Suppr超能文献

神经元导向因子Sema3A在小鼠、猴子和人类膝关节软骨退变中抑制神经突向内生长并防止软骨细胞肥大。

Neuronal guidance factor Sema3A inhibits neurite ingrowth and prevents chondrocyte hypertrophy in the degeneration of knee cartilage in mice, monkeys and humans.

作者信息

Huang Shishu, Gao Dashuang, Li Zhenxia, He Hongchen, Yu Xi, You Xuanhe, Wu Diwei, Du Ze, Zeng Jiancheng, Shi Xiaojun, Hu Qinshen, Nie Yong, Zhang Zhong, Luo Zeyu, Wang Duan, Zhao Zhihe, Li Lingli, Wang Guanglin, Wang Liping, Zhou Zongke, Chen Di, Yang Fan

机构信息

Department of Orthopedics Surgery and Orthopedic Research Institute, National Clinical Research Center for Geriatrics, West China Hospital, Sichuan University, Chengdu, China.

The Guangdong Provincial Key Laboratory of Brain Connectome and Behavior, CAS Key Laboratory of Brain Connectome and Manipulation, the Brain Cognition and Brain Disease Institute (BCBDI), Shenzhen Institutes of Advanced Technology, Chinese Academy of Sciences; Shenzhen-Hong Kong Institute of Brain Science-Shenzhen Fundamental Research Institutions, Shenzhen, China.

出版信息

Bone Res. 2025 Jan 2;13(1):4. doi: 10.1038/s41413-024-00382-0.

Abstract

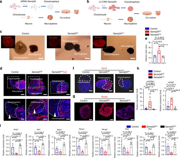
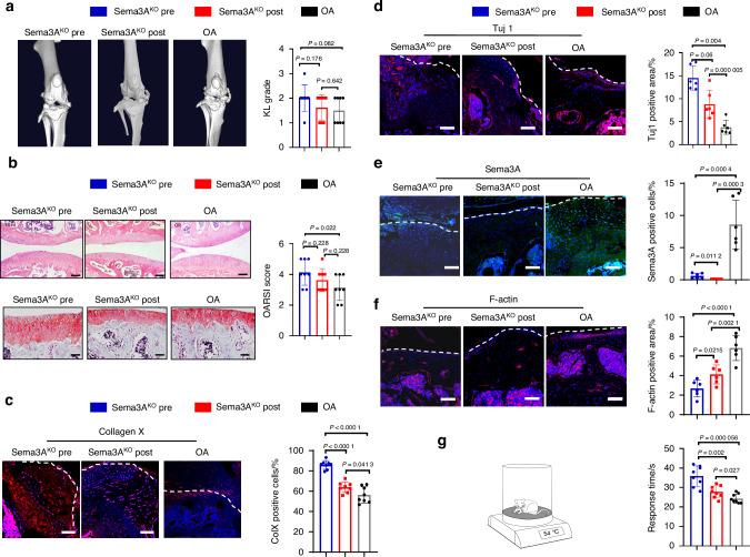
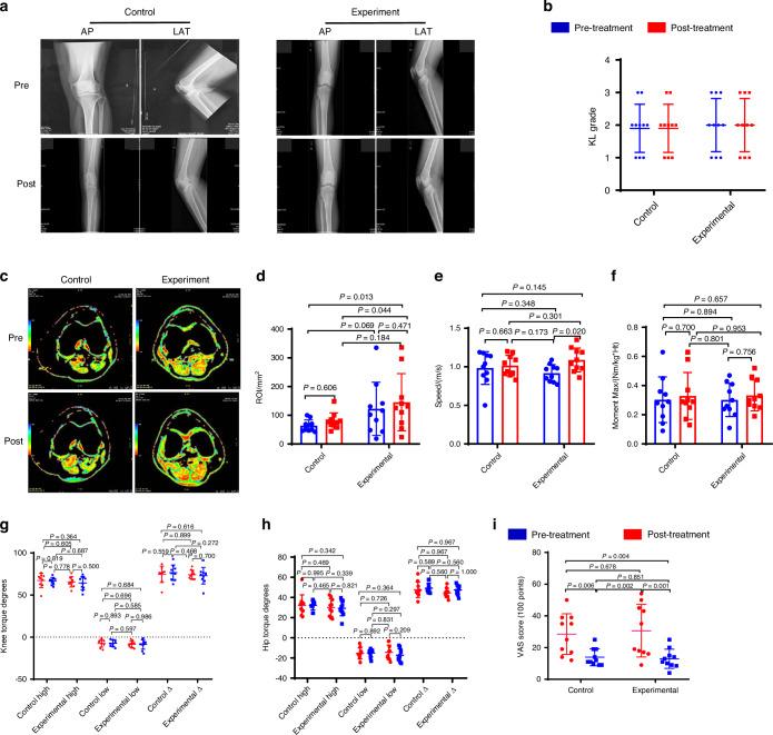
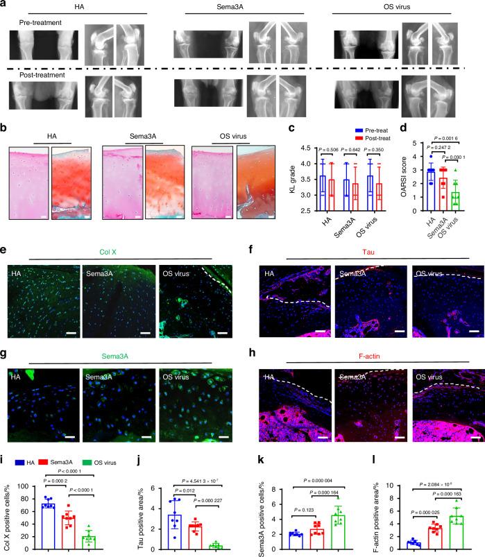
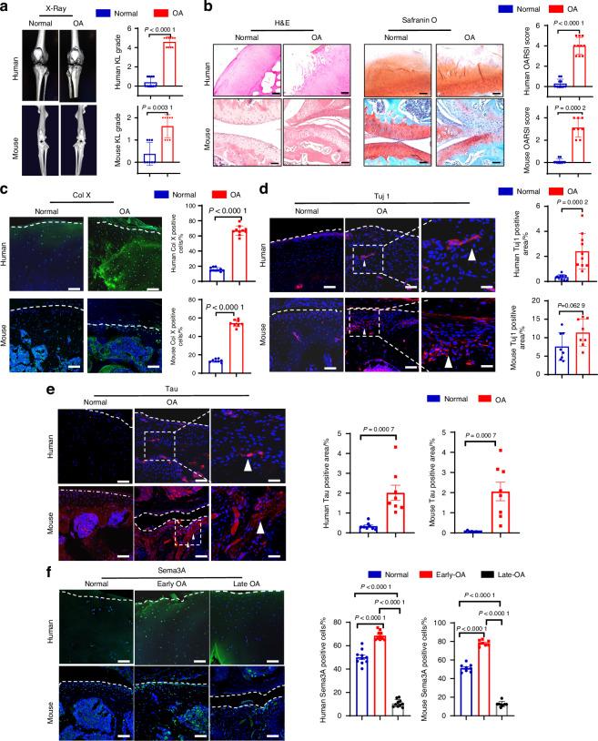
Osteoarthritis (OA) is a degenerative joint disease accompanied with the loss of cartilage and consequent nociceptive symptoms. Normal articular cartilage maintains at aneural state. Neuron guidance factor Semaphorin 3A (Sema3A) is a membrane-associated secreted protein with chemorepulsive properties for axons. However, the role of Sema3A in articular cartilage is still not clear. In the present studies, we investigated the functions of Sema3A in OA development in mice, non-human primates, and patients with OA. Sema3A has a protective effect on cartilage degradation, validated by the organoid culture in vitro and confirmed in chondrocyte-specific Sema3A conditional knockout mice. We demonstrated that Sema3A is a key molecule in maintaining cartilage homeostasis from chondrocyte hypertrophy via activating the PI3K pathway. The potential usage of Sema3A for OA treatment was validated in mouse and Rhesus macaque OA models through intra-articular injection of Sema3A, and also in patients by administering Sema3A containing platelet-rich plasma into the knee joints. Our studies demonstrated that Sema3A exerts a critical role in inhibiting neurite ingrowth and preventing chondrocyte hypertrophy in cartilage, and could be potentially used for OA treatment.

