Suppr超能文献

C21ORF2突变表明肌萎缩侧索硬化症存在原发性纤毛功能障碍。

C21ORF2 mutations point towards primary cilia dysfunction in amyotrophic lateral sclerosis.

作者信息

De Decker Mathias, Zelina Pavol, Moens Thomas G, Beckers Jimmy, Contardo Matilde, Dittlau Katarina Stoklund, Van Schoor Evelien, Ronisz Alicja, Eggermont Kristel, Moisse Matthieu, Chandran Siddharthan, Veldink Jan H, Thal Dietmar Rudolf, Van Den Bosch Ludo, Pasterkamp R Jeroen, Van Damme Philip

机构信息

Department of Neurosciences, Laboratory of Neurobiology and Leuven Brain Institute (LBI), KU Leuven-University of Leuven, 3000 Leuven, Belgium.

VIB, Center for Brain & Disease Research, 3000 Leuven, Belgium.

出版信息

Brain. 2025 Mar 6;148(3):803-816. doi: 10.1093/brain/awae331.

Abstract

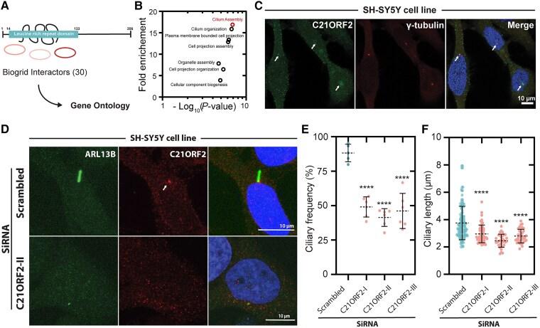
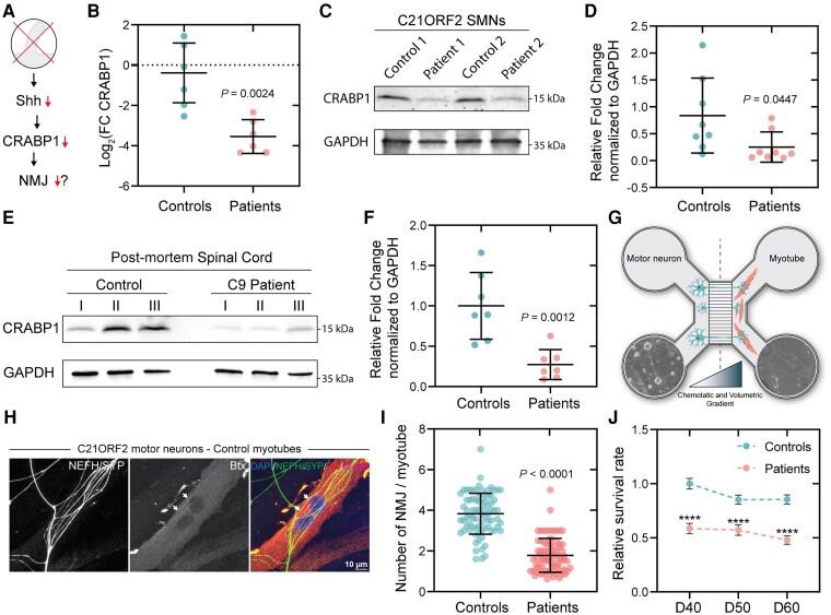
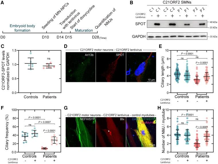
Progressive loss of motor neurons is the hallmark of the neurodegenerative disease amyotrophic lateral sclerosis (ALS), but the underlying disease mechanisms remain incompletely understood. In this study, we investigate the effects of C21ORF2 mutations, a gene recently linked to ALS, and find that primary cilia are dysfunctional. Human patient-derived mutant C21ORF2 motor neurons have a reduced ciliary frequency and length. We report that C21ORF2 is located at the basal body of the primary cilium, and mutations associated with ALS alter this localization. Furthermore, we show that a reduction of C21ORF2 levels in cell lines and motor neurons is sufficient to cause fewer primary cilia and reduced cilial length. This ciliary dysfunction leads to defective downstream sonic hedgehog signalling and reduces the expression of cellular retinoic acid binding protein 1 (CRABP1), a protein involved in motor neuron maintenance and survival. In a compartmentalized co-culture system of motor neurons and muscle cells, these ciliary defects were associated with a reduced ability of neuromuscular junction formation. Interestingly, these cilia defects are seemingly not restricted to C21ORF2 ALS, as we also observed perturbed primary cilia in cultured motor neurons and post-mortem motor cortex from patients with the most common genetic subtype of ALS caused by repeat expansions in the C9ORF72 gene. Finally, overexpression of C21ORF2 in mutant C21ORF2 motor neurons rescued the ciliary frequency and length, CRAPBP1 expression and neuromuscular junction formation, confirming the importance of primary cilia for motor neuron function. These results point towards primary cilia dysfunction contributing to motor neuron degeneration in ALS and open new avenues for further research and interventions for this as yet untreatable disease.

摘要

运动神经元的进行性丧失是神经退行性疾病肌萎缩侧索硬化症(ALS)的标志,但潜在的疾病机制仍未完全明确。在本研究中,我们调查了最近与ALS相关的基因C21ORF2突变的影响,发现初级纤毛功能失调。源自人类患者的突变型C21ORF2运动神经元的纤毛频率和长度降低。我们报告称C21ORF2位于初级纤毛的基体,与ALS相关的突变会改变这种定位。此外,我们表明细胞系和运动神经元中C21ORF2水平的降低足以导致初级纤毛数量减少和纤毛长度缩短。这种纤毛功能障碍导致下游音猬因子信号传导缺陷,并降低细胞视黄酸结合蛋白1(CRABP1)的表达,CRABP1是一种参与运动神经元维持和存活的蛋白质。在运动神经元和肌肉细胞的分隔共培养系统中,这些纤毛缺陷与神经肌肉接头形成能力降低有关。有趣的是,这些纤毛缺陷似乎并不局限于C21ORF2相关的ALS,因为我们在由C9ORF72基因重复扩增导致的最常见遗传亚型的ALS患者的培养运动神经元和死后运动皮层中也观察到了初级纤毛紊乱。最后,在突变型C21ORF2运动神经元中过表达C21ORF2可挽救纤毛频率和长度、CRAPBP1表达以及神经肌肉接头形成,证实了初级纤毛对运动神经元功能的重要性。这些结果表明初级纤毛功能障碍导致了ALS中的运动神经元变性,并为这种尚无治疗方法的疾病的进一步研究和干预开辟了新途径。

https://cdn.ncbi.nlm.nih.gov/pmc/blobs/6cc9/11884758/e18f65951694/awae331f1.jpg

文献AI研究员

20分钟写一篇综述,助力文献阅读效率提升50倍。

立即体验

用中文搜PubMed

大模型驱动的PubMed中文搜索引擎

马上搜索

文档翻译

学术文献翻译模型,支持多种主流文档格式。

立即体验