1间质缺失定义了一种独特的乳腺癌亚型。

ERBB2/HOXB13 co-amplification with interstitial loss of BRCA1 defines a unique subset of breast cancers.

作者信息

Mitsiades Irene Rin, Onozato Maristela, Iafrate A John, Hicks Daniel, Gülhan Doğa C, Sgroi Dennis C, Rheinbay Esther

机构信息

Krantz Family Center for Cancer Research, Massachusetts General Hospital Cancer Center, Charlestown, MA, 02129, USA.

Vertex Pharmaceuticals, Preclinical Safety Assessment, Pathology, 316 Northern Ave, Boston, MA, 02210, USA.

出版信息

Breast Cancer Res. 2024 Dec 18;26(1):185. doi: 10.1186/s13058-024-01943-1.

Abstract

BACKGROUND

The HOXB13/IL17RB gene expression biomarker has been shown to predict response to adjuvant and extended endocrine therapy in patients with early-stage ER+ HER2- breast tumors. HOXB13 gene expression is the primary determinant driving the prognostic and endocrine treatment-predictive performance of the biomarker. Currently, there is limited data on HOXB13 expression in HER2+ and ER- breast cancers. Herein, we studied the expression of HOXB13 in large cohorts of HER2+ and ER- breast cancers.

METHODS

We investigated gene expression, genomic copy number, mutational signatures, and clinical outcome data in the TGGA and METABRIC breast cancer cohorts. Genomic-based gene amplification data was validated with tri-colored fluorescence in situ hybridization.

RESULTS

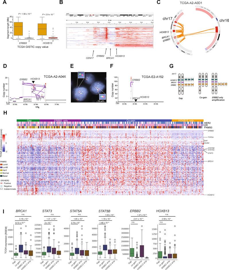
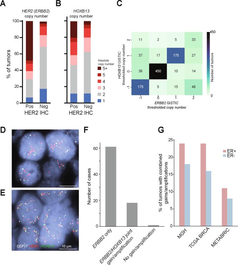
In the TCGA breast cancer cohort, HOXB13 gene expression was significantly higher in HER2+ versus HER2- breast cancers, and its expression was also significantly higher in the ER- versus ER+ breast cancers. HOXB13 is frequently co-gained or co-amplified with ERBB2. Joint copy gains of HOXB13 and ERBB2 occurred with low-level co-gains or high-level co-amplifications (co-amp), the latter of which is associated with an interstitial loss that includes the tumor suppressor BRCA1. ERBB2/HOXB13 co-amp tumors with interstitial BRCA1 loss exhibit a mutational signature associated with APOBEC deaminase activity and copy number signatures associated with chromothripsis and genomic instability. Among ERBB2-amplified tumors of different tissue origins, ERBB2/HOXB13 co-amp with a BRCA1 loss appeared to be enriched in breast cancer compared to other tumor types. Lastly, patients with ERBB2/HOXB13 co-amplified and BRCA1 lost tumors displayed a significantly shorter progression-free survival (PFS) than those with ERBB2-only amplifications. The difference in PFS was restricted to the ER- subset patients and this difference in PFS was not solely driven by HOXB13 gene expression.

CONCLUSIONS

HOXB13 is frequently co-gained with ERBB2 at both low-copy number level or as complex high-level amplification with relative BRCA1 loss. ERBB2/HOXB13 amplified, BRCA1-lost tumors are strongly enriched in breast cancer, and patients with such breast tumors experience a shortened PFS.

摘要

背景

HOXB13/IL17RB基因表达生物标志物已被证明可预测早期ER+ HER2-乳腺癌患者对辅助内分泌治疗和延长内分泌治疗的反应。HOXB13基因表达是驱动该生物标志物预后和内分泌治疗预测性能的主要决定因素。目前,关于HER2+ 和ER-乳腺癌中HOXB13表达的数据有限。在此,我们研究了HER2+ 和ER-乳腺癌大样本队列中HOXB13的表达情况。

方法

我们调查了TGGA和METABRIC乳腺癌队列中的基因表达、基因组拷贝数、突变特征和临床结局数据。基于基因组的基因扩增数据通过三色荧光原位杂交进行验证。

结果

在TCGA乳腺癌队列中,HER2+ 乳腺癌中HOXB13基因表达显著高于HER2-乳腺癌,ER-乳腺癌中HOXB13基因表达也显著高于ER+ 乳腺癌。HOXB13经常与ERBB2共同获得或共同扩增。HOXB13和ERBB2的联合拷贝增加以低水平共同获得或高水平共同扩增(共扩增)的形式出现,后者与包括肿瘤抑制因子BRCA1在内的间质缺失有关。伴有间质BRCA1缺失的ERBB2/HOXB13共扩增肿瘤表现出与APOBEC脱氨酶活性相关的突变特征以及与染色体碎裂和基因组不稳定相关的拷贝数特征。在不同组织来源的ERBB2扩增肿瘤中,与其他肿瘤类型相比,伴有BRCA1缺失的ERBB2/HOXB13共扩增在乳腺癌中似乎更为富集。最后,ERBB2/HOXB13共扩增且BRCA1缺失的肿瘤患者的无进展生存期(PFS)明显短于仅ERBB2扩增的患者。PFS的差异仅限于ER-亚组患者,且PFS的这种差异并非仅由HOXB13基因表达驱动。

结论

HOXB13经常在低拷贝数水平与ERBB2共同获得,或作为伴有相对BRCA1缺失的复杂高水平扩增。ERBB2/HOXB13扩增且BRCA1缺失的肿瘤在乳腺癌中高度富集,患有此类乳腺肿瘤的患者PFS缩短。

https://cdn.ncbi.nlm.nih.gov/pmc/blobs/0fc6/11657829/ee70685cc0f0/13058_2024_1943_Fig1_HTML.jpg

文献AI研究员

20分钟写一篇综述,助力文献阅读效率提升50倍。

立即体验

用中文搜PubMed

大模型驱动的PubMed中文搜索引擎

马上搜索

文档翻译

学术文献翻译模型,支持多种主流文档格式。

立即体验