Suppr超能文献

HOXB13的强核表达是一种可靠的替代标志物,用于DNA甲基化组分析,以区分黏液乳头型室管膜瘤与脊髓室管膜瘤。

Strong nuclear expression of HOXB13 is a reliable surrogate marker for DNA methylome profiling to distinguish myxopapillary ependymoma from spinal ependymoma.

作者信息

Purkait Suvendu, Praeger Sophia, Felsberg Jörg, Pauck David, Kaulich Kerstin, Wolter Marietta, Koppstein David, Reifenberger Guido

机构信息

Department of Pathology and Laboratory Medicine, All India Institute of Medical Sciences, Bhubaneswar, Odisha, India.

Institute of Neuropathology, Heinrich Heine University Medical Faculty and University Hospital Düsseldorf, Moorenstraße 5, 40225, Düsseldorf, Germany.

出版信息

Acta Neuropathol. 2025 Mar 26;149(1):29. doi: 10.1007/s00401-025-02866-7.

Abstract

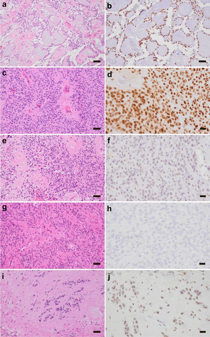
Spinal ependymoma and myxopapillary ependymoma are the two most common spinal ependymal tumor types that feature distinct histological characteristics, genetic alterations and DNA methylation profiles. Their histological distinction may be difficult in individual cases and molecular diagnostic assessment, in particular DNA methylome profiling, may then be required to assign the correct diagnosis. Expression of the homeobox gene HOXB13 at the mRNA and protein levels has been reported as a frequent finding in myxopapillary ependymoma that may serve as a diagnostic marker for these tumors. Here, we evaluated the diagnostic role of HOXB13 immunostaining in 143 spinal neoplasms, comprising 54 histologically classified myxopapillary ependymomas, 46 histologically classified spinal ependymomas, and various other tumor types. Immunohistochemical results for HOXB13 protein were compared to molecular findings obtained by bead array-based DNA methylation and DNA copy number profiling, as well as next generation gene panel sequencing-based mutational analysis. Our findings indicate strong nuclear HOXB13 expression as a reliable diagnostic marker for molecularly confirmed myxopapillary ependymoma. Moreover, we provide evidence that differential HOXB13 protein expression is related to differential HOXB13-associated CpG site methylation in myxopapillary vs. spinal ependymomas, which can be assessed by targeted DNA methylation analysis. Taken together, immunohistochemistry for HOXB13 protein expression and targeted DNA methylation analysis of HOXB13 represent useful surrogate approaches that may substitute for DNA methylome profiling in routine diagnostics and facilitate precise classification of spinal ependymal tumors. In particular, strong nuclear HOXB13 immunoreactivity may serve as a novel diagnostic criterion for the classification of myxopapillary ependymoma.

摘要

脊髓室管膜瘤和黏液乳头型室管膜瘤是两种最常见的脊髓室管膜瘤类型,具有不同的组织学特征、基因改变和DNA甲基化谱。在个别病例中,它们的组织学区分可能困难,此时可能需要进行分子诊断评估,特别是DNA甲基化组分析,以做出正确诊断。据报道,同源框基因HOXB13在mRNA和蛋白质水平的表达在黏液乳头型室管膜瘤中经常出现,可作为这些肿瘤的诊断标志物。在此,我们评估了HOXB13免疫染色在143例脊髓肿瘤中的诊断作用,这些肿瘤包括54例组织学分类为黏液乳头型室管膜瘤、46例组织学分类为脊髓室管膜瘤以及各种其他肿瘤类型。将HOXB13蛋白的免疫组化结果与基于微珠阵列的DNA甲基化和DNA拷贝数分析以及基于下一代基因panel测序的突变分析所获得的分子结果进行比较。我们的研究结果表明,HOXB13在细胞核中的强表达是分子确诊的黏液乳头型室管膜瘤的可靠诊断标志物。此外,我们提供证据表明,在黏液乳头型室管膜瘤与脊髓室管膜瘤中,HOXB13蛋白表达差异与HOXB13相关CpG位点甲基化差异有关,这可通过靶向DNA甲基化分析进行评估。综上所述,HOXB13蛋白表达的免疫组化和HOXB13的靶向DNA甲基化分析是有用的替代方法,可在常规诊断中替代DNA甲基化组分析,并有助于脊髓室管膜瘤的精确分类。特别是,HOXB13强核免疫反应性可作为黏液乳头型室管膜瘤分类的新诊断标准。

https://cdn.ncbi.nlm.nih.gov/pmc/blobs/add4/11947044/268ed8aad0b2/401_2025_2866_Fig1_HTML.jpg

文献AI研究员

20分钟写一篇综述,助力文献阅读效率提升50倍。

立即体验

用中文搜PubMed

大模型驱动的PubMed中文搜索引擎

马上搜索

文档翻译

学术文献翻译模型,支持多种主流文档格式。

立即体验