Suppr超能文献

L3MBTL3和STAT3协同上调SNAIL表达以促进女性乳腺癌转移。

L3MBTL3 and STAT3 collaboratively upregulate SNAIL expression to promote metastasis in female breast cancer.

作者信息

Xiao Jianpeng, Wang Jie, Li Jialun, Xiao Jie, Liu CuiCui, Tan Libi, Tu Yanhong, Yang Ruifang, Pei Yujie, Wang Minghua, Wong Jiemin, Zhou Binhua P, Li Jing, Feng Jing

机构信息

The Third School of Clinical Medicine, Southern Medical University, Guangzhou, China.

Department of Laboratory Medicine & Central Laboratory, Southern Medical University Affiliated Fengxian Hospital, Shanghai, China.

出版信息

Nat Commun. 2025 Jan 2;16(1):231. doi: 10.1038/s41467-024-55617-9.

Abstract

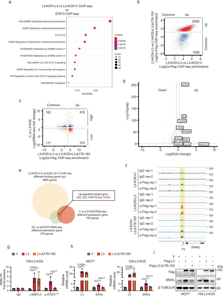
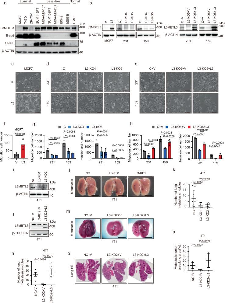
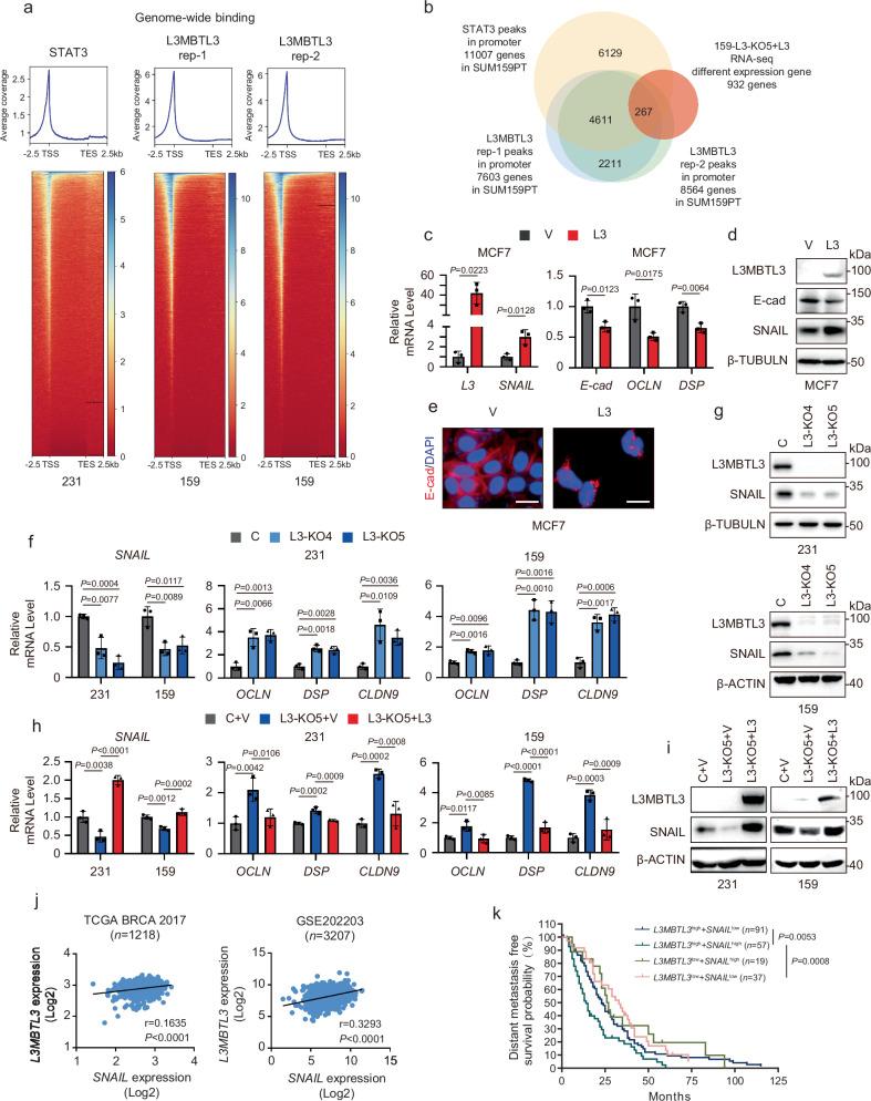
The STAT3 pathway promotes epithelial-mesenchymal transition, migration, invasion and metastasis in cancer. STAT3 upregulates the transcription of the key epithelial-mesenchymal transition transcription factor SNAIL in a DNA binding-independent manner. However, the mechanism by which STAT3 is recruited to the SNAIL promoter to upregulate its expression is still elusive. In our study, the lysine methylation binding protein L3MBTL3 is positively associated with metastasis and poor prognosis in female patients with breast cancer. L3MBTL3 also promotes epithelial-mesenchymal transition and metastasis in breast cancer. Mechanistic analysis reveals that L3MBTL3 interacts with STAT3 and recruits STAT3 to the SNAIL promoter to increase SNAIL transcription levels. The interaction between L3MBTL3 and STAT3 is required for SNAIL transcription upregulation and metastasis in breast cancer, while the methylated lysine binding activity of L3MBTL3 is not required for these functions. In conclusion, L3MBTL3 and STAT3 synergistically upregulate SNAIL expression to promote breast cancer metastasis.

摘要

信号转导与转录激活因子3(STAT3)通路可促进癌症中的上皮-间质转化、迁移、侵袭和转移。STAT3以不依赖DNA结合的方式上调关键的上皮-间质转化转录因子SNAIL的转录。然而,STAT3被招募到SNAIL启动子以上调其表达的机制仍不清楚。在我们的研究中,赖氨酸甲基化结合蛋白L3MBTL3与女性乳腺癌患者的转移和不良预后呈正相关。L3MBTL3也促进乳腺癌中的上皮-间质转化和转移。机制分析表明,L3MBTL3与STAT3相互作用,并将STAT3招募到SNAIL启动子以增加SNAIL转录水平。L3MBTL3与STAT3之间的相互作用是乳腺癌中SNAIL转录上调和转移所必需的,而L3MBTL3的甲基化赖氨酸结合活性对于这些功能并非必需。总之,L3MBTL3和STAT3协同上调SNAIL表达以促进乳腺癌转移。

https://cdn.ncbi.nlm.nih.gov/pmc/blobs/02f9/11696420/f81d835dd71d/41467_2024_55617_Fig1_HTML.jpg

文献AI研究员

20分钟写一篇综述,助力文献阅读效率提升50倍。

立即体验

用中文搜PubMed

大模型驱动的PubMed中文搜索引擎

马上搜索

文档翻译

学术文献翻译模型,支持多种主流文档格式。

立即体验