Suppr超能文献

源自脐带间充质基质细胞的临床级细胞外囊泡:作为膝骨关节炎治疗药物的临床前开发及首次人体关节内验证

Clinical-grade extracellular vesicles derived from umbilical cord mesenchymal stromal cells: preclinical development and first-in-human intra-articular validation as therapeutics for knee osteoarthritis.

作者信息

Figueroa-Valdés Aliosha I, Luz-Crawford Patricia, Herrera-Luna Yeimi, Georges-Calderón Nicolás, García Cynthia, Tobar Hugo E, Araya María Jesús, Matas José, Donoso-Meneses Darío, de la Fuente Catalina, Cuenca Jimena, Parra Eliseo, Lillo Fernando, Varela Cristóbal, Cádiz María Ignacia, Vernal Rolando, Ortloff Alexander, Nardocci Gino, Castañeda Verónica, Adasme-Vidal Catalina, Kunze-Küllmer Maximiliano, Hidalgo Yessia, Espinoza Francisco, Khoury Maroun, Alcayaga-Miranda Francisca

机构信息

Laboratorio de Medicina Nano-Regenerativa, Centro de Investigación e Innovación Biomédica (CiiB), Universidad de los Andes, Santiago, Chile.

IMPACT, Center of Interventional Medicine for Precision and Advanced Cellular Therapy, Santiago, Chile.

出版信息

J Nanobiotechnology. 2025 Jan 13;23(1):13. doi: 10.1186/s12951-024-03088-x.

Abstract

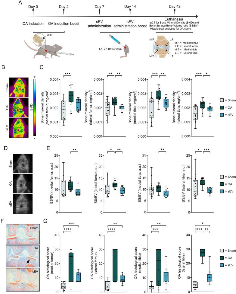
Osteoarthritis (OA) is a joint disease characterized by articular cartilage degradation. Persistent low-grade inflammation defines OA pathogenesis, with crucial involvement of pro-inflammatory M1-like macrophages. While mesenchymal stromal cells (MSC) and their small extracellular vesicles (sEV) hold promise for OA treatment, achieving consistent clinical-grade sEV products remains a significant challenge. This study aims to develop fully characterized, reproducible, clinical-grade batches of sEV derived from umbilical cord (UC)-MSC for the treatment of OA while assessing its efficacy and safety. Initially, a standardized, research-grade manufacturing protocol was established to ensure consistent sEV production. UC-MSC-sEV characterization under non-cGMP conditions showed consistent miRNA and protein profiles, suggesting their potential for standardized manufacturing. In vitro studies evaluated the efficacy, safety, and potency of sEV; animal studies confirmed their effectiveness and safety. In vitro, UC-MSC-sEV polarized macrophages to an anti-inflammatory M2b-like phenotype, through STAT1 modulation, indicating their potential to create an anti-inflammatory environment in the affected joints. In silico studies confirmed sEV's immunosuppressive signature through miRNA and proteome analysis. In an OA mouse model, sEV injected intra-articularly (IA) induced hyaline cartilage regeneration, validated by histological and μCT analyses. The unique detection of sEV signals within the knee joint over time highlights its safety profile by confirming the retention of sEV in the joint. The product development of UC-MSC-sEV involved refining, standardizing, and validating processes in compliance with GMP standards. The initial assessment of the safety of the clinical-grade product via IA administration in a first-in-human study showed no adverse effects after a 12 month follow-up period. These results support the progress of this sEV-based therapy in an early-phase clinical trial, the details of which are presented and discussed in this work. This study provides data on using UC-MSC-sEV as local therapy for OA, highlighting their regenerative and anti-inflammatory properties and safety in preclinical and a proof-of-principle clinical application.

摘要

骨关节炎(OA)是一种以关节软骨退化为特征的关节疾病。持续性低度炎症是OA发病机制的特点,促炎的M1样巨噬细胞起着关键作用。虽然间充质基质细胞(MSC)及其小细胞外囊泡(sEV)有望用于OA治疗,但获得一致的临床级sEV产品仍然是一项重大挑战。本研究旨在开发源自脐带(UC)-MSC的、具有充分特征、可重复的临床级批次sEV,用于治疗OA,同时评估其疗效和安全性。最初,建立了标准化的研究级生产方案,以确保sEV的一致生产。在非cGMP条件下对UC-MSC-sEV的表征显示出一致的miRNA和蛋白质谱,表明其具有标准化生产的潜力。体外研究评估了sEV的疗效、安全性和效力;动物研究证实了它们的有效性和安全性。在体外,UC-MSC-sEV通过STAT1调节将巨噬细胞极化为抗炎的M2b样表型,表明它们有潜力在受影响的关节中创造抗炎环境。计算机模拟研究通过miRNA和蛋白质组分析证实了sEV的免疫抑制特征。在OA小鼠模型中,关节内(IA)注射sEV可诱导透明软骨再生,组织学和μCT分析验证了这一点。随着时间的推移,膝关节内sEV信号的独特检测通过确认sEV在关节中的留存突出了其安全性。UC-MSC-sEV的产品开发涉及按照GMP标准对工艺进行优化、标准化和验证。在一项首次人体研究中,通过IA给药对临床级产品安全性的初步评估显示,在12个月的随访期后未发现不良反应。这些结果支持了这种基于sEV的疗法在早期临床试验中的进展,本研究将展示并讨论其详细情况。本研究提供了关于使用UC-MSC-sEV作为OA局部治疗的数据,突出了它们在临床前和原理验证临床应用中的再生、抗炎特性及安全性。

https://cdn.ncbi.nlm.nih.gov/pmc/blobs/04f2/11730155/35ad201d2ae2/12951_2024_3088_Fig1_HTML.jpg

文献AI研究员

20分钟写一篇综述,助力文献阅读效率提升50倍。

立即体验

用中文搜PubMed

大模型驱动的PubMed中文搜索引擎

马上搜索

文档翻译

学术文献翻译模型,支持多种主流文档格式。

立即体验