Suppr超能文献

低温射频热凝术联合双侧半月神经节脉冲射频治疗多发性硬化所致双侧三叉神经痛1例报告

A combination of low-temperature radiofrequency thermocoagulation and pulsed radiofrequency of the bilateral Gasserian ganglion for bilateral trigeminal neuralgia due to multiple sclerosis: a case report.

作者信息

Tamura Mihoko, Nakagawa Masayuki, Abe Yoichiro

机构信息

Department of Pain Clinic, NTT Medical Center Tokyo, 5-9-22 Higashi-Gotanda, Shinagawa-Ku, Tokyo, 141-8625, Japan.

出版信息

JA Clin Rep. 2025 Jan 13;11(1):1. doi: 10.1186/s40981-025-00764-1.

Abstract

BACKGROUND

Bilateral trigeminal neuralgia secondary to multiple sclerosis is an extremely rare condition. When Gasserian ganglion block is performed, it is necessary to achieve reliable long-term analgesic effects while avoiding treatment-related complications.

CASE PRESENTATION

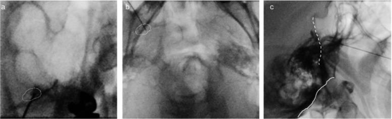
A 49-year-old male with multiple sclerosis exhibited persistent dull pain and paroxysmal electric shock-like pain in his bilateral maxillary molars and mandible. He was diagnosed with trigeminal neuralgia due to multiple sclerosis. Due to severe side effects, it was difficult to achieve adequate pain control with medication alone. By performing low-temperature radiofrequency thermocoagulation and pulsed radiofrequency of the Gasserian ganglion while monitoring masseter muscle contraction, a satisfactory and rapid analgesic effect was obtained without masticatory atonia.

CONCLUSIONS

To the best of our knowledge, this is the first case of bilateral trigeminal neuralgia due to multiple sclerosis in which low-temperature radiofrequency thermocoagulation combined with pulsed radiofrequency was successfully performed for pain relief without masticatory atonia.

摘要

背景

继发于多发性硬化的双侧三叉神经痛极为罕见。在进行半月神经节阻滞时,有必要在避免治疗相关并发症的同时实现可靠的长期镇痛效果。

病例介绍

一名49岁的多发性硬化男性患者双侧上颌磨牙和下颌出现持续性钝痛和阵发性电击样疼痛。他被诊断为继发于多发性硬化的三叉神经痛。由于严重的副作用,仅靠药物难以实现充分的疼痛控制。通过在监测咬肌收缩的同时对半月神经节进行低温射频热凝和脉冲射频治疗,获得了满意且快速的镇痛效果,且未出现咀嚼肌麻痹。

结论

据我们所知,这是首例因多发性硬化导致的双侧三叉神经痛,通过低温射频热凝联合脉冲射频成功实现了止痛,且未出现咀嚼肌麻痹。

https://cdn.ncbi.nlm.nih.gov/pmc/blobs/430e/11730039/1a04efad2376/40981_2025_764_Fig1_HTML.jpg

文献AI研究员

20分钟写一篇综述,助力文献阅读效率提升50倍。

立即体验

用中文搜PubMed

大模型驱动的PubMed中文搜索引擎

马上搜索

文档翻译

学术文献翻译模型,支持多种主流文档格式。

立即体验