摘要

骨关节炎(OA)是一种退行性关节疾病,伴有软骨丢失及随之而来的伤害性症状。正常的关节软骨处于无神经状态。神经元导向因子信号素3A(Sema3A)是一种与膜相关的分泌蛋白,对轴突具有化学排斥特性。然而,Sema3A在关节软骨中的作用仍不清楚。在本研究中,我们调查了Sema3A在小鼠、非人灵长类动物和OA患者OA发展过程中的功能。Sema3A对软骨降解具有保护作用,这在体外类器官培养中得到验证,并在软骨细胞特异性Sema3A条件性敲除小鼠中得到证实。我们证明,Sema3A是通过激活PI3K途径从软骨细胞肥大维持软骨稳态的关键分子。通过关节内注射Sema3A在小鼠和恒河猴OA模型中验证了Sema3A用于OA治疗的潜力,并且在患者中通过向膝关节注射含Sema3A的富血小板血浆也得到了验证。我们的研究表明,Sema3A在抑制神经突向内生长和防止软骨中软骨细胞肥大方面发挥关键作用,并且可能潜在地用于OA治疗。

https://cdn.ncbi.nlm.nih.gov/pmc/blobs/80ac/11695747/8f4bed67413f/41413_2024_382_Fig1_HTML.jpg

文献AI研究员

20分钟写一篇综述,助力文献阅读效率提升50倍。

立即体验

用中文搜PubMed

大模型驱动的PubMed中文搜索引擎

马上搜索

文档翻译

学术文献翻译模型,支持多种主流文档格式。

立即体验