Suppr超能文献

Rbfox3促进MDSC样肿瘤细胞转变以塑造免疫抑制微环境。

Rbfox3 Promotes Transformation of MDSC-Like Tumor Cells to Shape Immunosuppressive Microenvironment.

作者信息

Li Zhiyang, Feng Zhuangzhuang, Chen Mengzhan, Shi Xinxiu, Cui Bijia, Sun Yujie, Zhang Heng, Li Yinan, Chen Caihong, Feng Yiqian, Han Jingxia, Xing Xuewu, Liu Huijuan, Sun Tao

机构信息

State Key Laboratory of Medicinal Chemical Biology and College of Pharmacy, Nankai University, Tianjin, 300450, China.

Tianjin Key Laboratory of Early Druggability Evaluation of Innovative Drugs, Tianjin International Joint Academy of Biomedicine, Tianjin, 300457, China.

出版信息

Adv Sci (Weinh). 2025 Feb;12(8):e2404585. doi: 10.1002/advs.202404585. Epub 2025 Jan 7.

Abstract

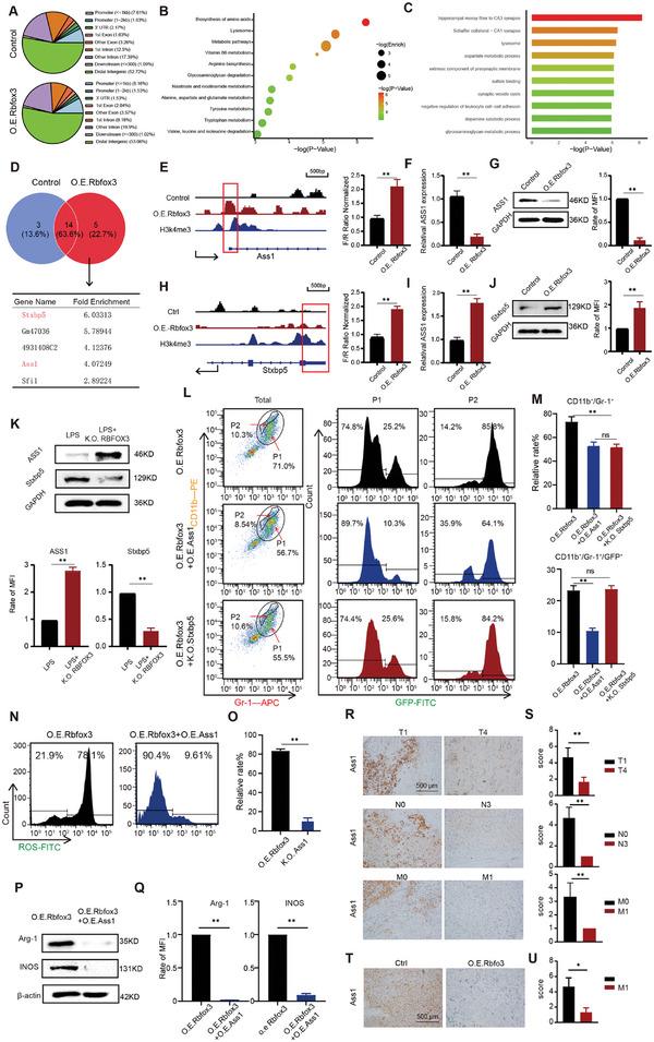
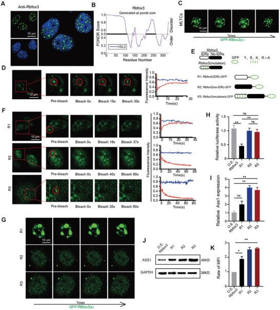
Myeloid-derived suppressor cells (MDSCs) within the tumor microenvironment (TME) contribute to the malignant progression of tumors by exerting immunosuppressive effects. Bacterial lipopolysaccharides (LPS) have been widely demonstrated in various types of solid tumors. LPS can promote the malignant progression of tumors, which mechanism has not yet been fully elucidated. In this study, a type of MDSC-like tumor cells (MLTCs) is found in tumor tissues induced by low-dose and long-term LPS stimulation. MLTCs can simultaneously express tumor cell and MDSCs markers. Similar to MDSCs, MLTCs can produce arginine, nitric oxide, and reactive oxygen species and inhibit the activity of NK and T cells to promote the formation of an immunosuppressive microenvironment. MLTCs can also promote tumor cell proliferation and vasculogenic mimicry formation. CRISPR-Cas9 activity screening studies identified RNA-binding Fox-1 homolog 3 (Rbfox3) as a critical protein for MLTCs formation after LPS treatment. Rbfox3 can transcriptionally regulate the expression of Ass1 in the form of phase-separated particles. Crocin can inhibit the generation of MLTCs by disrupting phase-separated particles of Rbfox3 and enhance the anti-tumor effects of immune checkpoint inhibitors (ICIs).

摘要

肿瘤微环境(TME)中的髓源性抑制细胞(MDSC)通过发挥免疫抑制作用促进肿瘤的恶性进展。细菌脂多糖(LPS)在多种实体瘤中已得到广泛证实。LPS可促进肿瘤的恶性进展,但其机制尚未完全阐明。在本研究中,在低剂量长期LPS刺激诱导的肿瘤组织中发现了一种类似MDSC的肿瘤细胞(MLTC)。MLTC可同时表达肿瘤细胞和MDSC标志物。与MDSC类似,MLTC可产生精氨酸、一氧化氮和活性氧,并抑制NK细胞和T细胞的活性,以促进免疫抑制微环境的形成。MLTC还可促进肿瘤细胞增殖和血管生成拟态的形成。CRISPR-Cas9活性筛选研究确定RNA结合Fox-1同源物3(Rbfox3)是LPS处理后MLTC形成的关键蛋白。Rbfox3可以相分离颗粒的形式转录调控Ass1的表达。藏红花素可通过破坏Rbfox3的相分离颗粒来抑制MLTC的产生,并增强免疫检查点抑制剂(ICI)的抗肿瘤作用。

https://cdn.ncbi.nlm.nih.gov/pmc/blobs/bad9/11848546/e34e5f34f49d/ADVS-12-2404585-g004.jpg

文献AI研究员

20分钟写一篇综述,助力文献阅读效率提升50倍。

立即体验

用中文搜PubMed

大模型驱动的PubMed中文搜索引擎

马上搜索

文档翻译

学术文献翻译模型,支持多种主流文档格式。

立即体验